



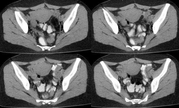
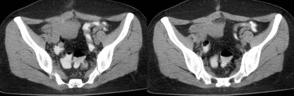
以下是引用守望可可西里在2006-7-25 19:56:00的发言:[br][br] 尽管极象妊娠囊,但“胎儿骨骼12周以后才会在x线片上显影 ,16周以上才可以清晰显示 。一般胎儿的脊柱先出现骨化 ,呈串珠样排列的小点状致密影” 再加上囊内应该是羊水的位置被脂肪密度所取代,还是先考虑畸胎瘤吧。
以下是引用hanlongjiang在2006-7-27 8:24:00的发言:[br]临床手术结果右侧巢畸胎瘤,左侧宫外孕,手术前宫外孕破裂,故手术非常成功,此病例仅凭片子的诊断不能解释其临床表现。想给大家看看,谢谢各位楼主![br]
| 欢迎光临 医影在线 (http://bbs.radida.com/bbs/) | Powered by Discuz! X3.2 |