医影在线

标题: CT4162:[原创]腹部占位,平扫+增强 请大家会诊来源何处? [打印本页]

作者: 小乔    时间: 2006-7-26 05:48
标题: CT4162:[原创]腹部占位,平扫+增强 请大家会诊来源何处?
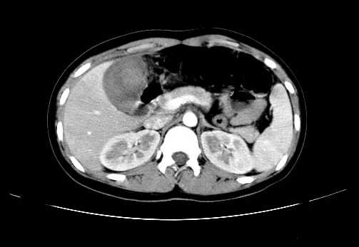
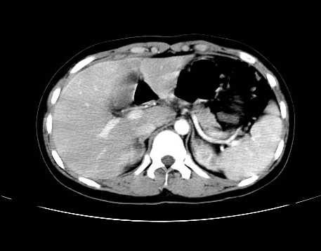
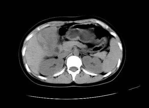
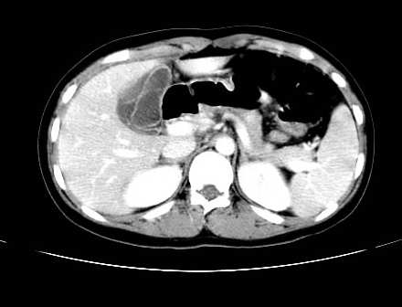
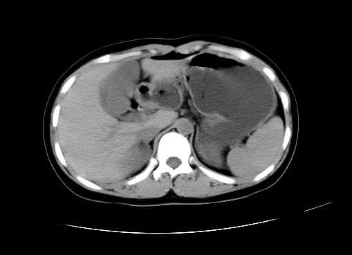
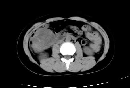
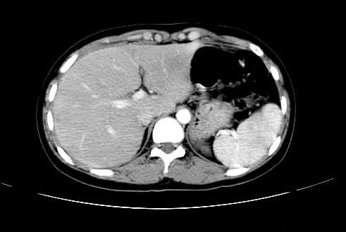
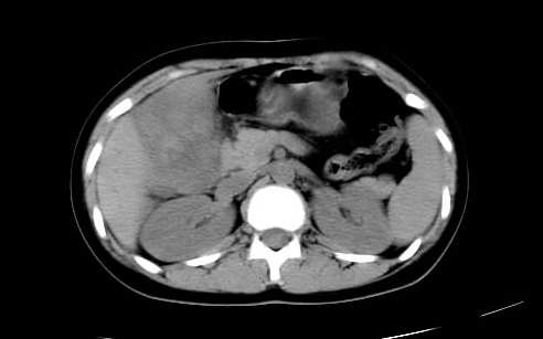
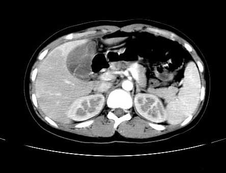
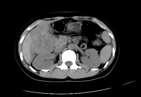
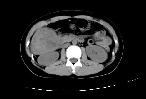
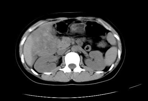
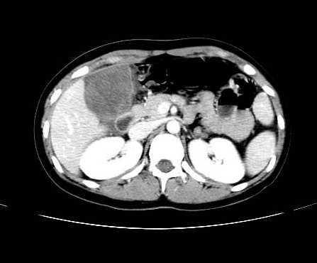
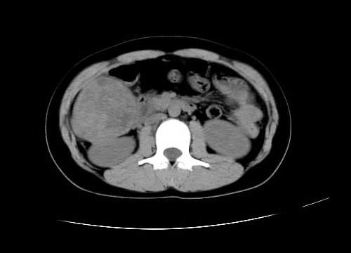
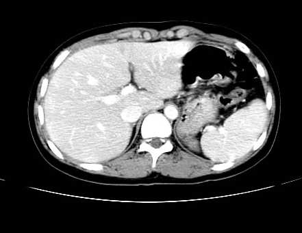
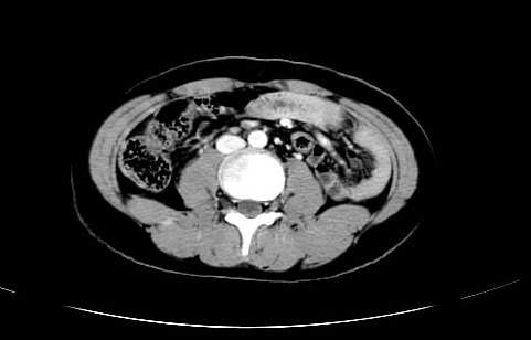
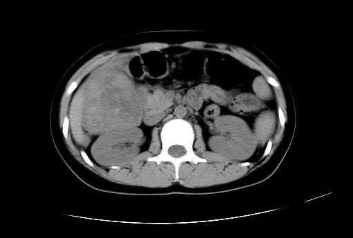
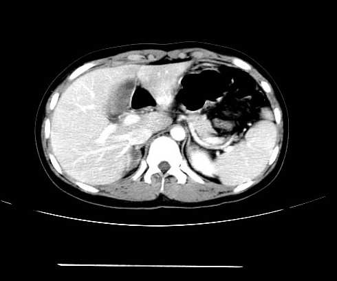
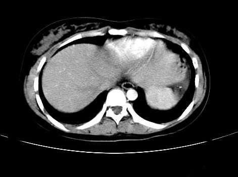
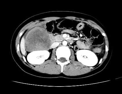
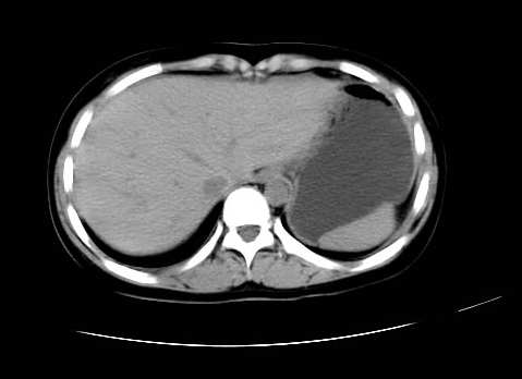
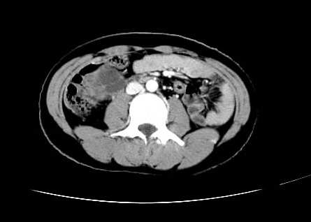
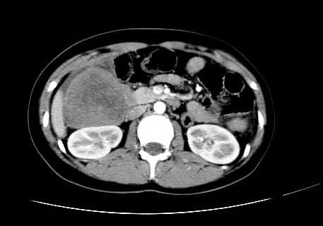
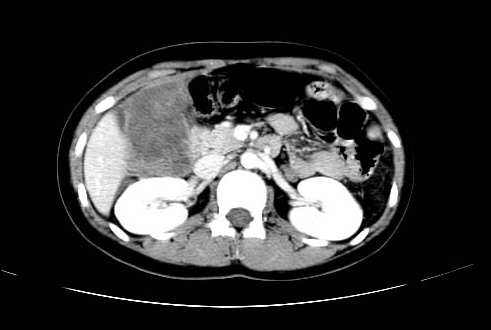
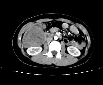
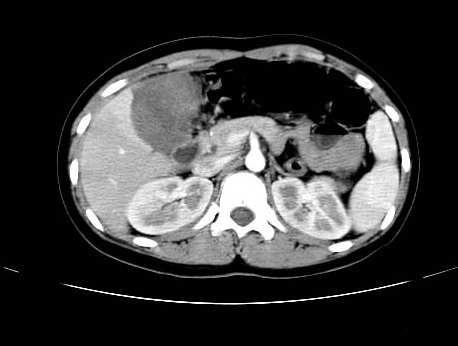
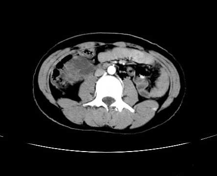
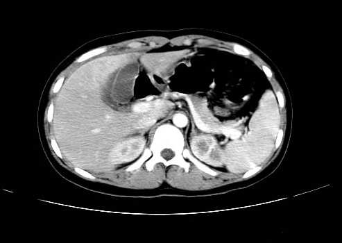
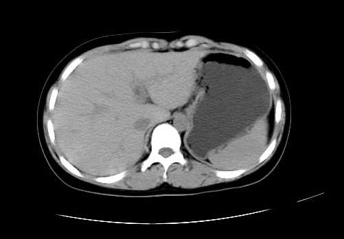
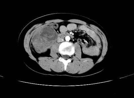
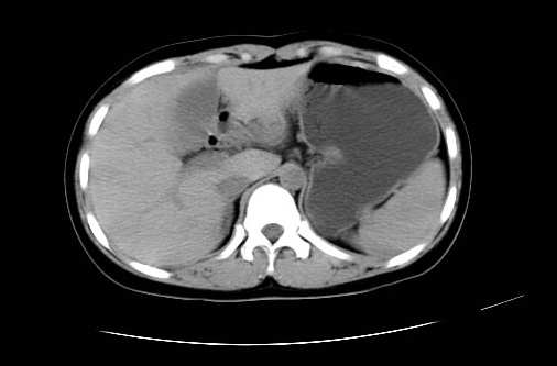
女 16岁  右上腹痛一天,无其他不适















































[本贴已被 jiajie 于 2006-7-25 22:04:06 修改过]

作者: GoalKeeper    时间: 2006-7-26 06:03
肝ca
作者: tzl    时间: 2006-7-26 06:34
gist
作者: tzl    时间: 2006-7-26 06:48
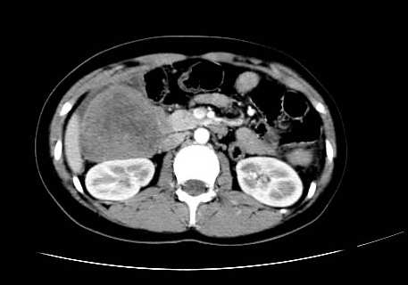
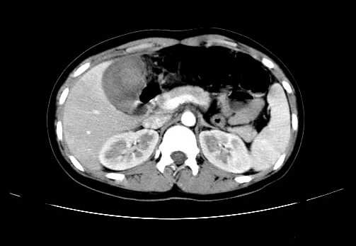
肿块最大径位于十二指肠降段与水平段移行处,并且与肝脏压迹呈“0”形征,可以考虑位于肝外并与胃肠道关系紧密,考虑胃肠道间质瘤(gist)可能较大,须除外神经节起源肿瘤。
作者: a2468    时间: 2006-7-26 07:09
升结肠癌可能
作者: jiangjing    时间: 2006-7-26 07:54
zhichi---gist[恶性可能性大]
作者: shenhs    时间: 2006-7-26 08:52
升结肠ca
作者: lizhjie    时间: 2006-7-26 14:03
肿块与十二指肠关系密切,支持间质瘤诊断.肝脏与结肠均为受压改变.
作者: 卜一    时间: 2006-7-26 14:30
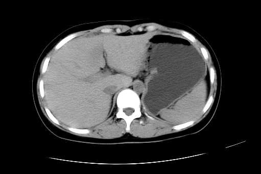
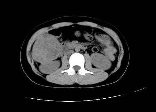
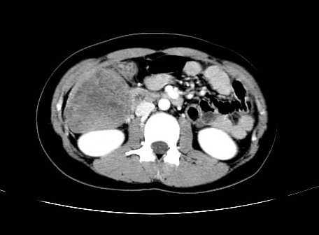
右下腹巨大肿快,密度不均匀,内见坏死低密度区,边界清楚,与周边胀器明显有分界,未见强化,多考虑来源于间叶组织的良性肿物.
作者: 晓杰    时间: 2006-7-26 16:59
支持楼上:右下腹巨大肿快,密度不均匀,内见坏死低密度区,边界清楚,与周边胀器明显有分界,未见强化,多考虑来源于间叶组织的良性肿物.
作者: HAHA215315    时间: 2006-7-26 17:47
做个钡灌肠.
作者: kvma888    时间: 2006-7-26 19:18
我不同意上面的观点!我考虑是:化脓性兰尾炎!请楼主上传最后诊断!谢谢!
作者: piao001    时间: 2006-7-26 21:53
考虑胃肠道间质瘤
作者: liuyue    时间: 2006-7-26 22:24
胃肠道间质瘤可能性大,期待结果.
作者: 同    时间: 2006-7-26 22:27
标题: 回复:ct4162:[原创]腹部占位,平扫+增强 请大家会诊来源
以下是引用卜一在2006-7-26 6:30:00的发言:[br]右下腹巨大肿快,密度不均匀,内见坏死低密度区,边界清楚,与周边胀器明显有分界,未见强化,多考虑来源于间叶组织的良性肿物.

作者: qian    时间: 2006-7-27 02:01
是否要考虑胆囊病变?
作者: stronger16    时间: 2006-7-27 02:29
能不能重建啊!要是能重建的话!那就好看它是来源于什么了!
作者: shihai    时间: 2006-7-27 02:54
支持楼上.
作者: 蓝天1号    时间: 2006-7-27 03:27
考虑gist
作者: 一棵树    时间: 2006-7-27 03:39
考虑gist
作者: 守望可可    时间: 2006-7-27 04:43
标题: 回复:ct4162:[原创]腹部占位,平扫+增强 请大家会诊来源
以下是引用kvma888在2006-7-26 11:18:00的发言:[br]我不同意上面的观点!我考虑是:化脓性兰尾炎!请楼主上传最后诊断!谢谢![br]

  老兄,您的病人阑尾的位置比较高啊,是您给她拉起来的?开个玩笑,别介意哦,呵呵。
  
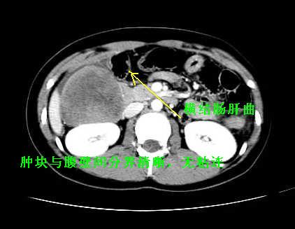
  我坚决反对您的观点,该病例定位:横结肠肝曲与升结肠之间的肠系膜及部分肠壁。请看下图:





  病灶巨大,少部分向肠腔内生长,大部分向长腔外生长。其密度不均匀,增强显示明显不均匀强化,并见有大片状始终不强化的不规则坏死液化区。虽然病灶中上部形态尚可,病人又如此年轻,但中下部形态、密度、强化特点强烈提示为恶性病灶。综上,我考虑本病例为:恶性胃肠道间质瘤。
作者: yzt222    时间: 2006-7-27 06:01
考虑纤维肉瘤?
作者: 拾荒者    时间: 2006-7-27 06:48
支持胃肠道间质瘤。
作者: shibing    时间: 2015-6-16 15:35
支持楼上:右下腹巨大肿快,密度不均匀,内见坏死低密度区,边界清楚,与周边胀器明显有分界,未见强化,多考虑来源于间叶组织的良性肿物.




欢迎光临 医影在线 (http://bbs.radida.com/bbs/) Powered by Discuz! X3.2