





















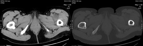
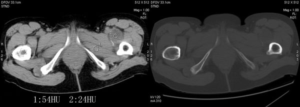
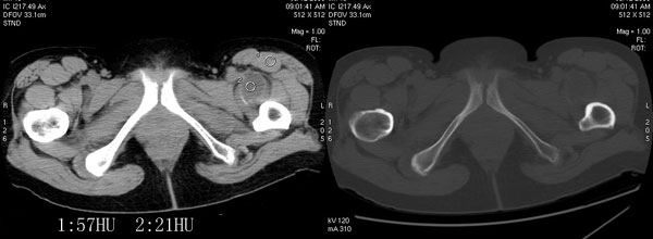
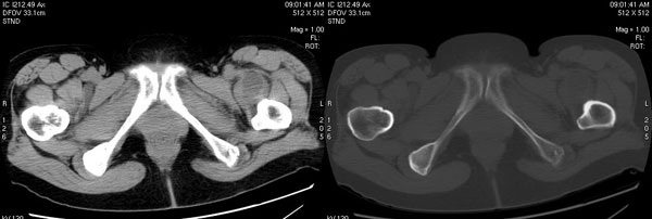
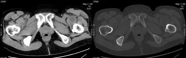
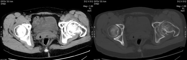
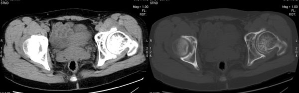
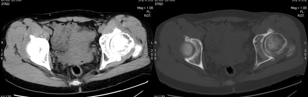
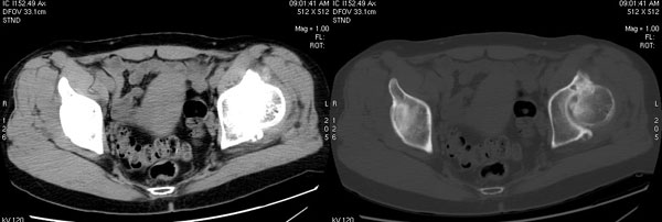
以下是引用jiajie在2006-7-14 17:19:00的发言:[br]ct所见:双侧髋关节不对称,左侧关节间隙变窄,关节面毛糙。左侧股骨头变形、无明显变小,前上缘与髋臼融合,融合处骨质明显增生硬化,并见数个小囊变影。股骨头下端与股骨颈交界部见囊样变,邻近肌肉内见囊样密度减低区,ct值24hu。右侧髋关节形态未见异常。[br][br]ct诊断:左侧髋关节结核可能,请结合临床资料进一步分析。
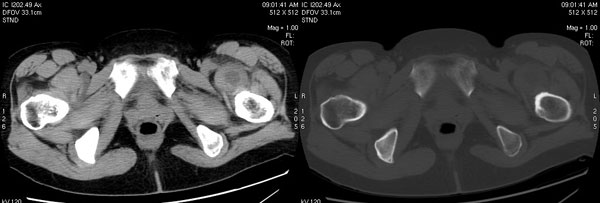
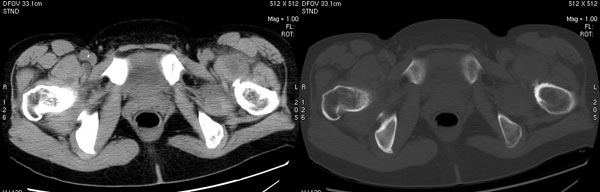
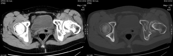
以下是引用lihuuuu在2006-12-5 10:14:00的发言:[br]定位像示:左侧髋臼变浅,倾斜度加大,髋臼外上缘呈波浪状不规则,骨质增生硬化,髋关节上缘间隙明显变窄,股骨头向外上轻度移位。轴位像示:左侧股骨头变形,前上缘与髋臼融合,融合处骨质明显增生硬化,并见数个小囊变影。股骨头下端与股骨颈交界部见囊样变,邻近肌肉内见密度减低区,ct值24hu,内缘见弧形高密度钙化影。右侧髋关节形态未见异常。[br]ct诊断:左侧髋臼发育不良[br] 左侧股骨头缺血性坏死[br] 左侧肌肉内低密度影伴有高密度钙化-考虑早期骨化性肌炎[br] [br]“我认为在描述上已经写了肌肉部分,印象诊断里应该写主见”[br]
| 欢迎光临 医影在线 (http://bbs.radida.com/bbs/) | Powered by Discuz! X3.2 |