医影在线
标题: CT4091:腰椎CT请会诊 [打印本页]
作者: zhao641 时间: 2006-7-18 16:16
标题: CT4091:腰椎CT请会诊
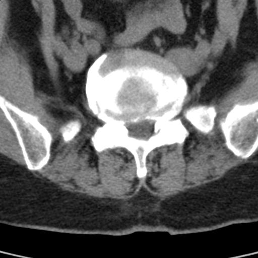
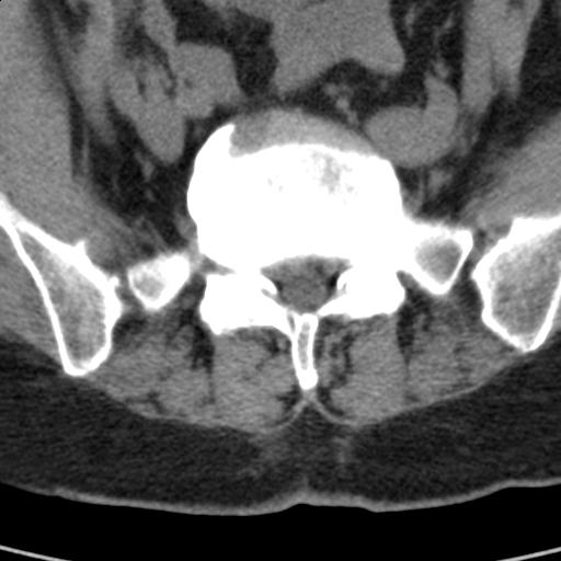
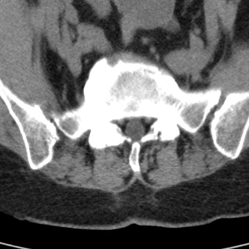
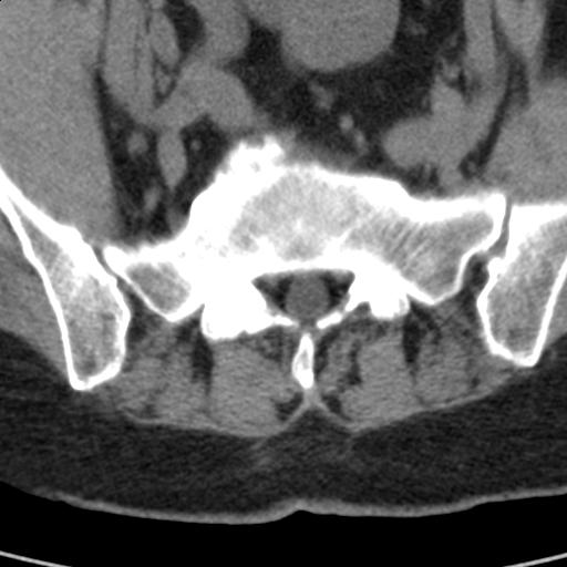
患者;女性;左下肢疼痛。







[本贴已被 jiajie 于 2006-7-18 8:46:39 修改过]






[本贴已被 zhao641 于 2006-7-18 10:37:45 修改过]
作者: jiajie 时间: 2006-7-18 16:53
l5s1显示椎间盘突出,椎体边缘骨质增生,双侧黄韧带钙化。(请上传骨窗)
l45未扫描,估计可能有椎间盘突出。
作者: xhsmx 时间: 2006-7-18 17:03
标题: 回复:ct4091:腰椎ct请会诊
以下是引用jiajie在2006-7-18 8:53:00的发言:[br]l5s1显示椎间盘突出,椎体边缘骨质增生,双侧黄韧带钙化。(请上传骨窗)[br][br]l45未扫描,估计可能有椎间盘突出。
作者: yang4132 时间: 2006-7-18 17:07
支持楼上意见。
作者: 晓杰 时间: 2006-7-18 20:25
l5s1显示椎间盘突出,椎体边缘骨质增生,双侧黄韧带钙化 ,两侧椎小关节肥大,关节面硬化,关节间隙变窄,提示:椎小关节综合症
作者: guzhongliangddd 时间: 2006-7-18 20:27
标题: 回复:ct4091:腰椎ct请会诊
以下是引用晓杰在2006-7-18 12:25:00的发言:[br]l5s1显示椎间盘突出,椎体边缘骨质增生,双侧黄韧带钙化 ,两侧椎小关节肥大,关节面硬化,关节间隙变窄,提示:椎小关节综合症
双侧的侧隐窝有狭窄。
作者: zhaoshangzeng1 时间: 2006-7-18 20:30
同意大家意见
作者: liuyue 时间: 2006-7-18 22:23
我认为应该考虑为:l5s1椎间盘膨出,余(椎小关节退变、黄韧带钙化、椎间孔狭窄)与各位同行无异议。
作者: 同 时间: 2006-7-18 23:11
标题: 回复:ct4091:腰椎ct请会诊
以下是引用晓杰在2006-7-18 12:25:00的发言:[br]l5s1显示椎间盘突出,椎体边缘骨质增生,双侧黄韧带钙化 ,两侧椎小关节肥大,关节面硬化,关节间隙变窄,提示:椎小关节综合症
作者: 一棵树 时间: 2006-7-18 23:15
退行性骨关节病
作者: 余辉 时间: 2006-7-19 02:35
l5s1显示椎间盘膨出,突出,椎体边缘骨质增生向后压迫硬膜囊,双侧黄韧带钙化,小关节面综合征
作者: 1983 时间: 2006-7-19 02:36
l5s1显示椎间盘突出,椎体边缘骨质增生,双侧黄韧带钙化。(请上传骨窗)
l45未扫描,估计可能有椎间盘突出。
作者: 拾荒者 时间: 2006-7-19 06:42
标题: 回复:ct4091:腰椎ct请会诊
以下是引用guzhongliangddd在2006-7-18 12:27:00的发言:[br][quote]以下是引用晓杰在2006-7-18 12:25:00的发言:[br]l5s1显示椎间盘突出,椎体边缘骨质增生,两侧椎小关节肥大,关节面硬化,关节间隙变窄,提示:椎小关节综合症
[br]双侧的侧隐窝有狭窄。[/quote]
l4-5椎间隙略窄,应该扫描。
作者: wansheng 时间: 2006-7-19 16:46
l5s1椎间盘向后脱出使脊膜囊受压,椎体边缘骨质增生,双侧黄韧带钙化。l45椎间盘估计亦突出,为何未扫。
初学者,向同行学习。
作者: moumouli 时间: 2006-7-19 17:21
以下是引用guzhongliangddd在2006-7-18 12:27:00的发言:
以下是引用晓杰在2006-7-18 12:25:00的发言:
l5s1显示椎间盘突出,椎体边缘骨质增生,两侧椎小关节肥大,关节面硬化,关节间隙变窄,提示:椎小关节综合症
双侧的侧隐窝有狭窄。
作者: shibing 时间: 2015-6-15 11:49
退行性骨关节病
| 欢迎光临 医影在线 (http://bbs.radida.com/bbs/) |
Powered by Discuz! X3.2 |