











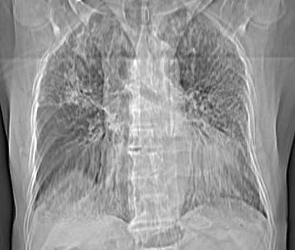
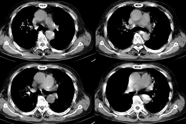
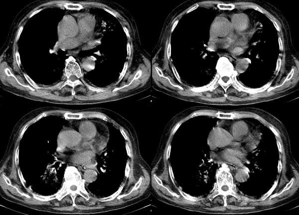
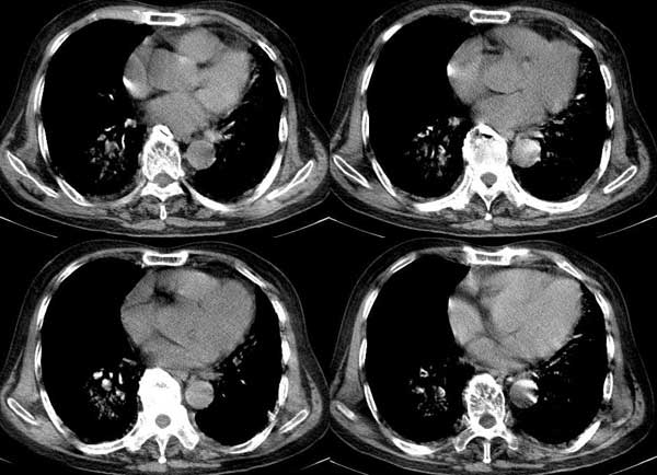
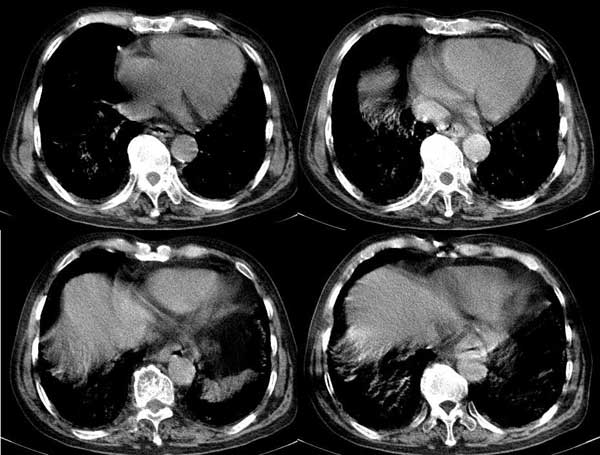
以下是引用同在2006-7-20 21:01:00的发言:[br]间质性肺炎,两肺纤维化,肺气肿。
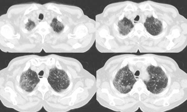
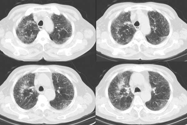
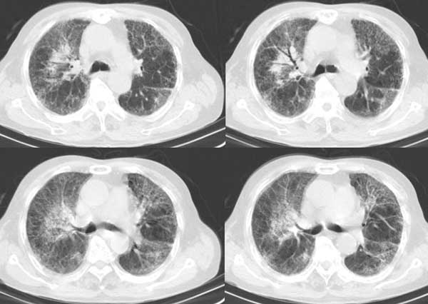
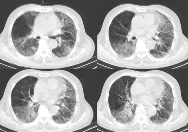
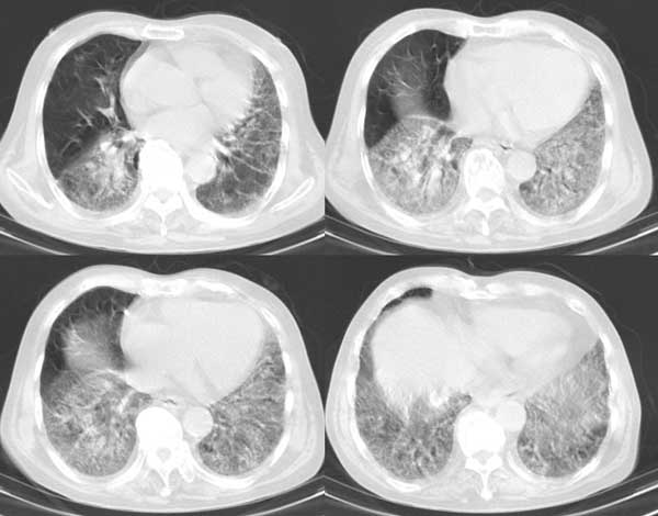
以下是引用dalianren在2006-7-20 21:23:00的发言:[br]我考虑是肺泡蛋白沉积症:典型表现为两肺内散在片状\"磨玻璃\"样混浊区呈地图样分布.
以下是引用同在2006-7-20 21:01:00的发言:[br]间质性肺炎,两肺纤维化,肺气肿。
以下是引用lj0804在2006-7-21 12:57:00的发言:[br]支持[br]我考虑是肺泡蛋白沉积症:典型表现为两肺内散在片状\"磨玻璃\"样混浊去呈地图样分布.
| 欢迎光临 医影在线 (http://bbs.radida.com/bbs/) | Powered by Discuz! X3.2 |