医影在线
标题: X0871:胸片一张 [打印本页]
作者: kingismy 时间: 2006-7-15 16:29
标题: X0871:胸片一张
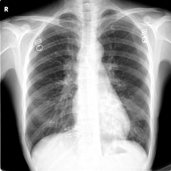
女 40y 咳嗽发热数月。

[本贴已被 cefcmj 于 2006-7-15 11:59:48 修改过]
鉴于有的战友好象没怎么在意观察心影后,又调了一张传上来.
[本贴已被 kingismy 于 2006-7-15 18:01:26 修改过]
作者: qian 时间: 2006-7-15 18:19
双下肺文纹理增多,左下肺似见有片状模糊影,考虑支气管炎伴有左侧肺炎。
作者: HAHA215315 时间: 2006-7-15 18:45
左下肺可见片状影,密度不均,边缘模糊.建议ct检查.
作者: 小乔 时间: 2006-7-15 18:53
左下肺支扩并感染
作者: jiangwk2006 时间: 2006-7-15 21:23
左下肺尖端朝向肺门的三角形阴影,密度均匀,边缘清楚,考虑肺段不张,建议ct检查
作者: 医博云天 时间: 2006-7-15 21:33
左下肺片状模糊影,似可见空气支气管征,考虑肺炎!
作者: 笑笑天 时间: 2006-7-15 22:00
支持左下肺支扩并感染,不过确诊还是做个ct吧
作者: 实习医生 时间: 2006-7-15 22:05
1 tb待排
2 支气管肺炎
作者: tsxhfsk 时间: 2006-7-15 23:37
考虑,左下肺支扩并感染
作者: jiangjing 时间: 2006-7-15 23:41
双侧肺纹理增强,左下肺野见斑片状增密不均影,以心后区为明显。结合病史--女 40y 咳嗽发热数月。考虑肺部感染[警惕肺结核]。建议结合临床及ct检查
作者: pj6789 时间: 2006-7-16 00:58
左下支扩合并感染
作者: shiyuanl 时间: 2006-7-16 00:59
太夸张了点吧~~结合下病史,我几下个支气管炎,有发热最多下个左下肺感染可能就了不起了啊~~~
支扩的平行轨道征不明显,还是结合下临床吧~~~一天要跃的片子很多`~没什么那么仔细啊~~~
我是师大医学院的可问哟校友在吗`~在请留言一起讨论
作者: shiyuanl 时间: 2006-7-16 01:01
和我上次看的有个男性支阔有点像,但不明显``~~感染还是有的饿
作者: a2468 时间: 2006-7-16 01:24
胸部检查请传胸部正侧位减少盲区及有利于胸部病变的定性。
作者: zb 时间: 2006-7-16 02:36
还是来个ct吧
作者: zhw974247 时间: 2006-7-16 02:59
我同意左下支扩合并感染
作者: 1lidenlin 时间: 2006-7-16 04:22
考虑支扩并感染,作ct明确吧
作者: 一如我在 时间: 2006-7-16 05:21
支扩!
作者: sdqzwyx 时间: 2006-7-16 05:27
左下肺野内中带示斑片状密度增高影,其内示囊状影,部分囊内似有液平,心影重叠为著,考虑支气管扩张并肺感染。
作者: chinaboy_006 时间: 2006-7-16 06:30
双肺纹理增多,双下肺纹理呈网格状改变,左心后缘见数个囊状透亮影,结合临床考虑1.肺囊肿合并感染,2.支扩合并感染(患者没有咳血丝痰),建议ct扫描
作者: ZHWW 时间: 2006-7-16 06:35
支扩伴感染
作者: liuyue 时间: 2006-7-16 07:43
左下肺(心影后)可见多个囊状影,壁稍后,部分囊内可见液平,考虑:左下肺支扩伴感染
作者: xb 时间: 2006-7-16 17:03
忘记明显异常
作者: HAHA215315 时间: 2006-7-16 17:49
支扩并感染.
作者: 若影若现 时间: 2006-7-16 17:53
左下肺支扩并感染 不除外段性肺不张
作者: 若影若现 时间: 2006-7-16 18:00
ggf
作者: gjy0818 时间: 2006-7-16 20:26
支持楼上!
作者: 450344989 时间: 2006-7-16 21:38
左下肺支扩并感染
作者: 清风无痕 时间: 2006-7-16 21:52
左下肺支扩并感染
作者: zhangkening 时间: 2006-7-16 23:12
建议拍胸部侧位,左肺下野呈囊状葡萄状改变,考虑是多囊肺吧!
作者: 西北偏北 时间: 2006-7-16 23:21
还是考虑两下支扩伴感染吧,做个ct就清楚了.
作者: jiaju 时间: 2006-7-16 23:32
心影后似有空洞,结合病史考虑结核
作者: 李世军 时间: 2006-7-17 00:16
双侧肺纹理增强,左下肺野见斑片状增密不均影,以心后区为明显。结合病史--女 40y 咳嗽发热数月。考虑支扩肺部感染。建议结合临床及ct检查
作者: yuliang 时间: 2006-7-18 03:21
考虑:左下肺心影后囊状病变为支扩合并感染
作者: yuliang 时间: 2006-7-18 03:42
左下肺心影后病变考虑支扩合并感染必要时加拍左侧位或形ct检查
作者: hongxong 时间: 2006-7-18 17:14
考虑左下肺支扩并感染(肺隔离症有待排除),可行ct进一步检查。
作者: 马金连 时间: 2006-7-18 19:40
支扩伴感染
作者: 永远求知者 时间: 2006-8-27 00:51
左下肺心影后纹理增粗,紊乱呈蜂窝状,边缘模糊,支气管扩张并感染不除外.
作者: johen699 时间: 2006-8-30 11:12
左肺炎症,心衰合并肺水肿!
作者: lichangjian 时间: 2006-8-31 04:50
同意左下肺支扩并感染
作者: 流星1234 时间: 2006-8-31 05:19
考虑左下肺支扩并感染
作者: 随便就好 时间: 2006-9-2 04:14
两下肺纹理增多,左下肺小片状影,呈网状改变,考虑左下肺支扩并两肺感染。
作者: jinguoji 时间: 2006-11-18 06:59
左下肺支扩并感染
作者: shibing 时间: 2012-12-4 08:35
建议ct检查
作者: zqzwq 时间: 2012-12-4 10:23
考虑左下肺支扩并感染。
| 欢迎光临 医影在线 (http://bbs.radida.com/bbs/) |
Powered by Discuz! X3.2 |