











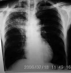
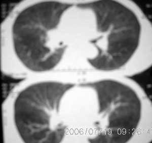
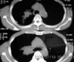
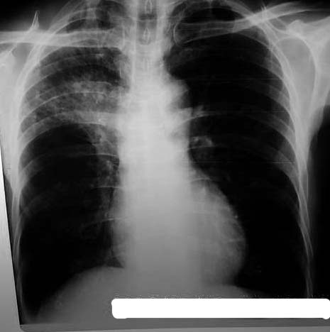
以下是引用卜一在2006-7-20 14:13:00的发言:[br]图象质量差了些,首先考虑:中心性肺癌伴阻塞性肺炎.因发生在右肺上叶尖后段,而且外带见二个空洞影,次考虑:不排除肺结核
以下是引用1983在2006-7-20 21:53:00的发言:[br]右侧中央型肺癌伴阻塞性肺炎.
以下是引用jiangjing在2006-7-20 19:22:00的发言:[br]右侧肺门见有软组织肿块,边缘不规则,不光整,其周围肺内见炎性片状影,胸片示水平裂呈弧形上移,右上叶支气管狭窄,考虑右肺中央型肺癌伴阻塞性肺炎部分肺不张。
| 欢迎光临 医影在线 (http://bbs.radida.com/bbs/) | Powered by Discuz! X3.2 |