医影在线
标题: CT4270:[原创]是否是肝硬化 [打印本页]
作者: zhuxinli 时间: 2006-8-6 09:16
标题: CT4270:[原创]是否是肝硬化
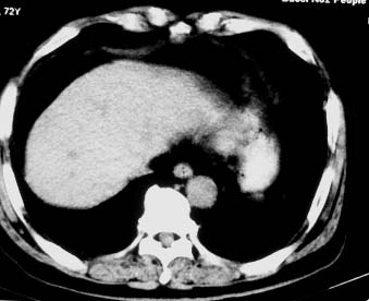
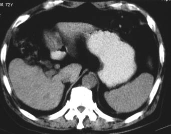
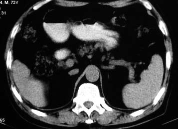
男 56 腹部不舒










[本贴已被 jiajie 于 2006-8-6 12:13:22 修改过]
作者: qian 时间: 2006-8-6 15:11
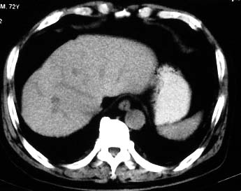
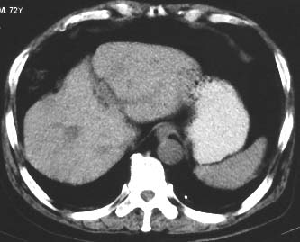
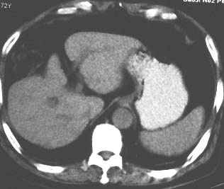
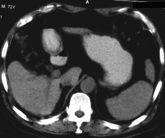
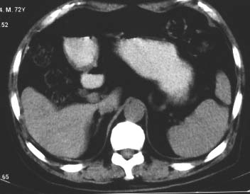
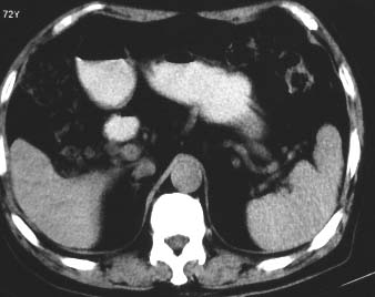
典型肝硬化:1、肝各叶大小的比例失常;2、肝表面明显凹凸不整,边缘变钝;3、肝实质密度一般与正常肝无明显改变;4、肝裂增宽;5、门静脉增宽,脾静脉扩张扭曲;6、脾脏虽然不大,但不是所以肝硬化的脾脏都增大。
作者: fxt2347 时间: 2006-8-6 16:10
符合肝硬化ct表现
作者: liuyue 时间: 2006-8-6 16:11
典型肝硬化:1、肝各叶大小的比例失常;2、肝表面明显凹凸不整,边缘变钝;3、肝实质密度一般与正常肝无明显改变,但肝右叶似可见再生结节影;4、肝裂增宽;5、门静脉增宽,脾静脉扩张扭曲;6、脾脏增大. 脾脏大小的标准有:1脾脏的左右径(大于5个肋单元) 2脾脏的宽度 3脾脏的上下径(超过肝下缘) 请参考.
作者: gzx521th 时间: 2006-8-6 16:32
典型肝硬化:1、肝各叶大小的比例失常;2、肝表面明显凹凸不整,边缘变钝;3、肝实质密度一般与正常肝无明显改变,但肝右叶似可见再生结节影;4、肝裂增宽;5、门静脉增宽,脾静脉扩张扭曲;6、脾脏增大.
作者: HAHA215315 时间: 2006-8-6 16:55
标题: 回复:[原创]是否是肝硬化
以下是引用fxt2347在2006-8-6 8:10:00的发言:[br]符合肝硬化ct表现
作者: wwp 时间: 2006-8-6 16:55
符合肝硬化ct表现.
作者: lizhjie 时间: 2006-8-6 17:30
肝硬化,脾大.
作者: 卜一 时间: 2006-8-6 17:46
典型肝硬化:1、肝各叶大小的比例失常;2、肝表面明显凹凸不整,边缘变钝;3、肝实质密度一般与正常肝无明显改变,但肉眼观察与脾胀密度低或等密度;4、肝裂增宽;5、门静脉增宽,脾静脉扩张扭曲;6、脾脏增大.
作者: wangzhanshuang 时间: 2006-8-6 18:05
符合肝硬化ct表现
作者: hljnianlg 时间: 2006-8-6 18:59
典型肝硬化:1、肝各叶大小的比例失常;2、肝表面明显凹凸不整,边缘变钝;3、肝实质密度一般与正常肝无明显改变,4、肝裂增宽;5、门静脉增宽,脾静脉扩张扭曲;6、脾脏增大.
作者: sjing 时间: 2006-8-6 20:20
影像表现上基本符合肝硬化,但肝缘还算光整,脾也不大<脾下缘低于肝下缘不能作为判断脾大的标准吧>胃底静脉曲张也不明显,还是先结合病史吧,会不会先天就这样呢.
作者: 550S 时间: 2006-8-6 23:48
作为一名ct室的医生,干了六年多了,我想说的是,作任何诊断之前都要问问自已,这可行吗?因为我们影像科是依赖于临床而服务于临床的,任何诊断,结合临床,影像就形像,脱离临床就抽象甚至假像!
回到本例来说,ct并不是诊断肝硬化的金标准或什么首选检查手段;因为从病理的形成来说,肝硬化的影像表现是远落后于临床症状的!!诊断方法很多,一个肝功,一个b超就可以了!
另外,据我的经验,肝的形态存在多样性,单从形态学来诊断,很容易犯错误的,呵呵!
本例病例的诊断,肝脏的表现出现了一些肝硬化的征像,但我觉不能武断的诊断为肝硬化;我会如下诊断:肝脏改变,请结合临床,生化检查,排除肝硬化.
可能有点保守,不对的地方,请同道指正!!!我认为有些疾病的诊断不能出风头,有些疾病的诊断要敢于出风头!!
作者: 守望可可 时间: 2006-8-7 00:13
就本病例而言,楼上的战友可能有点优柔寡断。如果是先天性肝脏形态异常,那么它的密度异常就不符合了吧?仔细看,的确如多位战友所言,肝脏密度不均匀,有再生结节,考虑肝硬化应该不会出错。当然,楼上战友那样写报告是最保险的,我也会这么写,我们在实际工作中都应该学会自我保护。
作者: zhhy6410 时间: 2006-8-7 00:58
肝硬化,脾大。
作者: ruoyuli 时间: 2006-8-7 01:52
标题: 回复:ct4270:[原创]是否是肝硬化
以下是引用550s在2006-8-6 15:48:00的发言:[br]作为一名ct室的医生,干了六年多了,我想说的是,作任何诊断之前都要问问自已,这可行吗?因为我们影像科是依赖于临床而服务于临床的,任何诊断,结合临床,影像就形像,脱离临床就抽象甚至假像![br][br] 回到本例来说,ct并不是诊断肝硬化的金标准或什么首选检查手段;因为从病理的形成来说,肝硬化的影像表现是远落后于临床症状的!!诊断方法很多,一个肝功,一个b超就可以了![br][br] 另外,据我的经验,肝的形态存在多样性,单从形态学来诊断,很容易犯错误的,呵呵![br][br]本例病例的诊断,肝脏的表现出现了一些肝硬化的征像,但我觉不能武断的诊断为肝硬化;我会如下诊断:肝脏改变,请结合临床,生化检查,排除肝硬化.[br][br]可能有点保守,不对的地方,请同道指正!!!我认为有些疾病的诊断不能出风头,有些疾病的诊断要敢于出风头!![br]
肝脏的形态还是变了的.比率不协调.
[本贴已被 ruoyuli 于 2006-8-6 17:56:36 修改过]
作者: duguo 时间: 2006-8-7 02:27
ct表现符合肝硬化,建议增强扫描.
作者: 同 时间: 2006-8-7 04:16
支持肝硬化诊断
作者: wxy7406 时间: 2006-8-7 04:31
影像改变符合肝硬化改变。
作者: 乡医 时间: 2006-8-7 04:35
符合肝硬化ct表现
作者: 徐联春 时间: 2006-8-7 04:50
符合肝硬化ct表现
作者: woaixct 时间: 2006-8-7 06:24
肝硬化表现符合,肝脾ct值有倒置,考虑局灶性肝脂肪浸润
作者: guzhongliangddd 时间: 2006-8-7 07:00
标题: 回复:ct4270:[原创]是否是肝硬化
以下是引用qian在2006-8-6 7:11:00的发言:[br]典型肝硬化:1、肝各叶大小的比例失常;2、肝表面明显凹凸不整,边缘变钝;3、肝实质密度一般与正常肝无明显改变;4、肝裂增宽;5、门静脉增宽,脾静脉扩张扭曲;6、脾脏虽然不大,但不是所以肝硬化的脾脏都增大。
作者: ysxyy 时间: 2006-8-7 07:04
标题: 回复:ct4270:[原创]是否是肝硬化
符合肝硬化ct表现;增强一下吧,这些地方好像不太保险,如下图:

作者: 拾荒者 时间: 2006-8-7 07:06
符合肝硬化ct表现。
作者: 流星1234 时间: 2006-8-7 07:12
支持肝硬化
作者: 550s 时间: 2006-8-11 21:32
本来不想再就这个话题来说的,但事实上又想再说说!
ct诊断肝硬化基本上没有临床意义,只是增加本身诊断的风险!
原因:1,肝硬化病理生理
2,形态学改变在时间上远落后于临床,生化改变!
3,临床医生的水平,代偿期的肝硬化有时会出肝功能正常,而影像上却表现出;这时ct诊断医生就有苦难言了!!
作者: shibing 时间: 2015-6-18 09:09
肝硬化
| 欢迎光临 医影在线 (http://bbs.radida.com/bbs/) |
Powered by Discuz! X3.2 |