医影在线

标题: CT4161:[讨论]胸部病变,求教 [打印本页]

作者: mzh123    时间: 2006-7-26 04:03
标题: CT4161:[讨论]胸部病变,求教
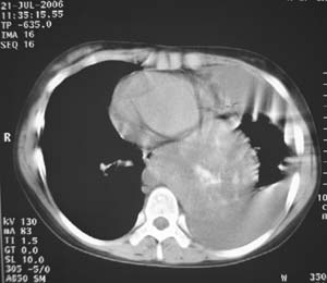
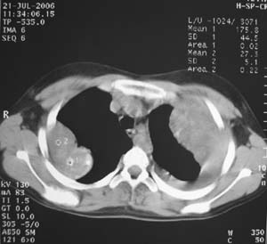
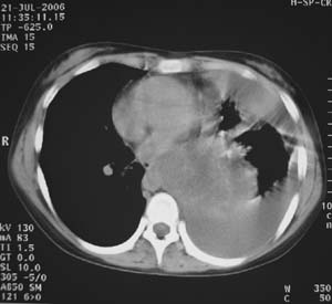
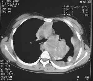
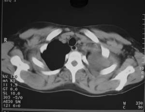
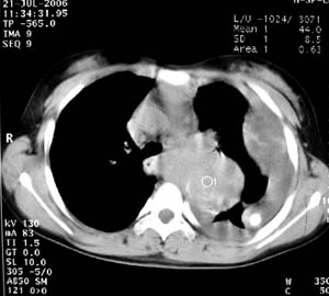
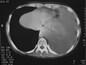
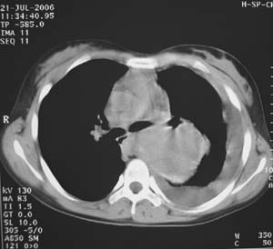
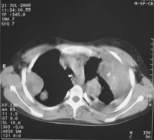
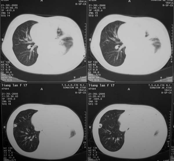
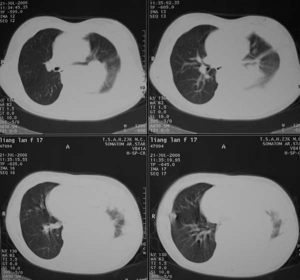
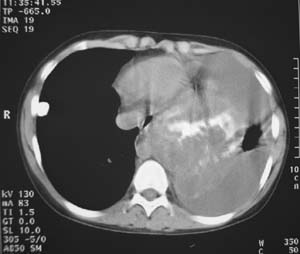
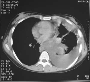
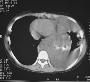
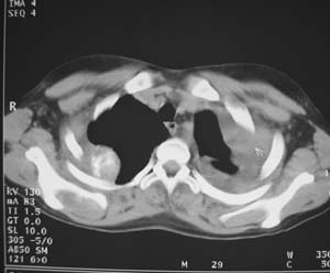
女性,17岁,一年前因股骨病变截肢,现胸憋。


































[本贴已被 jiajie 于 2006-7-25 20:12:59 修改过]

作者: drzhang8888    时间: 2006-7-26 04:45
骨肉瘤伴肺转移
作者: 火中金    时间: 2006-7-26 04:50
当然考虑转移啦
作者: ruoyuli    时间: 2006-7-26 04:58
股骨下段针状瘤骨垂直于骨皮质向外生长.并见软组织密度肿块影.骨髓腔密度增高.考虑股骨下段成骨肉瘤.胸膜及左肺转移瘤.
作者: lushijun    时间: 2006-7-26 04:59
支持2楼意见
作者: 同    时间: 2006-7-26 05:15
支持骨肉瘤肺纵隔胸膜转移。
作者: zjb    时间: 2006-7-26 05:35
骨肉瘤胸膜及肺内转移
作者: qian    时间: 2006-7-26 05:44
支持骨肉瘤转移。
作者: jiajie    时间: 2006-7-26 06:00
左肺巨大肿块,内散在斑点状高密度骨化影,右肺见多发结节灶,双侧胸膜局限性增厚。有骨肉瘤病史,支持骨肉瘤手术后转移。
作者: 阿钧    时间: 2006-7-26 06:06
支持3楼
作者: 山野樵夫    时间: 2006-7-26 06:17
病史及影像表现支持骨肉瘤术后肺转移
作者: jinguoji    时间: 2006-7-26 06:44
支持骨肉瘤肺纵隔胸膜转移。
作者: kbzyycm    时间: 2006-7-26 06:52
支持骨肉瘤肺纵隔胸膜转移。
作者: jiangjing    时间: 2006-7-26 07:56
支持---股骨下段针状瘤骨垂直于骨皮质向外生长.并见软组织密度肿块影.骨髓腔密度增高.考虑股骨下段成骨肉瘤.胸膜及左肺转移瘤.
作者: 拾荒者    时间: 2006-7-26 08:11
支持骨肉瘤并胸膜及纵隔多发转移。
作者: lizhjie    时间: 2006-7-26 13:38
骨肉瘤胸膜转移.这样的病例还初次见.
作者: 卜一    时间: 2006-7-26 14:18
支持骨肉瘤肺 纵隔 胸膜转移。(插曲:看完次片,整一天坏心情。)
作者: 晓杰    时间: 2006-7-26 17:00
支持骨肉瘤肺纵隔胸膜转移
作者: HAHA215315    时间: 2006-7-26 17:42
不用说.
作者: wangzhanshuang    时间: 2006-7-26 17:44
左肺巨大肿块,内散在斑点状高密度骨化影,右肺见多发结节灶,双侧胸膜局限性增厚。有骨肉瘤病史,支持骨肉瘤手术后转移。
作者: kvma888    时间: 2006-7-26 19:20
支持上面的沙发!
作者: fxt2347    时间: 2006-7-26 20:29
支持:股骨下段针状瘤骨垂直于骨皮质向外生长.并见软组织密度肿块影.骨髓腔密度增高.考虑股骨下段成骨肉瘤.胸膜及左肺转移瘤.
作者: liuyue    时间: 2006-7-26 22:07
支持骨肉瘤肺、纵隔、胸膜转移。
作者: zhh    时间: 2006-7-26 23:11
骨肉瘤伴肺转移
作者: stronger16    时间: 2006-7-27 02:43
骨肉瘤伴纵隔胸膜转移!
作者: shibing    时间: 2015-6-16 15:35
支持骨肉瘤转移。




欢迎光临 医影在线 (http://bbs.radida.com/bbs/) Powered by Discuz! X3.2