医影在线
标题: [原创]CT4167脾占位。请大家帮忙会诊。 [打印本页]
作者: 詹劲松 时间: 2006-7-27 00:10
标题: [原创]CT4167脾占位。请大家帮忙会诊。
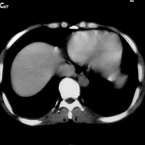
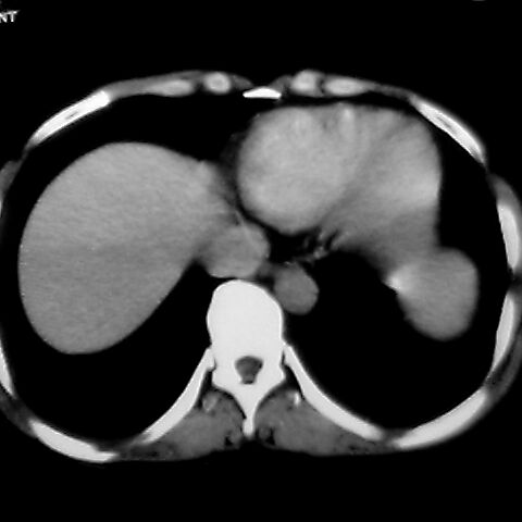
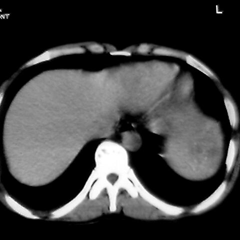
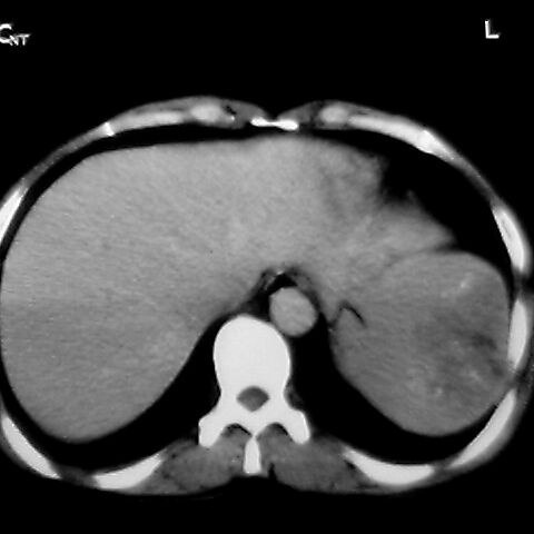
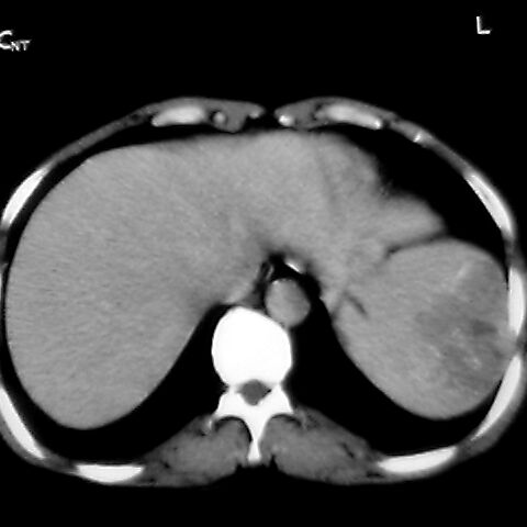
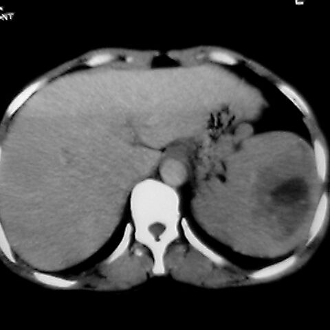
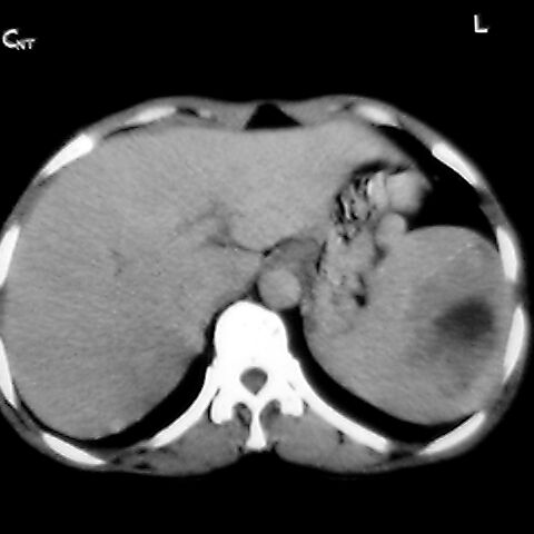
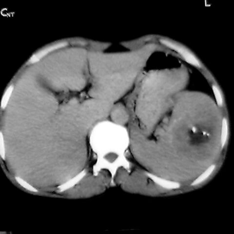
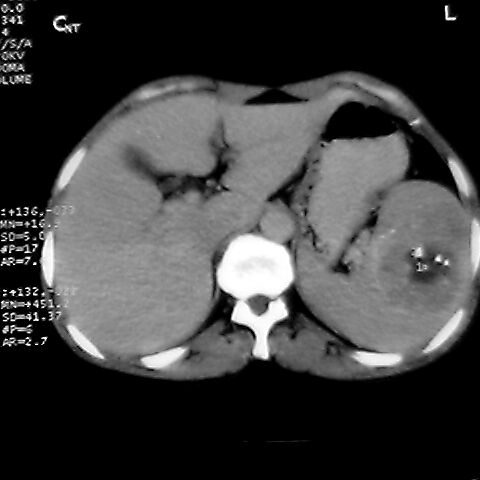
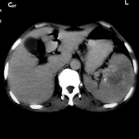
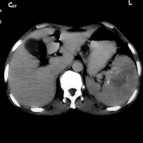
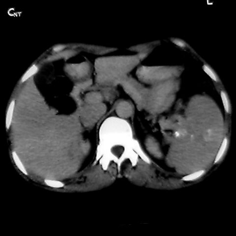
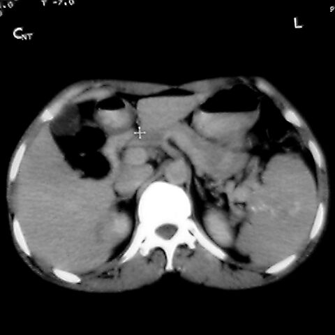
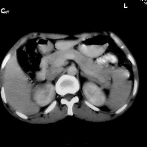
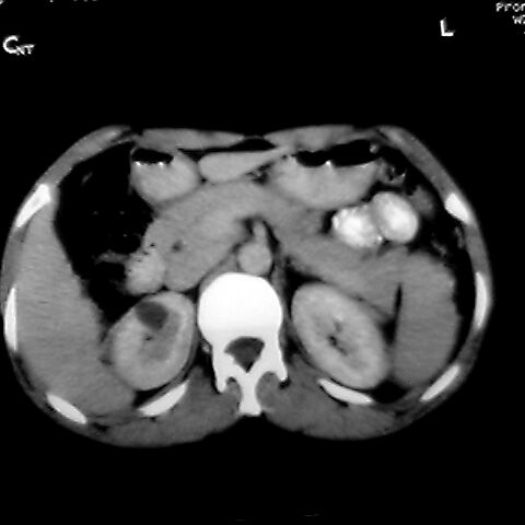
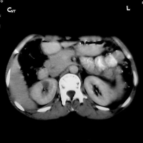
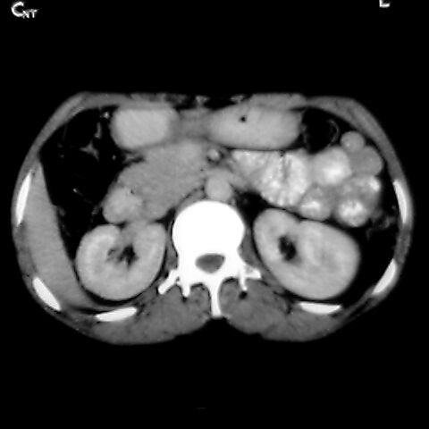
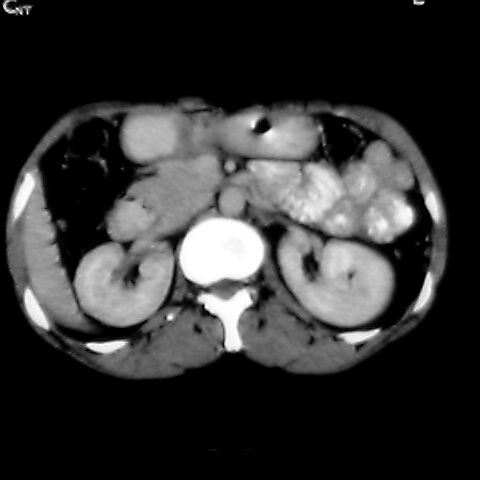
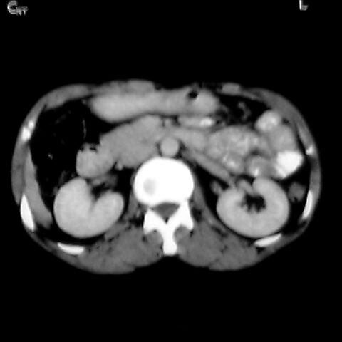
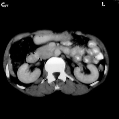
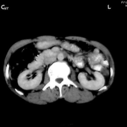
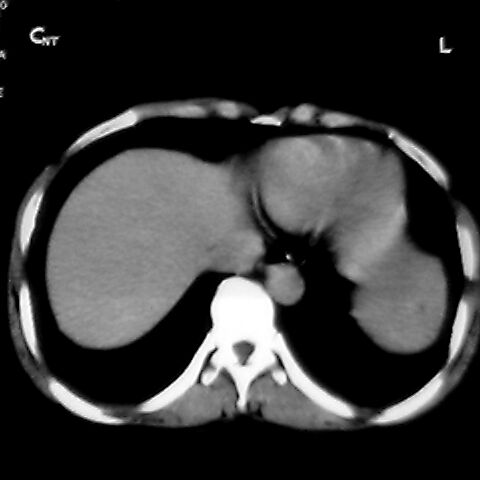
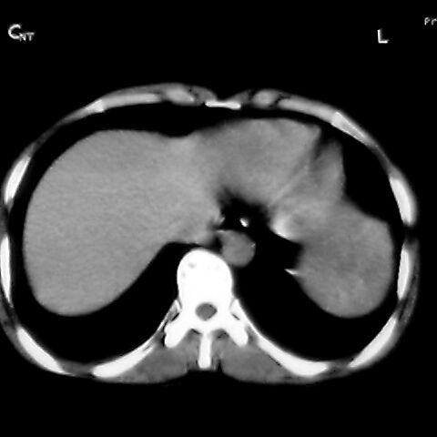
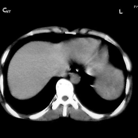
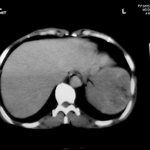
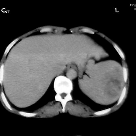
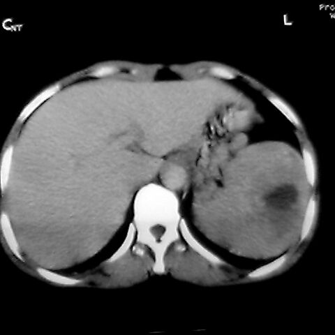
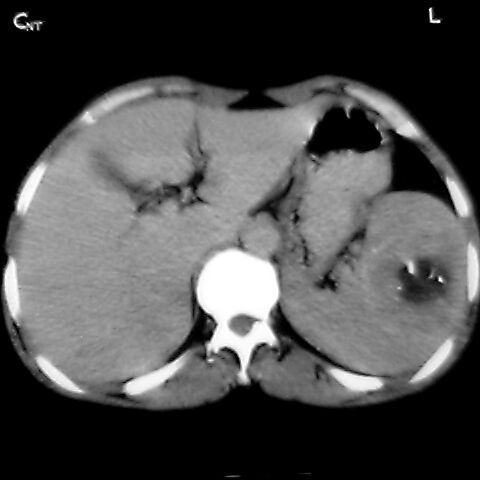
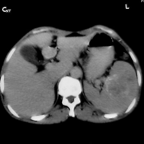
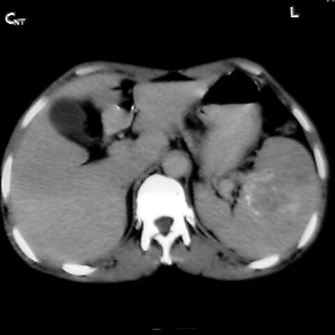
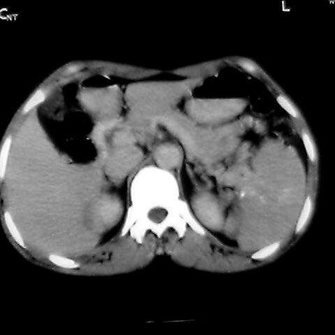
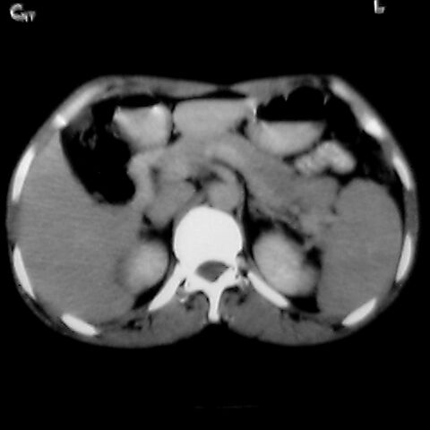
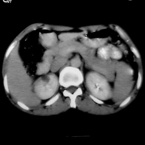
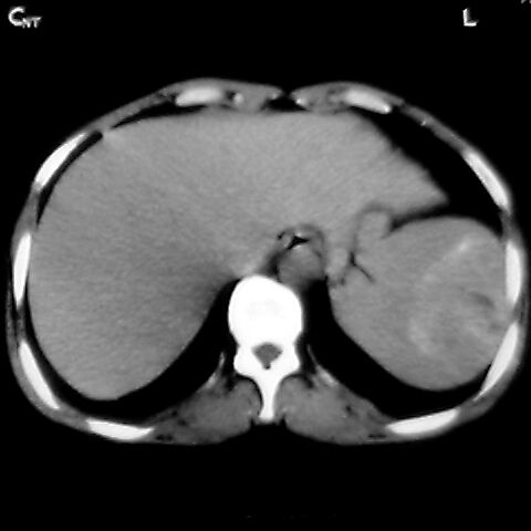
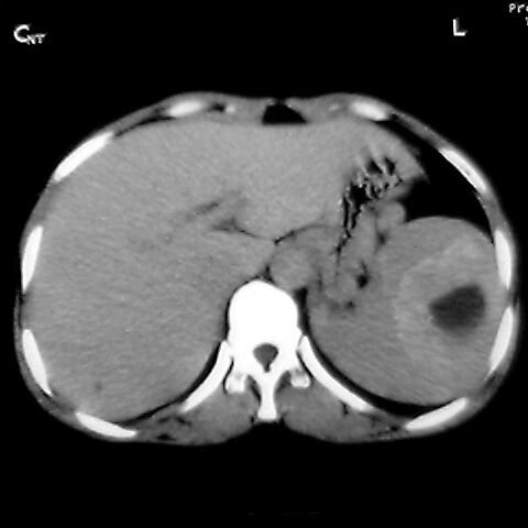
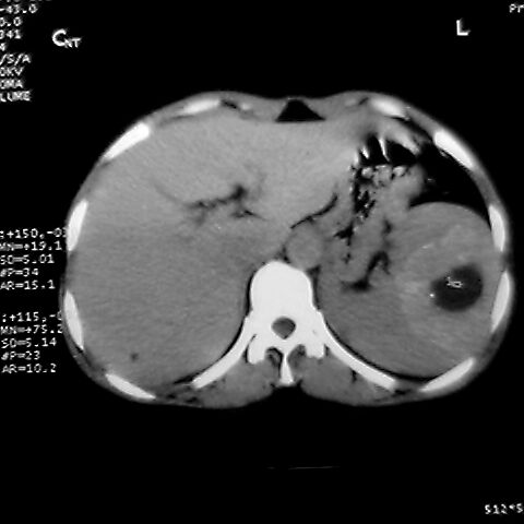
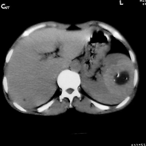
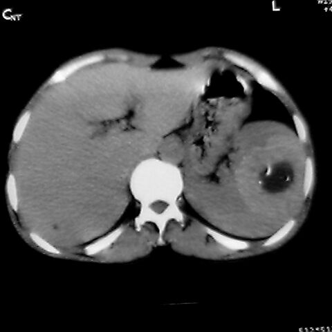
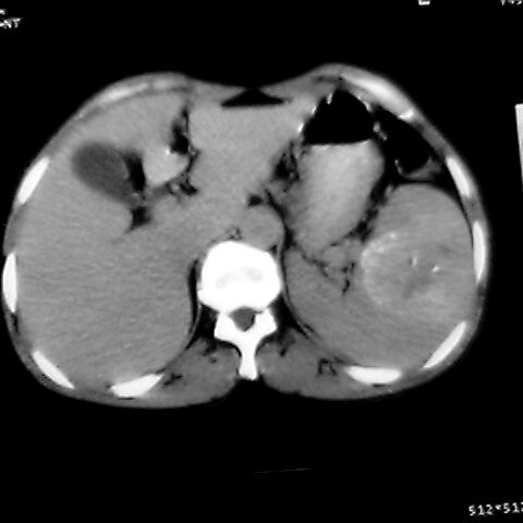
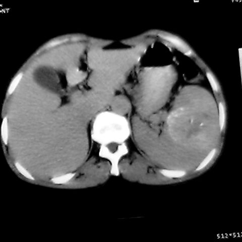
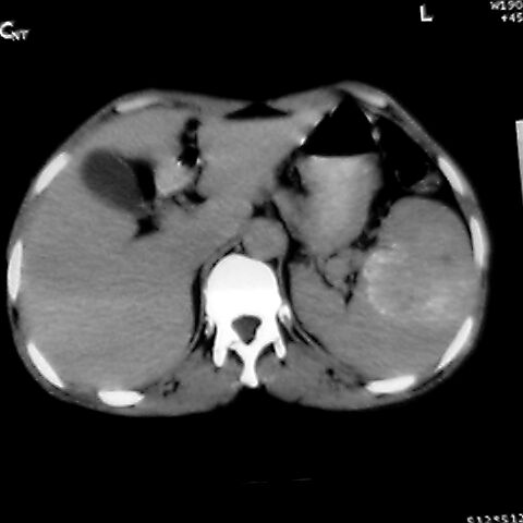
女 48岁 食道癌术前体检发现脾占位。
















































[本贴已被 詹劲松 于 2006-7-26 16:15:40 修改过]
[本贴已被 詹劲松 于 2006-7-26 16:16:50 修改过]
[本贴已被 詹劲松 于 2006-7-26 17:11:06 修改过]
[本贴已被 詹劲松 于 2006-7-26 17:17:29 修改过]
作者: 卜一 时间: 2006-7-27 00:40
脾胀内部巨大低密度肿块,边界清或不清,中心坏死,轻度增强,内见散在钙化,结合食道癌病史多考虑:转移癌.
作者: 医博云天 时间: 2006-7-27 00:43
多考虑不典型血管瘤!
作者: hl0510 时间: 2006-7-27 00:50
脾梗死
作者: qian 时间: 2006-7-27 01:46
应该是脾脏内的血管瘤。
作者: stronger16 时间: 2006-7-27 02:32
血管瘤!
作者: shihai 时间: 2006-7-27 02:33
多考虑不典型血管瘤.
作者: lizhjie 时间: 2006-7-27 02:38
支持血管瘤诊断.
作者: 同 时间: 2006-7-27 02:44
考虑脾脏血管瘤
作者: 蓝天1号 时间: 2006-7-27 02:47
考虑不典型血管瘤!
作者: liuyue 时间: 2006-7-27 03:45
1肝右下叶小囊肿2右肾上极囊肿或错构瘤3脾脏不典型血管瘤可能性大.
作者: xizhong 时间: 2006-7-27 04:28
脾血管瘤
作者: szmdxj01 时间: 2006-7-27 04:38
考虑脾脏血管瘤,中央低密度为血栓形成
作者: LWZ 时间: 2006-7-27 04:54
没见过,不象转移。
作者: 1983 时间: 2006-7-27 05:01
支持血管瘤诊断.
作者: jiangjing 时间: 2006-7-27 05:07
脾脏低密度灶伴钙化,增强化明显,中心见液化坏死灶,强化延时明显。考虑血管瘤。转移瘤待排。
作者: 山野樵夫 时间: 2006-7-27 06:03
支持血管瘤
作者: 1390528 时间: 2006-7-27 06:56
右肾见类圆形低密度影.结合病史.脾及右肾转移性ca可能性大
作者: woaixct 时间: 2006-7-27 15:19
支持脾血管瘤诊断,网内有可借鉴的图片
http://www.radida.com/radinet/read.php?tid=3103
作者: wansheng 时间: 2006-7-27 17:44
转移瘤不可能单发,考虑脾血管瘤。
作者: linyang 时间: 2006-7-29 06:57
1,脾血管瘤。2,右肝,右肾小囊肿。
作者: shibing 时间: 2015-6-16 15:57
多考虑不典型血管瘤.
| 欢迎光临 医影在线 (http://bbs.radida.com/bbs/) |
Powered by Discuz! X3.2 |