
以下是引用jiangjing在2006-7-27 20:15:00的发言:[br]普大型心,目前片上难以确定肺血改变。可考虑 1.扩张型心肌病 2冠心病 3.心包积液。[均伴心功能不全]
以下是引用zhw974247在2006-7-26 21:17:00的发言:[br]普大型心,考虑 1.扩张型心肌病 2.联合瓣膜病 3.心包积液
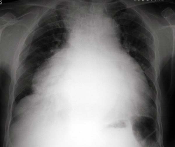
以下是引用shilong在2006-7-26 22:20:00的发言:[br]这是一个典型的烧瓶样的心影,因其心影轮廓失去正常形态,应考虑心包积液
| 欢迎光临 医影在线 (http://bbs.radida.com/bbs/) | Powered by Discuz! X3.2 |