医影在线
标题: CT4212:上腹部疼痛CT会诊 [打印本页]
作者: 牟言科 时间: 2006-7-30 05:01
标题: CT4212:上腹部疼痛CT会诊
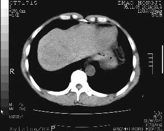
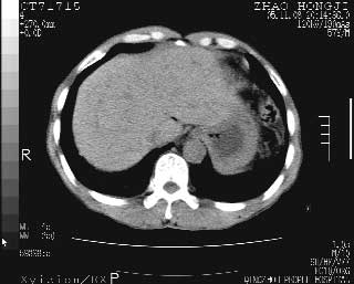
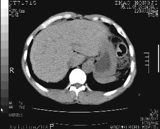
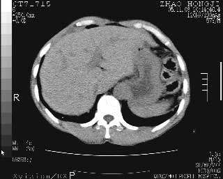
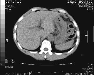
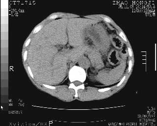
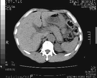
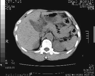
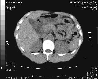
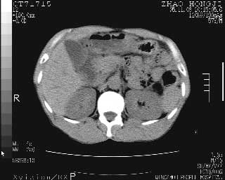
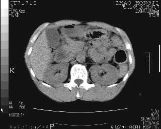
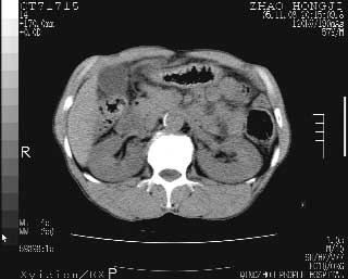
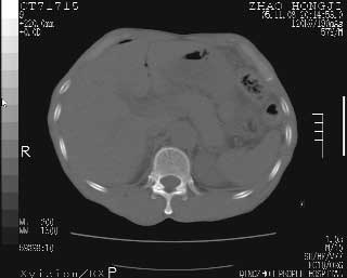
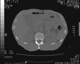
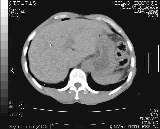
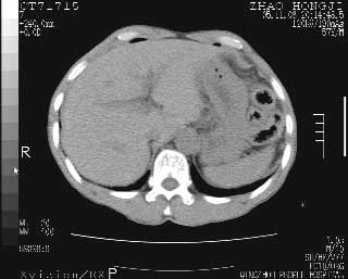
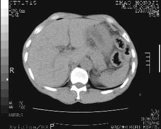
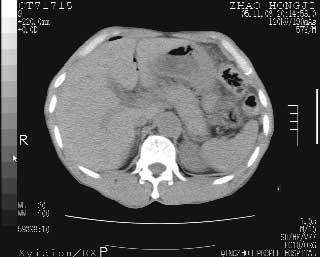
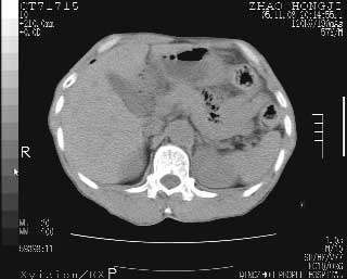
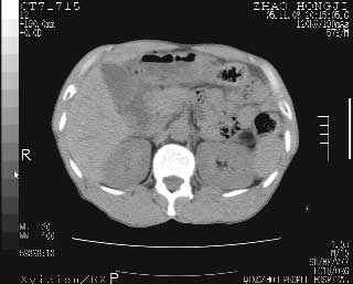
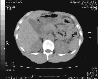
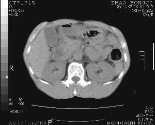
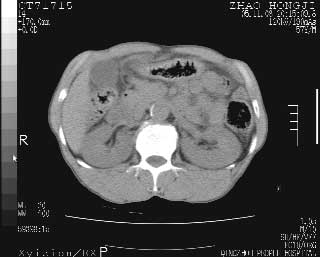
临床资料:男性,57岁,上腹部疼痛并5天,突然加重并延及全腹伴恶心5小时入院。胰淀粉酶化验在正常范围。检查:腹肌紧张,全腹压痛、反跳痛,尤以右上腹部为著。肠鸣音减低。血常规:wbc14.6x10/9, n:11.3x10/9 ,血压:135/90mmhg. 胸部透视:腹部肠腔轻度张气,未见其它异常改变。


































欢迎大家的参入!最终结果三天后公布!
[本贴已被 牟言科 于 2006-8-2 15:15:36 修改过]
作者: 笨小孩 时间: 2006-7-30 05:07
上消化道穿孔
作者: lyfyf 时间: 2006-7-30 05:28
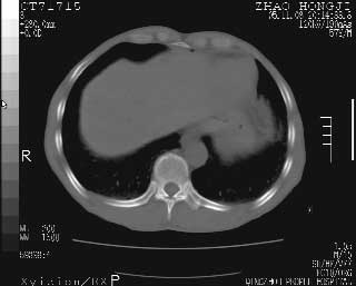
肝右前缘少量积气,其他未见明显异常.考虑上消化道穿孔.
作者: LWZ 时间: 2006-7-30 05:32
小网膜囊积气液,胃壁僵硬。考虑胃穿孔。
作者: chenqiong 时间: 2006-7-30 05:36
肝右叶前上段似乎见一类圆型等密度占位影,建议增强检查;胆囊炎;上消化道穿孔.
作者: 雪狼141 时间: 2006-7-30 05:59
小膜网膜积液,肝缘气腹征,上消化道穿孔。
作者: qian 时间: 2006-7-30 06:02
支持胃肠道穿孔。
作者: guzhongliangddd 时间: 2006-7-30 06:23
标题: 回复:上腹部疼痛ct会诊

胰腺形态规则,胰周脂肪间隙清晰,结合临床可排除急性胰腺炎
从图提示我同意空腔脏器穿孔的诊断,来源肠道{由于病程较短,故没能见到肠系膜聚局的征象}。
作者: 扬仪 时间: 2006-7-30 08:49
标题: 回复:ct4212:上腹部疼痛ct会诊
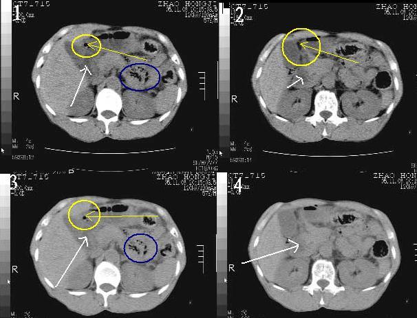
临床资料:男性,57岁,上腹部疼痛并恶心6小时入院,胰淀粉酶化验在正常范围。
意见:12指肠(球部)穿孔可能性大。
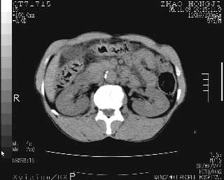
肝缘见少许气体,胰尾部见少许气体包饶(蓝色圈),12指肠上部或球部邻近胆囊周边也可见少许气体影(黄色圈),并忖托出胆囊壁,12指肠远段肠道内未见明显气体(白色箭)。

作者: woaixct 时间: 2006-7-30 13:31
肝脏前缘见少量积气、胰尾部见少许气体包饶,肾前筋膜未见增厚,临床淀粉酶不高,意见:上消化道穿孔。
作者: mouse05210 时间: 2006-7-30 16:27
消化道穿孔
作者: 1983 时间: 2006-7-30 16:32
上消化道穿孔。
作者: liaoqiang 时间: 2006-7-30 17:30
消化道穿孔。12指肠球部周和胰周积气考虑12指肠穿孔可能性大。
作者: yemin92007 时间: 2006-7-30 17:51
支持胃肠道穿孔。
作者: liuyue 时间: 2006-7-30 18:30
支持:消化道穿孔。
作者: hejie 时间: 2006-7-30 23:32
气腹,考虑空腔脏器穿孔.
作者: 余辉 时间: 2006-7-31 03:44
腹腔内脂肪影密度增高,考虑腹膜炎
作者: 拾荒者 时间: 2006-7-31 05:34
标题: [原创]
空腔脏器穿孔ct检查不强于腹部透视吧。
[本贴已被 拾荒者 于 2006-7-30 21:39:09 修改过]
作者: 牟言科 时间: 2006-8-2 17:10
关于本病例的术后诊断:
入院3小时后行剖腹探查术,见腹腔内大量脓性混浊液约1000ml,十二指肠球部溃疡穿孔,溃疡面约2.5x2cm,穿孔直径约0.6cm。胃内容物外益,周围组织炎性水肿明显。行十二指肠穿孔修补术。术后诊断:
1、十二指肠溃疡穿孔
2、弥漫性腹膜炎
对于少量的腹腔游离气体,ct检查较普通透视有绝对的优势,它不仅可以看到肝脏前上缘的气体,而且还能够看到小网膜区的游离气体。从而可以肯定诊断。各位分析战友的很好,感谢大家的参入!
作者: 叶子青青 时间: 2006-8-3 00:17
支持2楼
作者: dianzi 时间: 2006-8-3 01:29
第一次见胰尾周缘少量气体影,从而考虑十二肠穿孔,收益非浅,真是越来越喜欢这个网站
作者: 华佗 时间: 2006-8-3 01:47
肝脏前缘见少量积气、胰尾部见少许气体包饶,肾前筋膜未见增厚,临床淀粉酶不高,意见:上消化道穿孔。
作者: 拾荒者 时间: 2006-8-3 05:36
谢谢牟站长,回过头来再看,收获不少。
作者: z456 时间: 2006-8-3 16:51
上消化道穿孔
作者: realzyc 时间: 2006-8-3 20:03
肝右前缘少量积气,其他未见明显异常.考虑上消化道穿孔.
作者: 小乔 时间: 2006-8-4 16:43
谢谢老师的好病历
作者: xb 时间: 2006-8-4 20:54
长见识了,谢谢
作者: shulongd 时间: 2006-8-5 23:04
支持:上消化道穿孔
作者: 袁张锋 时间: 2006-8-5 23:54
肝右前缘少量积气,其他未见明显异常.考虑上消化道穿孔.
作者: wbs 时间: 2006-8-6 01:31
谢谢啦牟医师提供的病例,
少量气体时透视极有可能看不出来,ct确实有比透视明显的优势,使游离气体无处可藏。
作者: wangfengzhi 时间: 2006-8-7 02:05
长见识了,谢谢!受益匪浅!
作者: zxczxc 时间: 2010-7-12 19:15
膈下积气,消化道穿孔?
作者: zxczxc 时间: 2011-6-8 16:40
右膈下游离气体。
| 欢迎光临 医影在线 (http://bbs.radida.com/bbs/) |
Powered by Discuz! X3.2 |