






























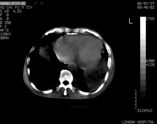
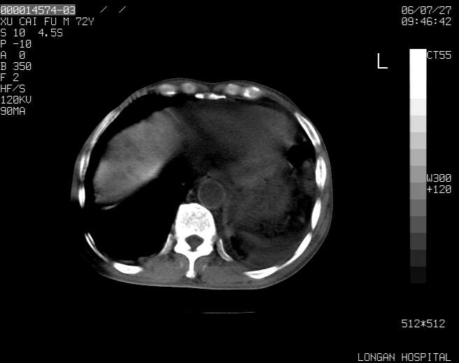
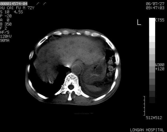
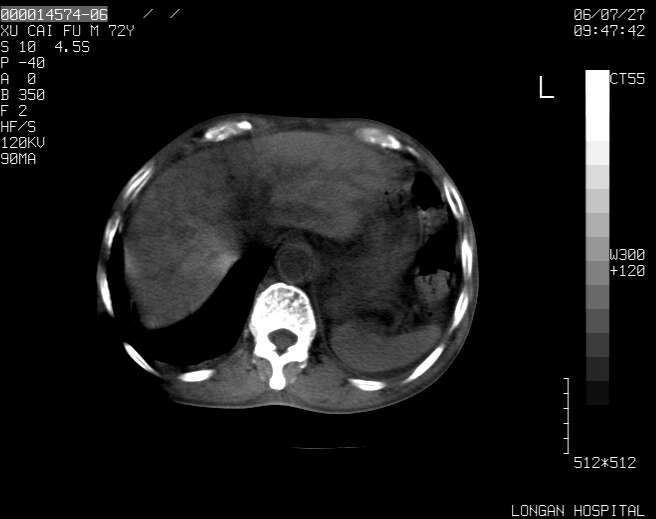
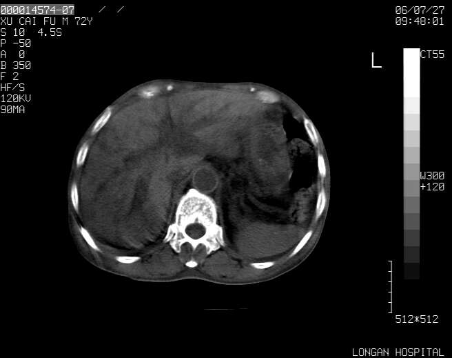
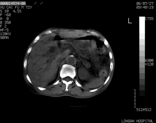
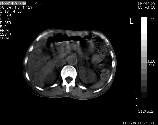
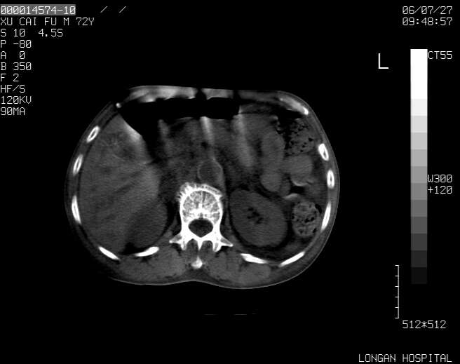
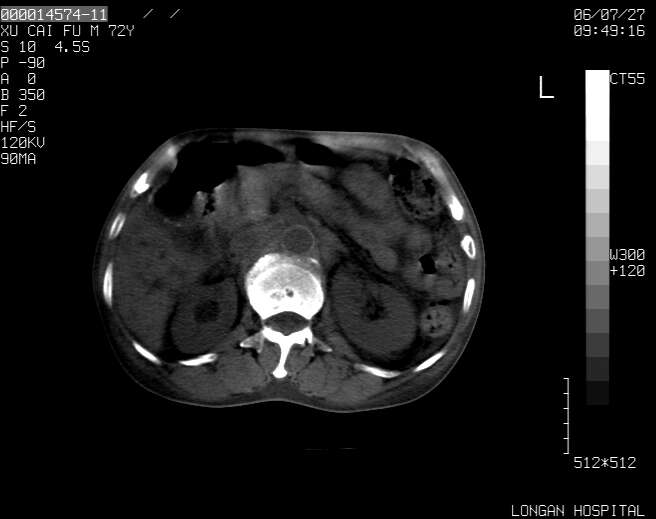
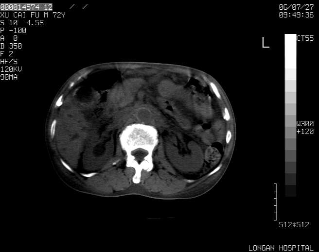
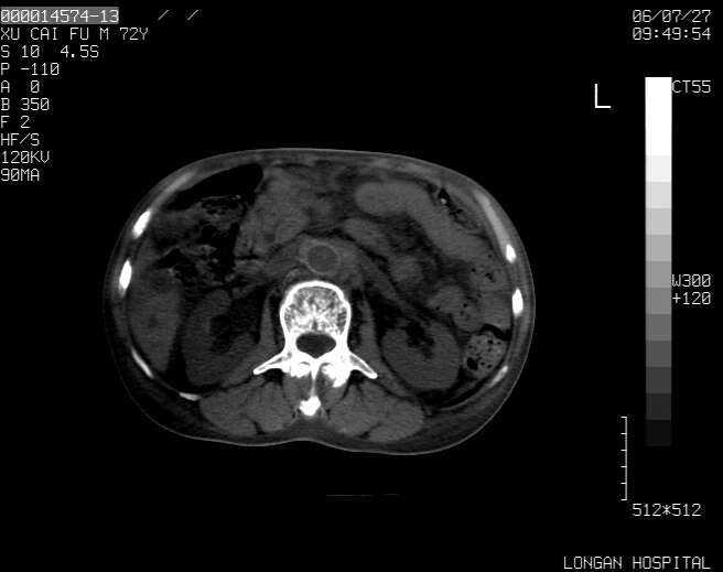
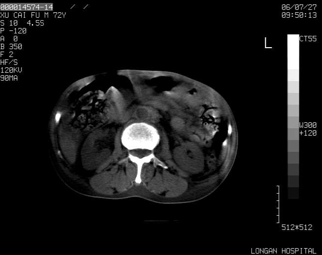
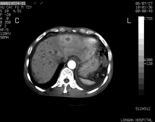
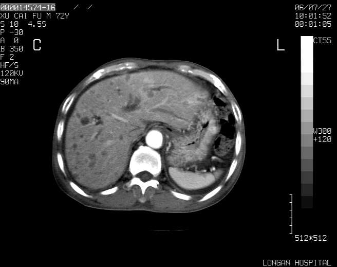
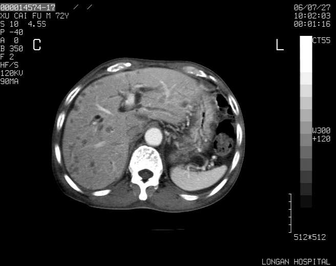
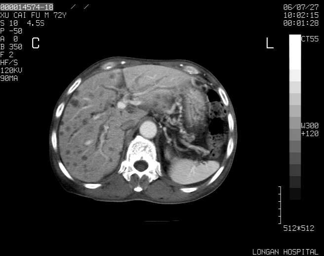
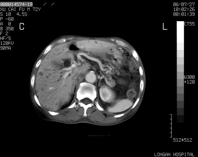
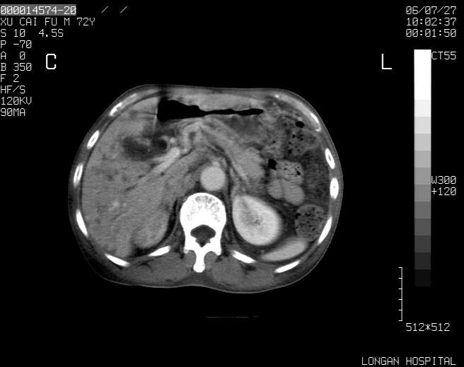
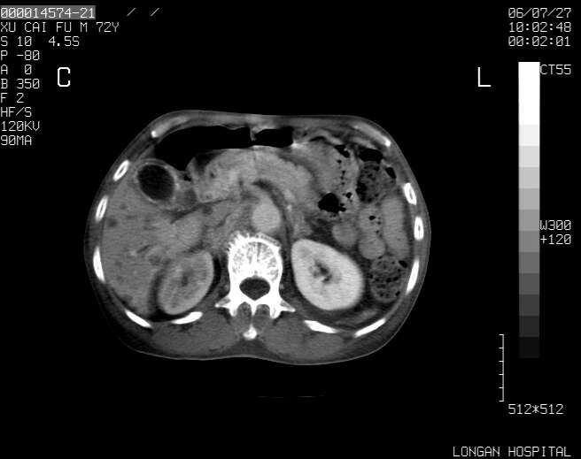
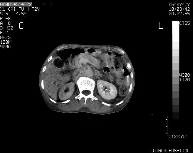
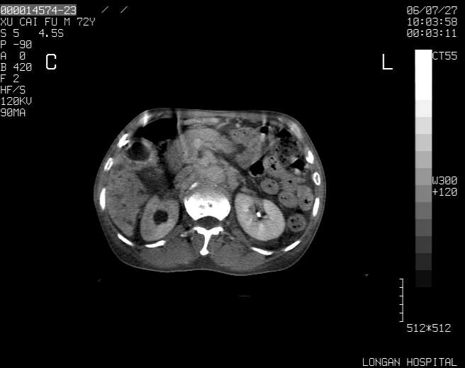
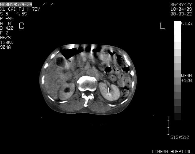
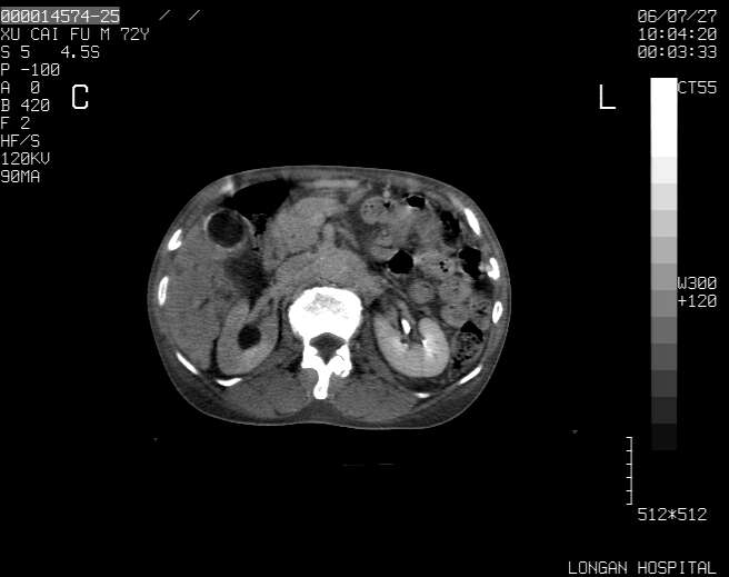
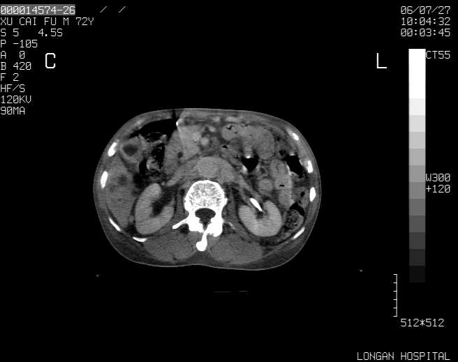
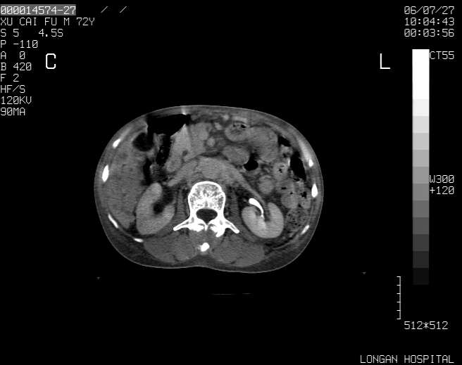
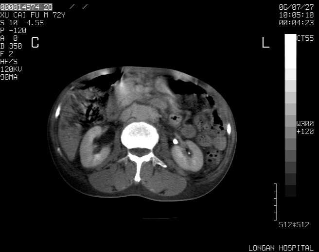
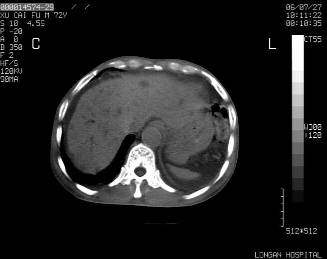
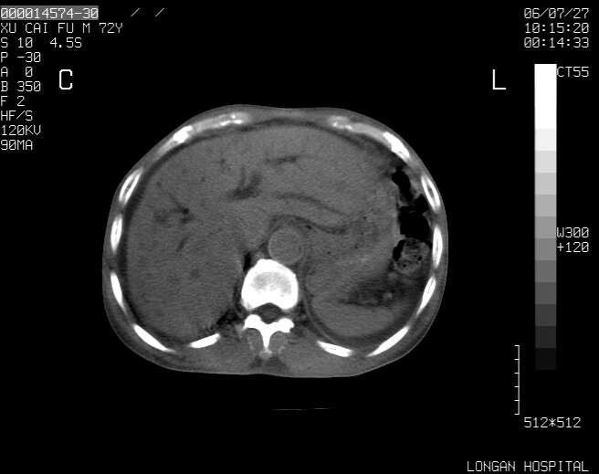
以下是引用winter在2006-7-30 20:14:00的发言:[br]1、考虑胆囊癌伴胆道侵犯并高位胆道梗阻、肝内多发转移、腹膜后淋巴结转移。[br]2、右肾轻度积水。[br]3、老人家72岁了胰腺头体尾部均较饱满,不过未见密度异常及其他异常征象。[br]4、腹水。


以下是引用jiajie在2006-7-31 7:10:00的发言:[br]考虑肝转移瘤,腹膜后淋巴结增大。[br]胃癌不能除外,建议胃镜检查。
| 欢迎光临 医影在线 (http://bbs.radida.com/bbs/) | Powered by Discuz! X3.2 |