医影在线

标题: CT4098:请大家讨论一下此片!! [打印本页]

作者: wwp    时间: 2006-7-19 03:11
标题: CT4098:请大家讨论一下此片!!
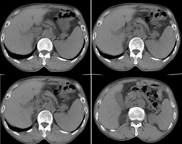
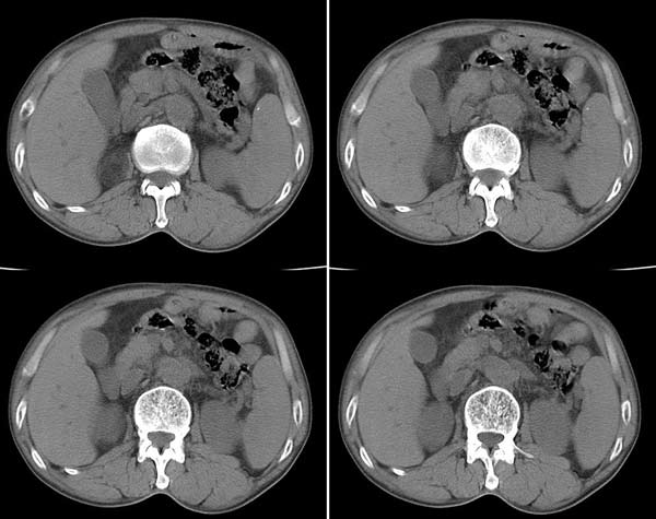
病人手下肢水肿,血压正常,无其他异常表现.
b超发现右肾上腺区占位,ct平扫见由肾上腺低密度占位性病变,病灶边界清楚,密度不均,ct值-20--60hu.
病人不愿强化扫描.








[本贴已被 jiajie 于 2006-7-18 19:50:18 修改过]

作者: yyg1960    时间: 2006-7-19 03:24
不做增强很难诊断。平扫看右肾上腺内支低密度占位与肾上级分不清,病变大体呈椭圆形,内有囊性部分,也有实性部分。考虑为嗜络细胞瘤
作者: 不解    时间: 2006-7-19 04:26
从值上看,考虑肾上腺骨髓脂肪瘤.不除外肾上极错构瘤.扫描层面好象不连续并且扫描厚.
作者: 天高云淡    时间: 2006-7-19 04:40
右肾上腺低密度结节,无明显脂肪成分,临床无高血压,可除外肾上腺骨髓脂肪瘤及嗜络细胞瘤,考虑肾上腺腺瘤
作者: jiangjing    时间: 2006-7-19 04:49
右肾上腺低密度结节,ct -20----60hu .临床无高血压,可除外嗜络细胞瘤,考虑肾上腺髓样脂肪瘤或无功能性腺瘤[水肿提示病变引起肾上腺功能低下]
作者: 同    时间: 2006-7-19 05:41
考虑无功能性肾上腺腺瘤
作者: wxy7406    时间: 2006-7-19 05:41
有明显的脂肪成分,考虑骨髓脂肪瘤。
作者: 1983    时间: 2006-7-19 06:09
考虑无功能性肾上腺腺瘤
作者: xiashunming    时间: 2006-7-19 06:20
肾上腺髓样脂肪瘤
作者: 拾荒者    时间: 2006-7-19 07:16
标题: 回复:ct4098:请大家讨论一下此片!!
以下是引用jiangjing在2006-7-18 20:49:00的发言:[br]右肾上腺低密度结节,ct -20----60hu .临床无高血压,可除外嗜络细胞瘤,考虑肾上腺髓样脂肪瘤或无功能性腺瘤[水肿提示病变引起肾上腺功能低下]

作者: SYFSZCW    时间: 2006-7-19 08:09
除了大家说的!脾脏好象有点肿胀啊!!
作者: 晓杰    时间: 2006-7-19 08:55
考虑肾上腺骨髓脂肪瘤
作者: liuyue    时间: 2006-7-19 14:46
以下是引用jiangjing在2006-7-18 20:49:00的发言:
右肾上腺低密度结节,ct -20----60hu .临床无高血压,可除外嗜络细胞瘤,考虑肾上腺髓样脂肪瘤或无功能性腺瘤[水肿提示病变引起肾上腺功能低下]
作者: winter    时间: 2006-7-19 14:50
右肾上腺低密度结节影,显然密度较低和脂肪差不多未见高密度分隔考虑肾上腺原醛腺瘤,建议临床检查相关的生化指标。脾大,并见高密度钙化点。
作者: woaixct    时间: 2006-7-19 16:32
肾上腺内含有脂肪成份,可以定性为骨髓脂肪瘤。
作者: moumouli    时间: 2006-7-19 16:42
同意来自肾上腺,没有增强性质待定
作者: 卜一    时间: 2006-7-19 17:37
肾上腺肿瘤可以肯定,没有强化,很难定性,但从平扫特点多考虑无功能性肾上腺腺瘤.
作者: HAHA215315    时间: 2006-7-19 17:37
无功能性肾上腺腺瘤.
作者: x-man    时间: 2006-7-19 18:31
支持无功能腺瘤.
作者: shibing    时间: 2015-6-15 11:34
右肾上腺低密度结节,ct -20----60hu .临床无高血压,可除外嗜络细胞瘤,考虑肾上腺髓样脂肪瘤或无功能性腺瘤[水肿提示病变引起肾上腺功能低下]





欢迎光临 医影在线 (http://bbs.radida.com/bbs/) Powered by Discuz! X3.2