医影在线
标题: CT4120:[讨论]胸部病变 [打印本页]
作者: wrancelan 时间: 2006-7-21 02:35
标题: CT4120:[讨论]胸部病变
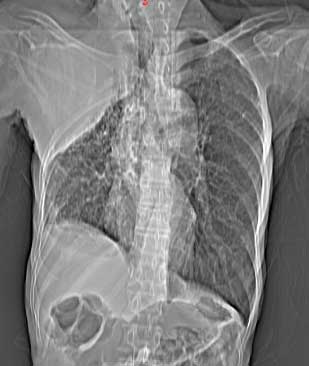
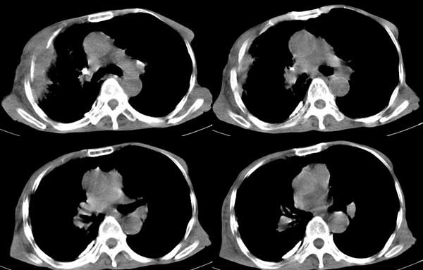
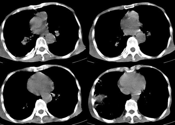
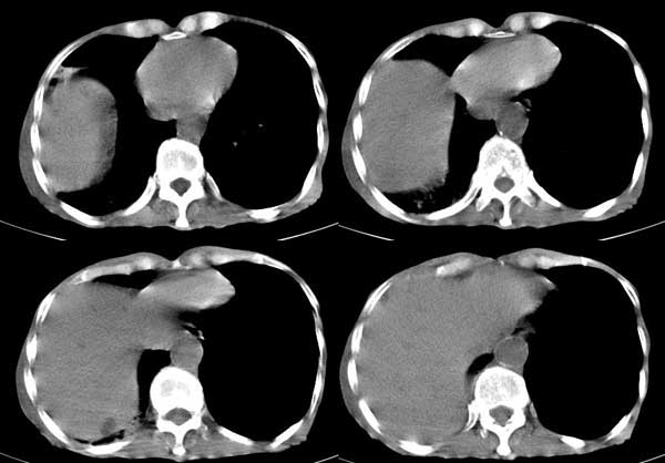
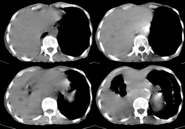
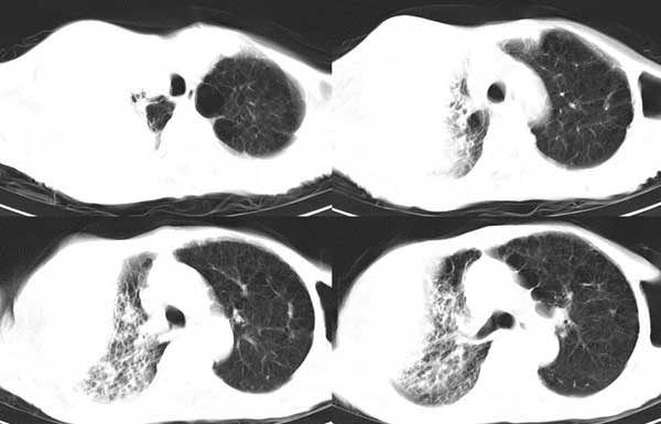
患者男,81岁,咳喘10余年,继往结核病史,发现胸部体表肿物(具体时间不详)就诊















[本贴已被 jiajie 于 2006-7-20 19:25:57 修改过]
作者: 余辉 时间: 2006-7-21 02:45
1,胸膜间皮瘤伴纵膈左肺转移;2,继发性结核左结核性胸膜炎左胸壁结核性感染
作者: chenqiong 时间: 2006-7-21 03:43
神经源性肿瘤?
作者: ILIKECT 时间: 2006-7-21 03:51
胸壁恶性肿瘤
作者: ovonel123 时间: 2006-7-21 04:23
肺上沟瘤
作者: CTqiu 时间: 2006-7-21 04:28
肺上沟ca。
作者: 乡医 时间: 2006-7-21 04:36
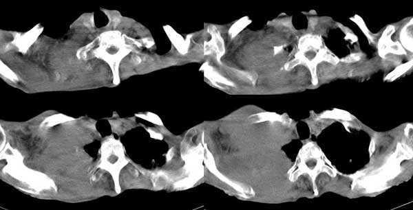
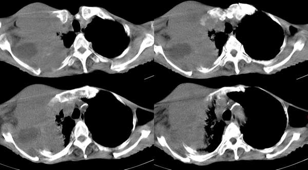
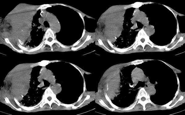
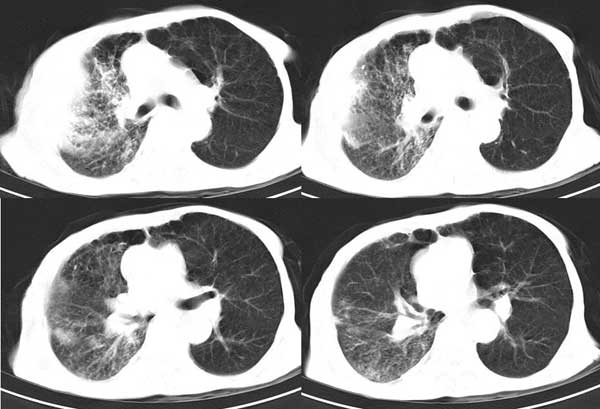
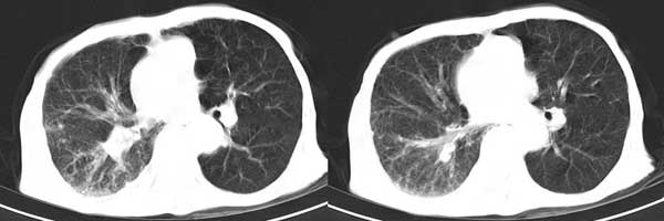
右侧胸廓塌陷。右前上外侧胸壁软组织肿块,其内见有低密度影,肋骨呈溶骨性表现。右肺上叶见大量的间质纤维化表现。右侧膈肌上抬。
患者男,81岁,咳喘10余年,继往结核病史,发现胸部体表肿物
考虑:1、继发性结核,右结核性胸膜炎伴胸壁结核性感染
2、右侧胸壁恶性肿瘤。
作者: xiaoniu 时间: 2006-7-21 04:37
标题: 回复:ct4120:[讨论]胸部病变
肺尖巨大肿块影阴,胸壁受侵肋骨破坏,肿块密度不均且穿破胸壁入皮下,应该是:肺上沟癌;由于肺内有斑片状播散病灶,因此不排除胸壁结核。
[本贴已被 xiaoniu 于 2006-7-20 21:16:38 修改过]
作者: qian 时间: 2006-7-21 04:51
我觉得这个人右侧胸部的肿块来源于肋骨或胸壁软组织,从病灶的形态来和最大直径来看,来源于肋骨的可能更大,可以基本定性为恶性。
作者: 同 时间: 2006-7-21 04:55
考虑右侧胸壁恶性肿瘤
作者: 501959462 时间: 2006-7-21 05:51
倒底是结核还是恶性肿瘤,同声们建议增强呀,那时不就什么都明白了?
作者: 1983 时间: 2006-7-21 05:56
胸壁恶性肿瘤 建议增强或穿刺活检
作者: hl0510 时间: 2006-7-21 06:18
应该是来源胸壁软组织肿瘤,胸膜间皮瘤临床症状不支持.
作者: 拾荒者 时间: 2006-7-21 07:01
标题: 回复:ct4120:[讨论]胸部病变
以下是引用乡医在2006-7-20 20:36:00的发言:[br]右侧胸廓塌陷。右前上外侧胸壁软组织肿块,其内见有低密度影,肋骨呈溶骨性表现。右肺上叶见大量的间质纤维化表现。右侧膈肌上抬。[br]患者男,81岁,咳喘10余年,继往结核病史,发现胸部体表肿物[br]考虑:1、继发性结核,右结核性胸膜炎伴胸壁结核性感染[br] 2、右侧胸壁恶性肿瘤。
支持。但首先考虑胸壁恶性肿瘤。即把顺序颠倒一下。
作者: shenhs 时间: 2006-7-21 09:30
1,胸膜间皮瘤伴纵膈左肺转移;2,继发性结核左结核性胸膜炎左胸壁结核性感染
作者: 卜一 时间: 2006-7-21 16:52
右侧胸廓塌陷。右前上外侧胸壁软组织肿块,其内见有低密度影,肋骨呈溶骨性表现。右肺上叶见大量的间质纤维化表现。右侧膈肌上抬。
患者男,81岁,咳喘10余年,继往结核病史,发现胸部体表肿物。
考虑:1 右侧胸壁恶性肿瘤(多考虑:胸膜间皮瘤)。
2 继发性结核,右结核性胸膜炎伴胸壁结核性感染。
作者: 东北 时间: 2006-7-21 17:44
肺上沟癌
作者: liuyue 时间: 2006-7-21 21:57
考虑右侧胸壁恶性肿瘤伴右肺癌性淋巴管炎 (肺上沟瘤常有神经方面的症状,结核如此严重无明显结核中毒症状也很少见)
作者: pj6789 时间: 2006-7-21 22:28
右胸壁恶性肿瘤,以肉瘤可能性大
作者: shibing 时间: 2015-6-19 15:27
考虑右侧胸壁恶性肿瘤
| 欢迎光临 医影在线 (http://bbs.radida.com/bbs/) |
Powered by Discuz! X3.2 |