医影在线

标题: ZX0289请好心人给看下片子,会诊下,谢谢 [打印本页]

作者: nplst    时间: 2006-8-1 20:27
标题: ZX0289请好心人给看下片子,会诊下,谢谢
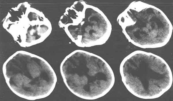
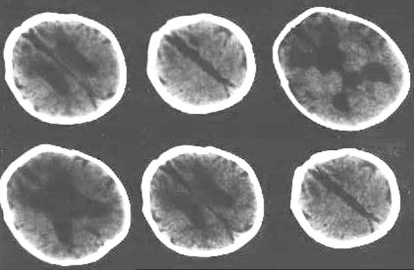
孩子一个月  体重减少700克 家里没钱治疗 只做了ct,医院建议放弃治疗



[本贴已被 吕军浩 于 2006-8-5 14:04:56 修改过]

作者: 赵起    时间: 2006-8-1 22:13
小孩以脑萎缩为主,请问是正常产吗
作者: qian    时间: 2006-8-1 22:39
脑组织广泛密度减低,以白质为明显,其中又以双侧额叶白质呈囊性改变,且与扩大的侧脑室相贯通,考虑:1、严重缺血缺氧性脑病;2、脑先天发育异常。
作者: gypgyp    时间: 2006-8-2 00:25
请上传这提供生产史及病情,诊断才有科学行.凭感觉考虑:脑先天发育异常.   
   严重缺血缺氧性脑病脑室和脑沟不会有如此宽大吧.因为脑缺氧要造成脑水肿,脑室和脑沟应当变小.
作者: wansheng    时间: 2006-8-2 02:28
考虑1)缺血缺养性脑病,2)脑先天性发育异常。
作者: nplst    时间: 2006-8-2 02:47
朋友家庭条件不好,现在每天200毫升血浆,请问治疗价值有多大,以后后遗症有多严重
作者: 同    时间: 2006-8-2 02:55
重度缺氧缺血脑病
作者: nplst    时间: 2006-8-2 03:01
刚刚去世了
作者: 拾荒者    时间: 2006-8-2 03:43
向你的朋友表示慰问,节哀顺便吧,该患儿额叶皮质变薄,脑沟加深,应该是脑先天性发育异常。在现今社会,生存代价太大。
作者: ssmmxx    时间: 2006-8-3 00:05
脑先天性发育异常。
作者: tzw136    时间: 2006-8-5 19:40
是hie吧.有生产窒息史吗?




欢迎光临 医影在线 (http://bbs.radida.com/bbs/) Powered by Discuz! X3.2