












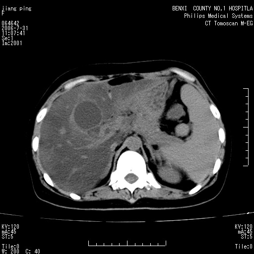
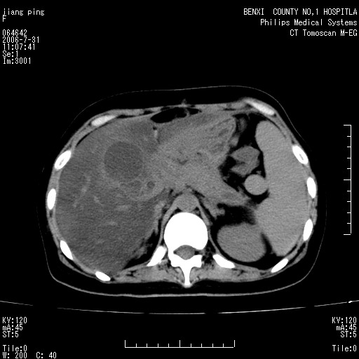
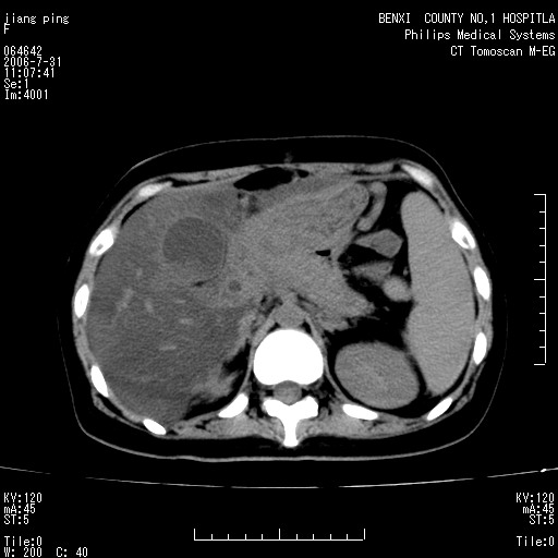
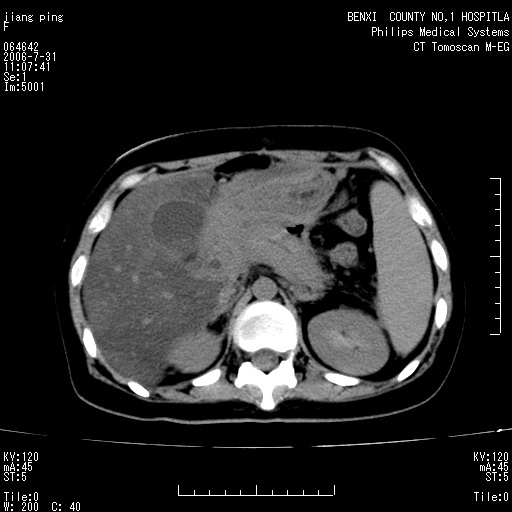
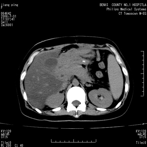
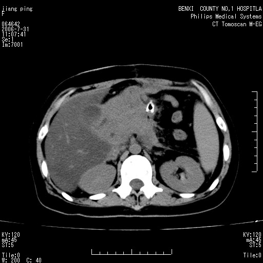
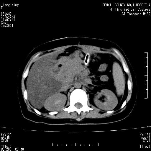
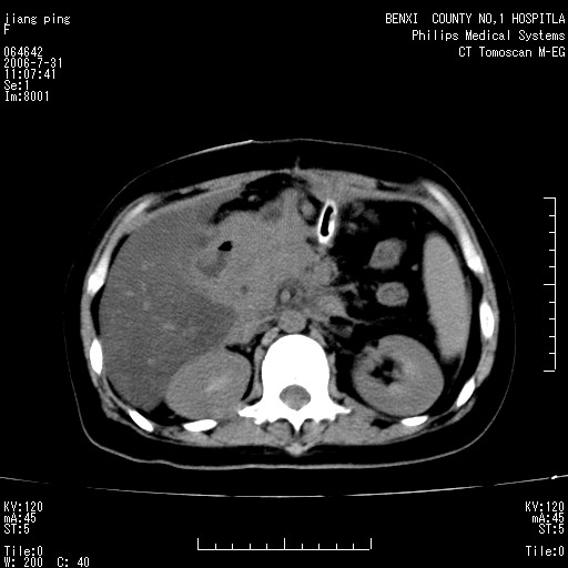
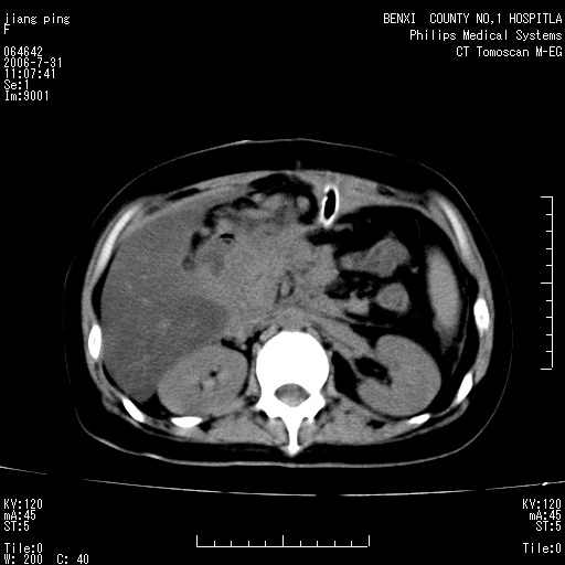
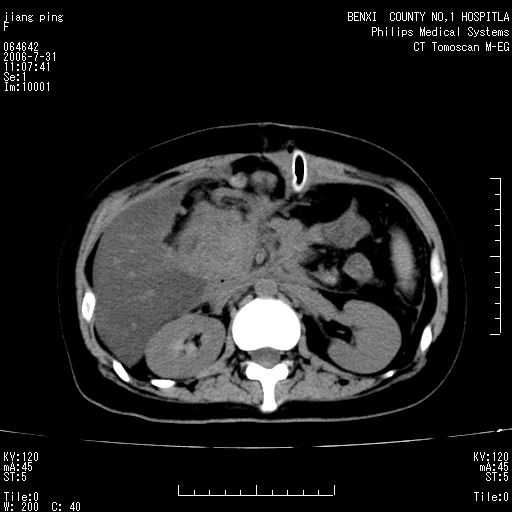
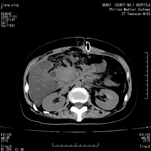
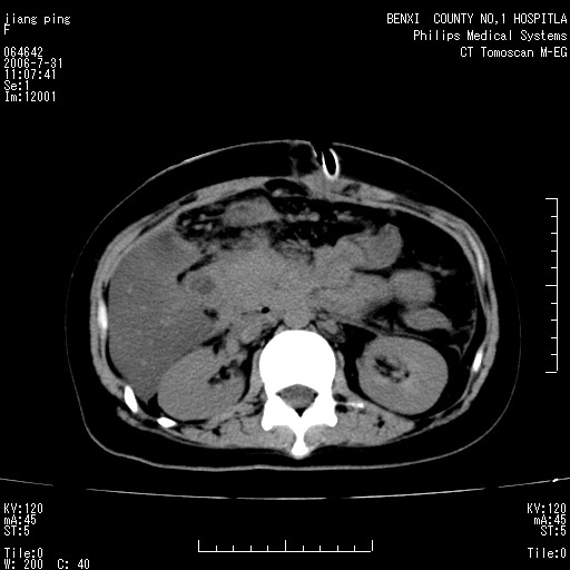
以下是引用晓杰在2006-8-1 9:01:00的发言:[br]支持营养不良导致脂肪肝。[br]胰头增大界限不清,考虑为胰腺炎破坏十二指肠粘膜、肠壁增厚、肠腔狭窄,并与胰头粘连所致
以下是引用jiajie在2006-7-31 20:34:00的发言:[br]支持营养不良导致脂肪肝。[br]胰头增大界限不清,考虑为胰腺炎破坏十二指肠粘膜、肠壁增厚、肠腔狭窄,并与胰头粘连所致。
| 欢迎光临 医影在线 (http://bbs.radida.com/bbs/) | Powered by Discuz! X3.2 |