医影在线

标题: CT4163:[原创]右肺上叶病变,请大家讨论。 [打印本页]

作者: yuding    时间: 2006-7-26 15:20
标题: CT4163:[原创]右肺上叶病变,请大家讨论。
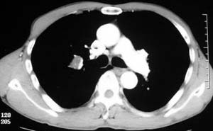
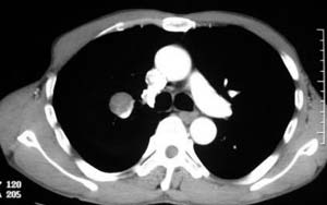
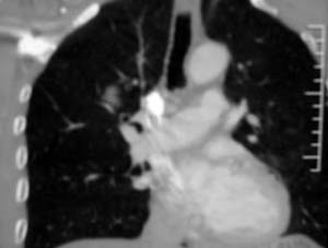
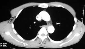
患者,男,58岁,煤矿职工,无症状,单位体检发现病变。















































[本贴已被 jiajie 于 2006-7-26 9:01:18 修改过]

作者: 应项雪    时间: 2006-7-26 16:09
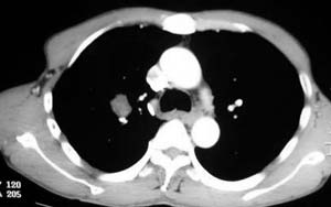
肺窗显示结节的后外边缘呈分叶状生长系生长过程受血管阻挡所致,出现较典型的“树凹”征,部分边缘见毛糙,不均匀强化,楼主未提供增强前后ct值,不好比较,倾向周围型ca。
作者: haoge    时间: 2006-7-26 16:35
支持周围型ca。
作者: 晓杰    时间: 2006-7-26 16:48
右肺门上缘见类圆形节结影,密度尚均,边缘清楚,其内可见点状钙化影,周围支气管受压移位,病灶未见明显强化。考虑:1炎性假瘤  2 支持周围型肺ca (腺瘤)
作者: 中山医    时间: 2006-7-26 17:28
标题: 回复:ct4163:[原创]右肺上叶病变,请大家讨论。
右肺门上缘见类圆形节结影,密度尚均,边缘清楚,其内可见点状钙化影,周围支气管受压移位,病灶未见明显强化。考虑:良性病变——结核球可能性大,周围型肺癌待排。
作者: wangzhanshuang    时间: 2006-7-26 17:46
右肺门上缘见类圆形节结影,密度尚均,边缘清楚,其内可见点状钙化影,周围支气管受压移位,病灶未见明显强化。考虑:良性病变——结核球可能性大,周围型肺癌待排。
作者: 狙击手    时间: 2006-7-26 18:20
倾向良性肿瘤
作者: lth7110    时间: 2006-7-26 18:23
支气管腺瘤可能,尽快手术.
作者: 姜进    时间: 2006-7-26 18:28
病灶边缘光滑,似可见分叶征,未见明显毛刺。气管影轻度向右偏移。内可见点样钙化。邻近气道影通畅,考虑结核球可能。请楼主尽快公布结果
作者: yemin92007    时间: 2006-7-26 18:29
目前结节的表现倾向于良性,建议随访观察排除肺癌。
作者: HAHA215315    时间: 2006-7-26 18:34
是不是也应考虑\" 尘肺\".
作者: 卜一    时间: 2006-7-26 18:59
右肺门上缘见类圆形结节影,密度尚均,边缘清楚,其内可见点状钙化影,周围支气管受压移位,病灶未见明显强化。考虑:良性病变;首先考虑肺内错构瘤。次考虑肺内腺瘤。
作者: zhangweiqiang    时间: 2006-7-26 19:13
良性肺肿瘤,,肿块内有钙化,支气管腺瘤
作者: piao001    时间: 2006-7-26 21:58
良性病变——结核球可能性大,周围型肺癌待排。
作者: liuyue    时间: 2006-7-26 22:15
1矽肺结节可能性大2硬化性血管瘤、支气管腺瘤、错构瘤?肺癌可能性不大.
作者: xhsmx    时间: 2006-7-26 22:23
病灶呈分叶型,边缘清晰,无毛刺,增强强化不明显,内见多发钙化,亦无卫星灶。多考虑良性病变。错构瘤可能性大。
作者: 同    时间: 2006-7-26 22:24
支持良性肿瘤
作者: muxinhua    时间: 2006-7-27 00:03
考虑:良性病变,结核球可能性大.
作者: shihai    时间: 2006-7-27 02:51
目前多考虑良性占位性病变,建议随访观察排除其他可能.
作者: lizhjie    时间: 2006-7-27 03:28
考虑良性病变可能性大,
作者: chenqiong    时间: 2006-7-27 04:11
考虑周围型肺癌,间质瘤不除外
作者: jiangjing    时间: 2006-7-27 05:25
病灶呈分叶型,边缘清晰,无毛刺,增强强化不明显,内见多发钙化,亦无卫星灶。多考虑良性病变。错构瘤可能性大或结核球。肺癌待排
作者: suture    时间: 2006-7-27 05:44
动脉相上,右上肺动脉的尖段分支位于结节旁,结节对血管形成压迫而使到走行略改变,并没有很明确的包绕,也没有动脉期的供血,考虑还是偏向于良性可能大。当然最后的决定还是病检
作者: 小乔    时间: 2006-7-27 06:01
病变边界清晰,对周围主要是外压性改变,未见血管包绕,边缘及中心见钙化,考虑良性病变,结核球可能
作者: 拾荒者    时间: 2006-7-27 06:56
标题: 回复:ct4163:[原创]右肺上叶病变,请大家讨论。
以下是引用jiangjing在2006-7-26 21:25:00的发言:[br]病灶呈分叶型,边缘清晰,无毛刺,增强强化不明显,内见多发钙化,亦无卫星灶。多考虑良性病变。错构瘤可能性大或结核球。肺癌待排

支持,期待结果。
作者: shibing    时间: 2015-6-16 15:34
建议随访观察排除肺癌。




欢迎光临 医影在线 (http://bbs.radida.com/bbs/) Powered by Discuz! X3.2