医影在线

标题: CT4166:[原创]腹部包块 [打印本页]

作者: 同    时间: 2006-7-26 20:16
标题: CT4166:[原创]腹部包块
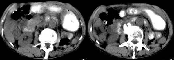
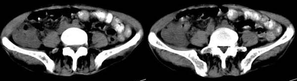
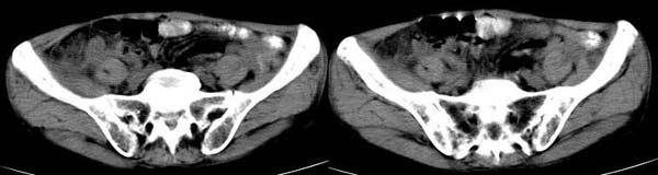
男 74岁,聋哑人,病史不详。












[本贴已被 jiajie 于 2006-7-26 16:01:54 修改过]

作者: fxt2347    时间: 2006-7-26 20:23
考虑升结肠癌
作者: 实习医生    时间: 2006-7-26 21:34
看不明白
作者: liuyue    时间: 2006-7-26 21:41
升结肠壁不均匀增厚,周围境界尚清,腹主动脉旁、盆腔内未见肿大淋巴结,考虑:升结肠癌可能性大.
作者: xhsmx    时间: 2006-7-26 22:16
升结肠壁明显不规则增厚,呈偏心性,考虑结肠癌。
作者: sun123456    时间: 2006-7-26 23:01
支持三楼
作者: ILIKECT    时间: 2006-7-26 23:34
标题: 回复:[原创]腹部包块
以下是引用xhsmx在2006-7-26 14:16:00的发言:[br]升结肠壁明显不规则增厚,呈偏心性,考虑结肠癌。

作者: 医博云天    时间: 2006-7-27 00:05
充盈欠佳,结肠肝曲壁不规则增厚,考虑结肠ca,建议取材!
作者: 卜一    时间: 2006-7-27 00:31
右半结肠不规则 弥漫性增厚,与周边胀器分界清楚,建议行钡剂灌肠.单纯本片还是考虑:升结肠癌.
作者: muxinhua    时间: 2006-7-27 00:41
标题: 回复:ct4166:[原创]腹部包块
[face=新宋体]1.结肠癌,2.回盲部炎变[/face]
作者: shihai    时间: 2006-7-27 02:40
升结肠壁不均匀增厚,肠腔偏心性狭窄,周围境界尚清,腹主动脉旁、盆腔内未见肿大淋巴结,考虑:升结肠癌可能性大.建议:纤维结肠镜检查.
作者: wangzhanshuang    时间: 2006-7-27 04:02
升结肠壁明显不规则增厚,呈偏心性,考虑结肠占位性病变建议行钡剂灌肠
作者: klw    时间: 2006-7-27 04:11
???????不懂!
作者: LWZ    时间: 2006-7-27 04:48
建议结肠镜或其他检查,考虑ca.
作者: 1983    时间: 2006-7-27 05:03
升结肠壁不均匀增厚,周围境界尚清,腹主动脉旁、盆腔内未见肿大淋巴结,考虑:升结肠癌可能性大.
作者: jiangjing    时间: 2006-7-27 05:12
1.结肠癌,2.回盲部炎变  [盲升结肠壁不均匀增厚,盲肠边缘模糊]
作者: wansheng    时间: 2006-7-27 17:54
结肠ca
作者: shibing    时间: 2015-6-16 15:57
1.结肠癌,2.回盲部炎变




欢迎光临 医影在线 (http://bbs.radida.com/bbs/) Powered by Discuz! X3.2