医影在线

标题: CT4268:[原创]胸部病变 [打印本页]

作者: zhuxinli    时间: 2006-8-6 09:05
标题: CT4268:[原创]胸部病变
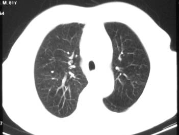
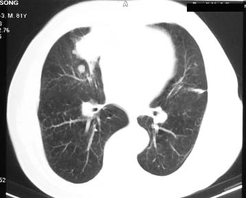
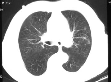
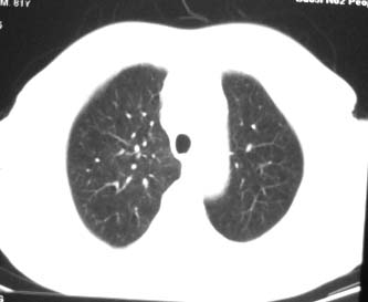
81 男 以头昏入院
























[本贴已被 jiajie 于 2006-8-6 12:12:12 修改过]

作者: 克山    时间: 2006-8-6 16:18
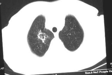
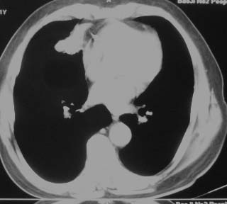
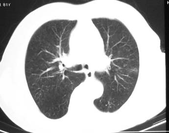
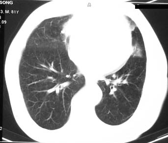
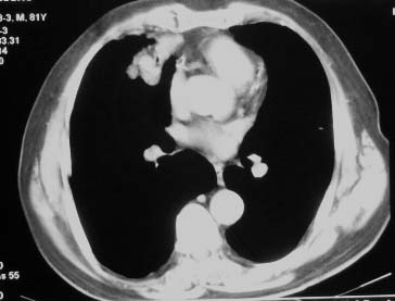
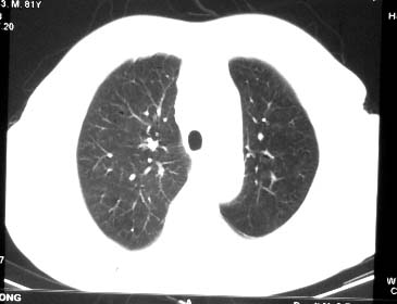
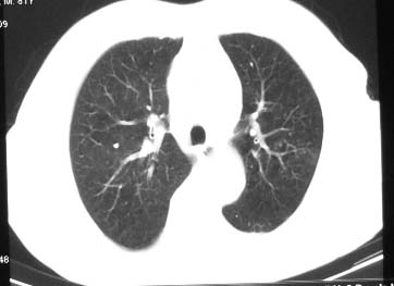
两肺多发异常密度,其中双上肺病变主要为纤维增殖性改变;右中肺内侧段病变密度相对均匀,无恶性特征,周围可见卫星灶和浸润表现,邻近胸膜稍增厚,所见纵隔层面无肿大淋巴结和胸腔积液。提示结核性改变。如果可能建议强化。
作者: liuyue    时间: 2006-8-6 16:39
1左上叶周围型肺癌伴右上叶转移灶,右中叶转移灶可能性大,慢性炎症改变不除外2右上叶尖段陈旧结核灶3左侧胸膜轻度增厚.
作者: wonyunch    时间: 2006-8-6 16:58
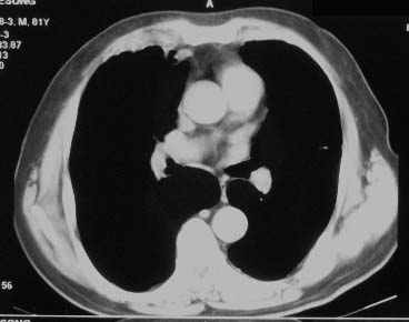
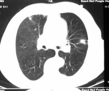
右肺中叶病灶境界基本清晰,肺窗上似见血管伸入,增强后明显强化,考虑动静脉瘘可能吧!
两上肺纤硬病灶,左上肺炎症机化?
作者: 卜一    时间: 2006-8-6 17:32
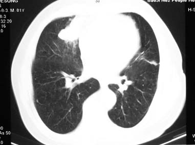
右肺中叶团片影,似多病灶融合而成,密度不均匀,边界清楚,周围见明显的索条及小结节,左肺亦见斑片影,纵隔窗未见肿大淋巴结.多考虑:肺内慢性炎性病变伴纤维化.
作者: lizhjie    时间: 2006-8-6 17:43
考虑结核可能性大.
作者: wangzhanshuang    时间: 2006-8-6 18:10
标题: 回复:[原创]
以下是引用liuyue在2006-8-6 8:39:00的发言:[br]1左上叶周围型肺癌伴右上叶转移灶,右中叶转移灶可能性大,慢性炎症改变不除外2右上叶尖段陈旧结核灶3左侧胸膜轻度增厚.

作者: sjing    时间: 2006-8-6 20:27
一元化考虑结核吧
作者: liaoqiang    时间: 2006-8-6 21:37
考虑结核。
作者: zhangweiqiang    时间: 2006-8-7 00:21
右中动静脉瘤
作者: LWZ    时间: 2006-8-7 01:10
考虑结核
作者: duguo    时间: 2006-8-7 02:23
均为结核病变.
作者: 逸风    时间: 2006-8-7 05:02
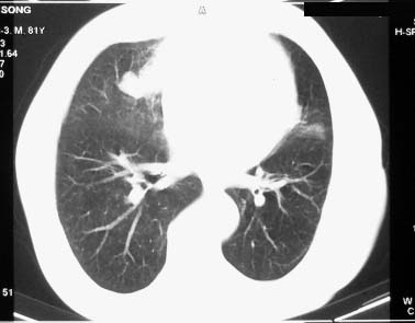
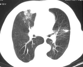
右肺上叶肿块,其远侧段肺组织炎性渗出性改变,局部胸膜粘连,肺门侧边缘光滑锐利,可见结节样病灶;右肺尖纤维索条状影,局部肺纹理纠集,纵隔窗窗宽不合适,病灶内部情况显示不清,未见明显淋巴结肿大及钙化.
考虑:1.右肺上叶周围性肺癌并肺内转移;2.右肺尖陈旧性结核.3.左肺炎性病灶.
作者: gypgyp    时间: 2006-8-7 05:14
两肺多发异常密度,其中双上肺病变主要为纤维增殖性改变;右中肺内侧段病变密度相对均匀,无恶性特征,周围可见卫星灶和浸润表现,邻近胸膜稍增厚,所见纵隔层面无肿大淋巴结和胸腔积液。提示结核性改变.
符合多叶多段多形态的特点.
作者: woaixct    时间: 2006-8-7 06:35
右肺中叶软组织块(挑剔一下纵隔窗窗宽不理想),其周围可见多个类圆形结节,右肺上叶尖段见斑片、索条状致影,左肺小结节。
1.右肺周围型肺癌伴肺内转移;
2.右肺上叶陈旧性结核;
3.左肺炎性结节;
作者: 拾荒者    时间: 2006-8-7 07:30
标题: 回复:ct4268:[原创]胸部病变
右肺中叶软组织块,其周围可见多个类圆形结节,右肺上叶尖段见斑片、索条状致影,左肺小结节,见分叶、毛刺及胸膜凹陷征。1.左肺周围型肺癌伴右肺内转移; 2.右肺上叶陈旧性结核。
作者: yemin92007    时间: 2006-8-7 22:00
老年人,适用多元论,考虑 :1、左肺周围型肺癌伴右肺内转移; 2、右肺上叶陈旧性结核。
作者: shibing    时间: 2015-6-18 09:10
右中动静脉瘤




欢迎光临 医影在线 (http://bbs.radida.com/bbs/) Powered by Discuz! X3.2