医影在线
标题: CT4095:胸部CT请会诊 [打印本页]
作者: 卜一 时间: 2006-7-18 23:14
标题: CT4095:胸部CT请会诊
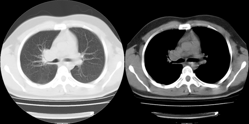
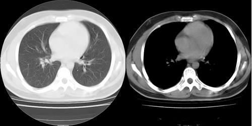
患者 男性 25岁,体检觉得右肺门感觉增大,请会诊,有没有异常?(我科诊断:未见异常)








[本贴已被 jiajie 于 2006-7-18 16:39:11 修改过]
作者: 一棵树 时间: 2006-7-18 23:17
未见明显异常。
作者: qian 时间: 2006-7-18 23:33
正常。
作者: 小翟 时间: 2006-7-18 23:51
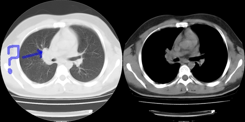
右肺门增大,气管旁腔静脉后淋巴结肿大
作者: jiajie 时间: 2006-7-19 01:00
标题: 回复:

右肺门增大,囊状影与肺动脉分支有关,上叶支气管受压移位。
考虑发生于右肺动脉分支的肺动脉瘤。
鉴别:肺结节病,多侵犯两侧肺门及纵隔淋巴结。
[本贴已被 jiajie 于 2006-7-18 17:05:04 修改过]
作者: 余辉 时间: 2006-7-19 02:19
右主支气管及右中叶支气管受压,腔静脉后淋巴结肿大,不知肿块是血管还是淋巴s
作者: 余辉 时间: 2006-7-19 02:21
建议增强
作者: 1983 时间: 2006-7-19 02:24
考虑为血管影 建议增强
作者: yyg1960 时间: 2006-7-19 03:33
应该是主肺动脉,随然略扩张,但够不上动脉瘤。此病理正常
作者: kjf329 时间: 2006-7-19 04:17
没有增强,实在很难说是血管还是淋巴结,纵隔内可见肿大淋巴结,还是先考虑淋巴结吧。我认为
作者: jiangjing 时间: 2006-7-19 05:06
右肺门前方[右侧上叶支气管尖后段分支水平]结节灶,隆突前似有淋巴结显示。结核或肿瘤。建议增强检查
作者: slc0002slc 时间: 2006-7-19 05:09
我考虑是淋巴结,做增强吧!
作者: liupeizheng 时间: 2006-7-19 05:29
建议增强,右肺上叶前段支气管受压变细,腔静脉后方见肿大淋巴结.考虑结节病或肺门占位.
作者: zhw0383 时间: 2006-7-19 05:57
应该是右肺动脉影,要明确则做个增强扫描。
作者: guzhongliangddd 时间: 2006-7-19 06:14
平扫未见异常,右肺门的改变我也认为是正常的,若不放心就作局部强化扫描。
作者: moumouli 时间: 2006-7-19 17:51
增强吧!现在不得不慎重.我倾向于正常
作者: x-man 时间: 2006-7-19 18:20
平扫未见异常.
作者: shibing 时间: 2015-6-15 11:48
增强
| 欢迎光临 医影在线 (http://bbs.radida.com/bbs/) |
Powered by Discuz! X3.2 |