医影在线

标题: V0076:[原创]男 64 咳血,咳痰 发热 3天 血象1.2万 [打印本页]

作者: zhuxinli    时间: 2006-7-31 07:10
标题: V0076:[原创]男 64 咳血,咳痰 发热 3天 血象1.2万























[本贴已被 jiajie 于 2006-7-31 6:40:23 修改过]

作者: 卜一    时间: 2006-7-31 17:26
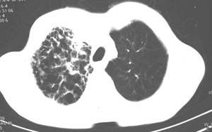
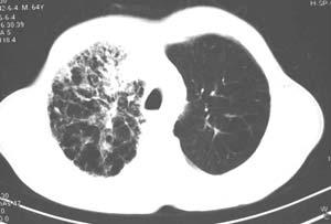
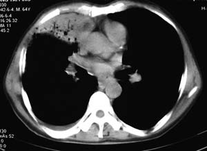
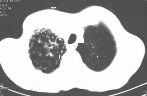
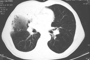
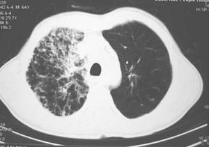
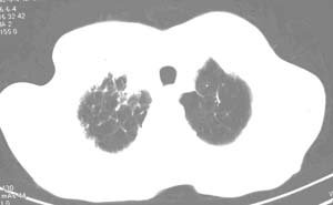
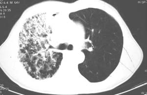
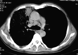
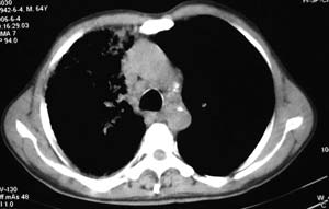
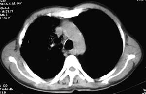
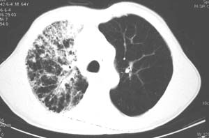
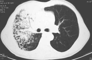
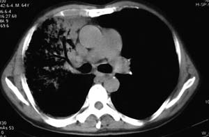
右肺上叶见片状 网格状及索条致密影.其内参杂斑点状小结节,部分融合,密度不均匀,内见含气支气管像,纵隔内见肿大淋巴结,其他肺呈代偿性肺气肿像.结合男 64  咳血,咳痰 发热 3天 血象1.2万,综合考虑:1 慢性炎症伴间质纤维化 肺气肿.2 不除外特发性感染的可能.
作者: xiaoniu    时间: 2006-8-1 05:38
标题: 回复:v0076:[原创]男 64 咳血,咳痰 发热 3天 血象1.2万
右肺上叶大片片状、网格状及索条致密影,前半部密实向后逐渐疏松,其内参杂斑点状小结节,密度不均匀,内见含气支气管像,纵隔内见肿大淋巴结,其他肺呈弥漫性小叶中心性性肺气肿改变,结合男 64  咳血,咳痰,发热3天,血象1.2万。考虑:1 慢性支气管炎、肺气肿合并右上肺感染。2 不除外结核合并感染的可能。
作者: jiangjing    时间: 2006-8-1 05:59
右肺上叶见片状 网格状及索条致密影.其内参杂斑点状小结节,部分融合,密度不均匀,内见含气支气管像,前段有一小片结影,纵隔内见肿大淋巴结,右侧胸腔少量积液。.结合男 64  咳血,咳痰 发热 3天 血象1.2万,综合考虑:2 右上肺感染伴间质纤维化 2 警惕细支气管肺泡癌。3建议结合临床及进一步检查[痰及纤支镜]或治疗后复查
作者: jiajie    时间: 2006-8-2 00:30
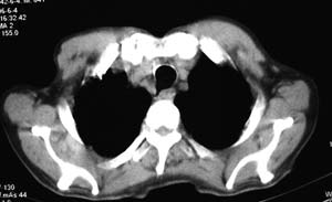
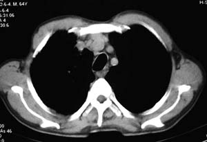
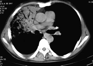
右侧胸廓略小于左侧,右肺上叶大片实变影,近肺门处密度较高,内见支气管气相,周围较淡,呈网格状,余肺野清晰,纵隔内见肿大淋巴结,右侧胸腔少量积液。临床 咳血,咳痰 发热 , 血象1.2万。
考虑大叶性肺炎。
鉴别,细支气管肺泡癌,弥漫性可有病变侵犯一个肺叶,呈炎性实变,密度偏高,可见支气管气相、蜂窝状气腔,与本例影像上不易鉴别,但临床多为咳嗽、咳白色泡沫痰,感染症状轻。
作者: xcc106    时间: 2006-8-3 20:40
病史:男 64  咳血,咳痰 发热 3天 血象1.2万。
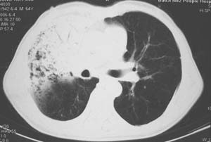
影像表现:肺窗示右肺上中叶均可见小片、条索状、小结状密度增高影,可见支气管充气相,小叶间隔增厚,支气管通畅,余肺未见明显异常。纵隔窗示4r可见小淋巴结融合,无明显肿大,右侧示少量胸腔积液。
诊断:提示右肺上中叶感染性病变,tb可能大。
鉴别:
1、肺泡癌。影像表现类同,但以两下肺叶改变多见,伴有纵隔淋巴结明显肿大。
2、一般炎症。以两下肺叶多见,临床表现类同,胸腔积液不多见。
作者: wxy7406    时间: 2006-8-4 15:30
男 64  咳血,咳痰 发热 3天 血象1.2万;右肺上叶满布片絮状致密灶,其内见含气支气管影,右主支气管狭窄,纵隔内见肿大淋巴结。考虑右肺中央型肺癌伴阻塞性肺炎,建议支气管镜检查。
作者: wawaquan    时间: 2006-8-5 18:41
右侧胸阔塌陷,纵隔右移。右上肺大片状高密度影,沿支气管血管束走行,内见点状钙化;支气管充气征阳性,支气管呈柱状扩张;胸膜下小叶间隔增厚;右侧后胸壁内侧见带状水样密度影;纵隔淋巴结增大。
   考虑:①右上叶陈旧性结核合并感染可能大。②右侧少量胸水。
作者: qjm111    时间: 2006-8-8 07:41
病史:男 64  咳血,咳痰 发热 3天 血象1.2万.
影像学表现:右肺上叶大片状、网格状及索条致密影,前半部密实向后逐渐疏松,其内参杂斑点状小结节,密度不均匀,内见含气支气管像,纵隔内见肿大淋巴结.
综上,以右上肺tb(干酪性肺炎)首先考虑.当然大叶性肺炎不能除外.(血象不是特别高,纵隔内淋巴结肿大,也不甚支持.).如果经积极抗感染治疗,病灶明显好转.更能明确为大叶性肺炎.也不能明确排除肺ca.建议痰培养和纤支镜.
作者: 流星1234    时间: 2006-8-9 07:12
右肺上叶见片状,网格状及索条样致密影,内见支气管气相,纵隔内见肿大淋巴结,同侧胸腔内少量液性密度影,余肺呈肺气肿改变,临床:男,64岁,咳血,咳痰,发热3天,wbc---1.2万
考虑:1)右肺大叶性肺炎2)肺气肿




欢迎光临 医影在线 (http://bbs.radida.com/bbs/) Powered by Discuz! X3.2