



















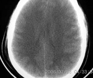
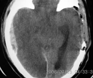
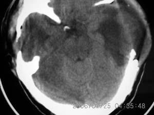
以下是引用lushijun在2006-7-25 21:02:00的发言:[br]1、双侧枕叶脑挫裂伤 2、硬膜下血肿 3、蛛网膜下腔出血[br]
以下是引用同在2006-7-25 21:11:00的发言:[br]双侧枕叶脑挫裂伤 硬膜下血肿 蛛网膜下腔出血
以下是引用lushijun在2006-7-25 21:02:00的发言:[br]1、双侧枕叶脑挫裂伤 2、硬膜下血肿 3、蛛网膜下腔出血[br]
以下是引用kbzyycm在2006-7-25 22:54:00的发言:[br]1、双侧枕叶脑挫裂伤 、硬膜下血肿 蛛网膜下腔出血.[br]
| 欢迎光临 医影在线 (http://bbs.radida.com/bbs/) | Powered by Discuz! X3.2 |