医影在线

标题: CT4055:骨肉瘤? [打印本页]

作者: wangzhanshuang    时间: 2006-7-14 17:45
标题: CT4055:骨肉瘤?
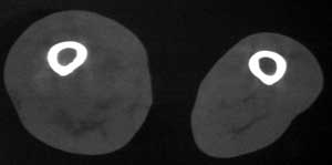
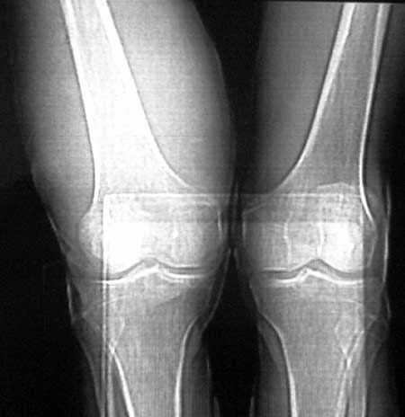
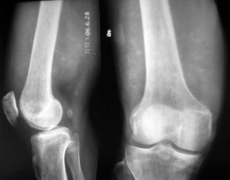
男56涨疼5-6月




























[本贴已被 jiajie 于 2006-7-14 12:45:19 修改过]

作者: chenqiong    时间: 2006-7-14 20:04
是骨膜型骨肉瘤吗?
作者: xiaoniu    时间: 2006-7-14 20:14
诊断:骨膜肉瘤
作者: 同    时间: 2006-7-14 20:17
支持骨膜型骨肉瘤
作者: 东北    时间: 2006-7-14 20:41
骨肉瘤
作者: kbzyycm    时间: 2006-7-14 20:52
骨肉瘤
作者: liuyue    时间: 2006-7-14 21:00
骨膜型骨肉瘤
作者: 晓杰    时间: 2006-7-14 22:31
支持骨膜型骨肉瘤,
作者: 笑笑天    时间: 2006-7-15 01:59
皮质旁骨/软骨肉瘤?
作者: guzhongliangddd    时间: 2006-7-15 06:21
我觉得应该首先考虑是软组织的肿瘤,以滑膜肉瘤可能大.
作者: 拾荒者    时间: 2006-7-15 06:21
右股骨下端包绕股骨见巨大软组织肿块,密度部俊,周围见瘤骨,下端骨皮质侵蚀变薄,骨质周围无骨膜反应, 考虑右股骨软骨肉瘤。
作者: liuyue    时间: 2006-7-29 08:21
骨肉瘤
作者: zwz    时间: 2006-7-29 18:58
支持骨膜型骨肉瘤,
作者: zwz    时间: 2006-7-30 00:28
支持骨膜型骨肉瘤,
作者: yemin92007    时间: 2006-7-31 22:32
结果收到,学习。
作者: wansheng    时间: 2006-7-31 22:59
是骨膜型骨肉瘤!
作者: philip    时间: 2006-8-2 04:41
右股骨下段周围软组织肿块伴钙化,相邻股骨骨皮质受累,考虑软组织来源恶性病变
作者: zxczxc    时间: 2010-10-8 16:35
右股骨下段骨肉瘤,软组织内瘤骨,软组织肿块。




欢迎光临 医影在线 (http://bbs.radida.com/bbs/) Powered by Discuz! X3.2