医影在线

标题: CT4225:右肺炎症OR结核 [打印本页]

作者: 147258lzg    时间: 2006-7-31 21:15
标题: CT4225:右肺炎症OR结核
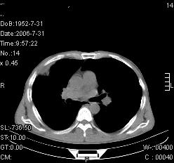
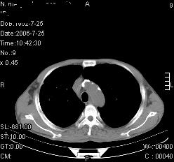
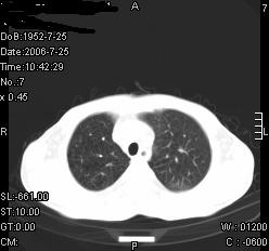
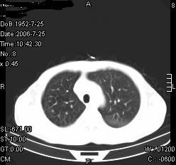
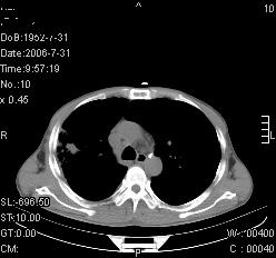
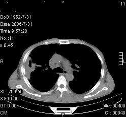
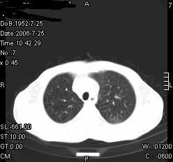
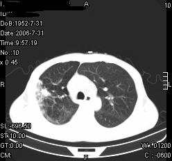
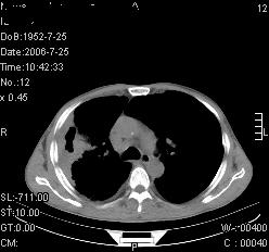
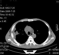
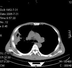
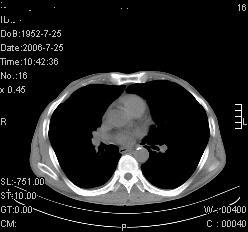
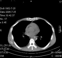
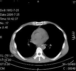
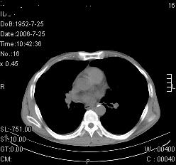
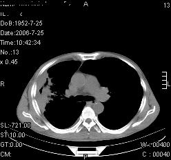
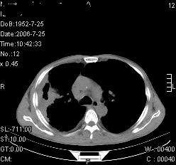
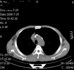
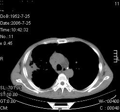
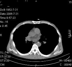
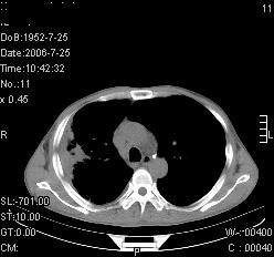
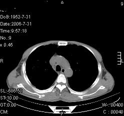
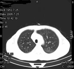
患者,男,54岁,咳嗦,咳痰20天。抗炎治疗2周。现esr76mm/h,目前患者症状明显好转,但发现两次ct片未见明显变化。两次分别做与7.25、7.31。第一次诊断右肺上叶炎症累计胸膜。大家看,从影像上内排除结核吗?

















[本贴已被 jiajie 于 2006-7-31 13:32:32 修改过]

作者: kbzyycm    时间: 2006-7-31 21:22
炎性病变,建议治疗后复查.
作者: 147258lzg    时间: 2006-7-31 21:30
标题: 回复:右肺炎症or结核






作者: 147258lzg    时间: 2006-7-31 21:38
标题: 回复:ct4225:右肺炎症or结核









作者: 147258lzg    时间: 2006-7-31 21:42
标题: 回复:ct4225:右肺炎症or结核
继续发






作者: 147258lzg    时间: 2006-7-31 21:45
标题: 回复:ct4225:右肺炎症or结核
继续发








作者: 147258lzg    时间: 2006-7-31 21:49
标题: 回复:ct4225:右肺炎症or结核








作者: 敏敏    时间: 2006-7-31 21:50
考虑右肺结核可能性大,建议痰结核菌检查。
作者: 147258lzg    时间: 2006-7-31 21:50
以上都是,望各位帮帮忙,看看了
作者: xhywm933100    时间: 2006-7-31 22:05
从病灶的形态和分布,我考虑为炎症可能大,是否考虑有机化的可能.当然如能做结核痰检查或结核菌素试验可排除结核的可能.
作者: 晓杰    时间: 2006-7-31 22:19
考虑右肺结核可能性大,建议痰结核菌检查。
作者: wansheng    时间: 2006-7-31 22:25
考虑结核可能性大。若是炎症抗炎2周后要有所变化!
作者: tzw136    时间: 2006-7-31 22:31
两者都应该考虑.但首先应考虑肺结核.
作者: 守望可可    时间: 2006-7-31 22:42
  结核的可能性非常大,右上肺病变应该考虑干酪性肺炎。理由:
  1.纵隔内多发淋巴结肿大。
  2.esr76mm/h。
  3.虽经抗炎治疗肺窗病灶有所吸收、减小,但纵隔窗病灶形态、密度、范围无明显变化。如果是单纯的大叶性肺炎,“抗炎治疗2周,目前患者症状明显好转”病灶应该基本消散了,至少也处于吸收消散期,密度变淡、范围变小。同时本病例所示其内的密度不均匀,见多发大小不一空洞样影也不符合大叶性肺炎吸收消散期表现。
作者: 卜一    时间: 2006-7-31 23:36
病灶特点:片状 索条 结节混杂影,部分融合,密度不均,广泛累及相应胸膜.
临床治疗;二周未吸收.但症状好转.
多考虑:肺结核.
作者: wansheng    时间: 2006-8-1 01:05
守望可可西里老师分析的太棒了!不错!
作者: 蓝天1号    时间: 2006-8-1 01:34
考虑右肺结核,建议痰结核菌检查。
作者: 中山医    时间: 2006-8-1 03:25
14楼ok
作者: 1983    时间: 2006-8-1 05:20
考虑结核可能性大 建议查结核菌
作者: 拾荒者    时间: 2006-8-1 05:40
该说得都让守望可可西里说了,只有支持的份了。嘿嘿!!!
作者: HAHA215315    时间: 2006-8-1 17:27
结核的可能性大。
作者: gypgyp    时间: 2006-8-2 01:45
考虑右肺结核可能性大,建议痰结核菌检




欢迎光临 医影在线 (http://bbs.radida.com/bbs/) Powered by Discuz! X3.2