医影在线

标题: X0929:还是一张胸片 [打印本页]

作者: zengqiangzq    时间: 2006-8-5 01:59
标题: X0929:还是一张胸片
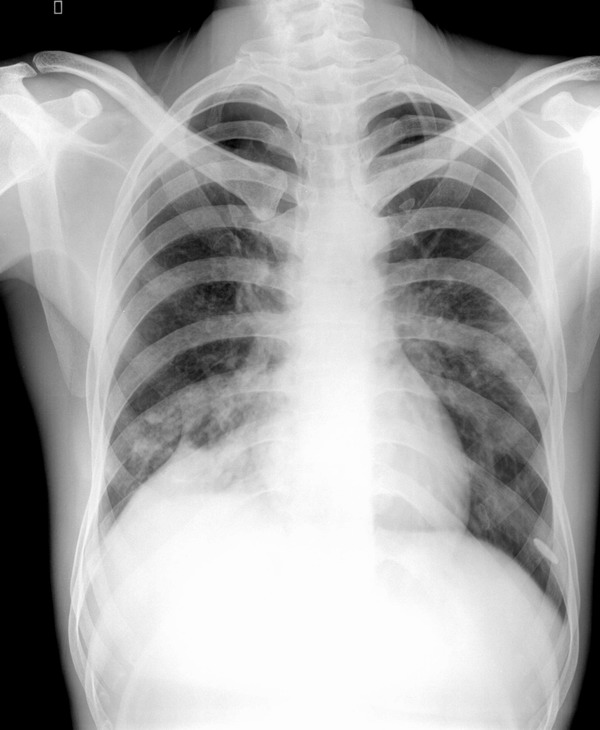
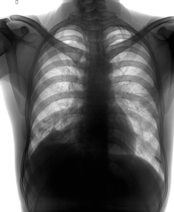
男,34y,发热寒颤月余,脓痰!






[本贴已被 jiajie 于 2006-8-4 18:06:06 修改过]

作者: shilong    时间: 2006-8-5 02:09
右下肺沿支气管的小结结影,还发现粘连性改变,侧位可见后肋隔角消失,因此考虑:支气管肺炎,脓旬,包裹性积液
作者: 李世军    时间: 2006-8-5 03:11
右下肺沿支气管的小结结影,还发现粘连性改变,侧位可见后肋隔角消失,因此考虑:支气管肺炎,脓胸,包裹性积液
作者: 中山医    时间: 2006-8-5 04:01
右下肺炎,并右胸膜 炎。
作者: 1390528    时间: 2006-8-5 05:36
颈肋.右肺下叶后基底段及左肺下叶背段炎变伴右侧胸腔包裹性积液
作者: 路过看看    时间: 2006-8-5 05:51
右下肺炎症和胸膜粘连。
作者: sjing    时间: 2006-8-5 06:05
右下肺炎,右侧胸膜肥厚,右侧胸腔积液,双侧颈肋.
作者: a2468    时间: 2006-8-5 06:27
右肺下叶肺脓肿并胸腔积液
作者: yaozhimin    时间: 2006-8-5 06:37
双侧肺炎,右侧叶间积液。
作者: yzh571    时间: 2006-8-5 07:06
右肺下叶肺脓肿并胸腔积液,胸膜粘连.左肺炎症.颈肋.
作者: HAHA215315    时间: 2006-8-5 17:29
肺脓肿.
作者: liuyue    时间: 2006-8-5 21:12
1 双侧颈肋.  2右下肺炎,3左上叶前段节段性肺炎4右侧叶间积液?
鉴别:肺隔离症;肺结核;中心型肺癌;
作者: ssmmxx    时间: 2006-8-5 21:32
右肺下叶肺脓肿并胸腔积液
作者: jinguoji    时间: 2006-8-5 23:59
标题: 回复:x0929:还是一张胸片
以下是引用yzh571在2006-8-4 23:06:00的发言:[br]右肺下叶肺脓肿并胸腔积液,胸膜粘连.左肺炎症.颈肋.

作者: jiangjing    时间: 2006-8-6 04:31
右肺下叶肺脓肿并胸腔积液,胸膜粘连.左肺炎症.颈肋.
作者: 碧水蓝天    时间: 2006-8-6 05:46
有下肺炎右下肺不张
作者: 碧水蓝天    时间: 2006-8-6 05:50
有下肺炎右下肺不张
作者: zhangkening    时间: 2006-8-8 20:16
双肺感染、右侧胸膜炎
作者: 安康二院    时间: 2006-10-7 03:21
建议排除结核空洞。没有看见具体的液平
作者: 田梅梅    时间: 2006-10-15 06:39
反正安康二院出来的都有点不大正常
作者: Bobytin    时间: 2006-10-15 22:50
右下肺炎,包裹性积液
作者: rrh128    时间: 2006-10-15 23:28
1:右下炎症;2右叶间积液;3两侧第一肋发育不全.
作者: yanwenbin    时间: 2006-10-15 23:49
同意15楼意见
作者: 王立前    时间: 2006-10-18 17:08
右下肺炎症,拌肺底积液
作者: 眼睛    时间: 2006-12-23 20:55
标题: 回复:x0929:还是一张胸片
以下是引用jiangjing在2006-8-5 20:31:00的发言:[br]右肺下叶肺脓肿并胸腔积液,胸膜粘连.左肺炎症.颈肋.  [br]  [br]

作者: 蜂儿    时间: 2006-12-23 21:04
右下肺炎,包裹性积液
作者: yzq622916    时间: 2006-12-24 07:03
我考虑肺脓肿,合并肺炎
作者: yzq622916    时间: 2006-12-24 07:06
肺脓肿
作者: shenyang720614    时间: 2006-12-25 00:07
双肺慢性炎症,右下肺脓肿.
作者: 大洋    时间: 2007-1-6 00:12
右下肺炎,包裹性积液
作者: shibing    时间: 2013-1-8 07:52
右下肺炎,包裹性积液




欢迎光临 医影在线 (http://bbs.radida.com/bbs/) Powered by Discuz! X3.2