医影在线
标题: X0884:[原创]胸片,请讨论! [打印本页]
作者: yzh9939    时间: 2006-7-20 03:17
标题: X0884:[原创]胸片,请讨论!
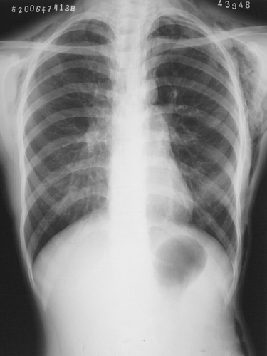
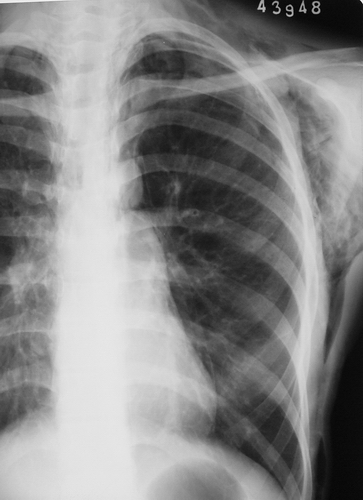
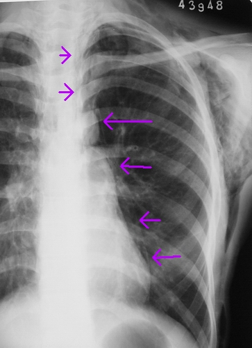
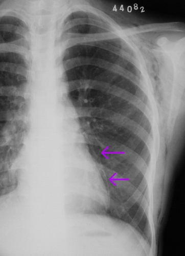
患者,女,18岁。气喘气促多年,加剧半天。摄片如下:




[本贴已被 jiajie 于 2006-7-19 20:46:09 修改过]
请大家讨论“气肿的病因和产生机理?”


[本贴已被 yzh9939 于 2006-7-20 10:56:31 修改过]
作者: 天高云淡    时间: 2006-7-20 03:38
左侧气胸、皮下气肿
作者: qian    时间: 2006-7-20 03:42
支持楼上:左侧气胸、皮下气肿。
作者: x线    时间: 2006-7-20 04:11
慢性支气管炎并肺气肿,左侧气胸、皮下气肿。
作者: drzhang8888    时间: 2006-7-20 05:21
左侧气胸、皮下气肿。纵隔气肿。
作者: sdqzwyx    时间: 2006-7-20 06:10
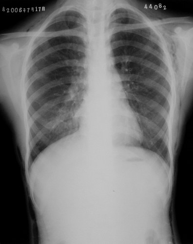
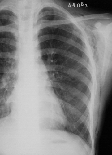
左侧胸壁、腋窝、颈部及右侧颈部皮下软组织内示斑片状、条状低密度气体影,四天后复查片明显吸收好转。
作者: ouch2006    时间: 2006-7-20 17:58
左侧气胸、皮下气肿、结合病史可考虑哮支炎。
作者: lth7110    时间: 2006-7-20 23:40
左侧气胸、皮下气肿。纵隔气肿。
作者: liuyue    时间: 2006-7-21 01:27
皮下气肿、左侧气胸、纵隔气肿。
作者: a2468    时间: 2006-7-21 01:53
皮下及纵隔气肿
作者: jiangjing    时间: 2006-7-21 02:41
皮下气肿。纵隔气肿.考虑支气管哮喘。
作者: yuliang    时间: 2006-7-21 03:53
左侧气胸,左侧皮下及纵隔气肿
作者: zhangkening    时间: 2006-7-21 05:31
支持5楼.不过我还得再加上右侧皮下气肿
作者: 碧水蓝天    时间: 2006-8-8 21:19
那里有气胸?只有纵隔气肿皮下积气.
作者: luoshuilong    时间: 2006-9-10 00:16
标题: 回复:x0884:[原创]胸片,请讨论!
以下是引用drzhang8888在2006-7-19 21:21:00的发言:[br]左侧气胸、皮下气肿。纵隔气肿。
作者: 虫子波    时间: 2006-9-10 04:33
说来说去 还是没有人说产生的机理
作者: 453506471    时间: 2006-9-10 05:45
我也想听听有人对这一x线表现作一病理生理分析!不过曾听有异位子宫内膜说,有先天发育说,还有外伤说等等。
作者: jinguoji    时间: 2006-11-18 08:23
左侧气胸、皮下气肿。纵隔气肿。
作者: shibing    时间: 2012-12-7 15:00
左侧气胸、皮下气肿。纵隔气肿。
| 欢迎光临 医影在线 (http://bbs.radida.com/bbs/) | Powered by Discuz! X3.2 |