医影在线

标题: CT4117:腹部CT,请讨论。 [打印本页]

作者: 卜一    时间: 2006-7-20 18:55
标题: CT4117:腹部CT,请讨论。
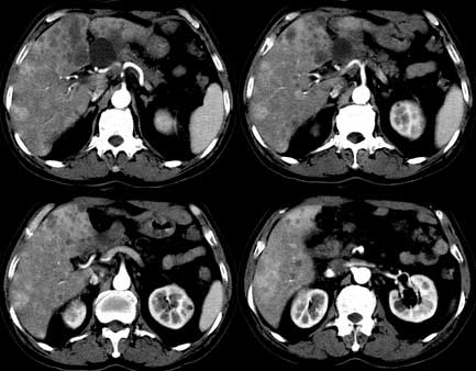
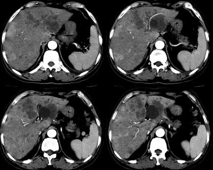
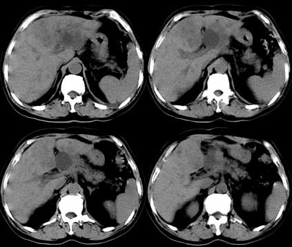
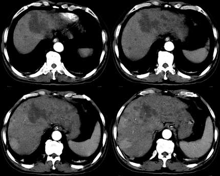
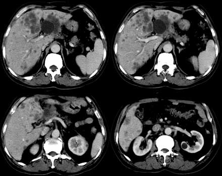
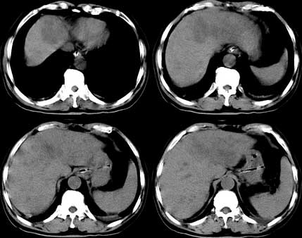
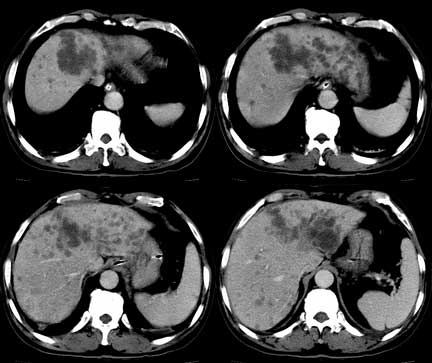
患者 男性 65岁,2005年8月行胆管癌切除术(切除胰头 胆囊及十二指肠),今行ct复查,请会诊,有没有复发?(近期患者发烧,重度黄疸)









[本贴已被 jiajie 于 2006-7-20 16:38:44 修改过]

作者: qian    时间: 2006-7-20 22:37
应该是复发。
作者: ligm188    时间: 2006-7-20 22:50
没错
作者: jinguoji    时间: 2006-7-20 23:15
应该是复发。
作者: liuyue    时间: 2006-7-20 23:43
复发
作者: 同    时间: 2006-7-20 23:55
是复发了
作者: 余辉    时间: 2006-7-21 03:11
是复发了,起码右后叶病灶可以肯定
作者: jiangjing    时间: 2006-7-21 03:37
考虑胆囊癌术后复发及肝转移,肝门区胆管扩张明显,左肾囊肿。
作者: 守望可可    时间: 2006-7-21 04:11
  是单纯复发还是复发伴肝内转移?我个人认为应当再考虑一下,并倾向于后者。肝总管下端内、后侧见不规则软组织块影,部分侵入肝总管内。其边缘凸凹不平且模糊不清,渐进性不均匀强化。肝总管于此处管径突然变小,其上肝总管显著扩张,内见较均匀液性密度,管壁也很光整。肝内多发低密度病灶用复发引起的肝内胆管扩张显然不能解释的通,病灶分布与胆内胆管的走行不一致。而且随着时间的延续病变更加清晰,没有强化,部分还可见牛眼征。
作者: CTqiu    时间: 2006-7-21 04:13
复发并肝内多发孖灶。
作者: x线    时间: 2006-7-21 04:14
术后复发及肝转移,左肾囊肿。
作者: ovonel123    时间: 2006-7-21 04:47
肝内转移
作者: yanghaochen88    时间: 2006-7-21 05:05
肯定是:胆管复发并肝内广泛转移,还有肝及胆总管周围网膜炎性改变。腹腔干后第三层面腹膜后血管间结节状影,淋巴结肿大可能,这上面没法看清!
作者: 1983    时间: 2006-7-21 06:04
考虑胆囊癌术后复发及肝转移,肝门区胆管扩张明显,左肾囊肿
作者: 漫步云端    时间: 2006-7-21 06:36
标题: 回复:ct4117:腹部ct,请讨论。
以下是引用yanghaochen88在2006-7-20 21:05:00的发言:[br]肯定是:胆管复发并肝内广泛转移,还有肝及胆总管周围网膜炎性改变。腹腔干后第三层面腹膜后血管间结节状影,淋巴结肿大可能,这上面没法看清!

支持
作者: 拾荒者    时间: 2006-7-21 06:37
胆管癌复发并肝转移,左肾囊肿。
作者: HAHA215315    时间: 2006-7-21 17:14
复发转移.
作者: whq9181    时间: 2006-7-21 19:15
考虑复发并转移,肝门区胆管扩张,左肾多发囊肿可能.腹腔淋巴结转移.
作者: mouse05210    时间: 2006-7-22 00:36
是复发。
作者: huxiaofeng    时间: 2006-7-22 19:22
复发
作者: wansheng    时间: 2006-7-23 17:15
复发,转移,左肾多发囊肿腹腔淋巴tb
作者: shibing    时间: 2015-6-19 15:26
复发并肝内多发孖灶。




欢迎光临 医影在线 (http://bbs.radida.com/bbs/) Powered by Discuz! X3.2