医影在线
标题: CT4272:求助!颈部血管瘤破裂? [打印本页]
作者: abzzys 时间: 2006-8-6 18:46
标题: CT4272:求助!颈部血管瘤破裂?
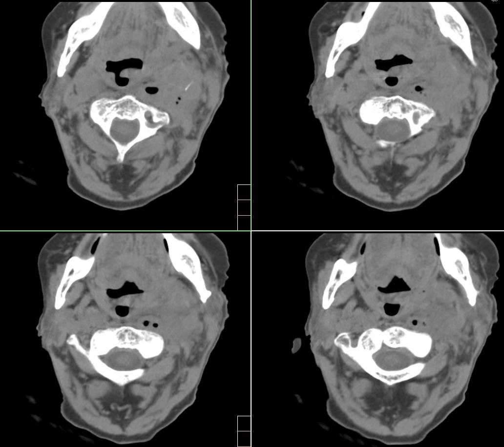
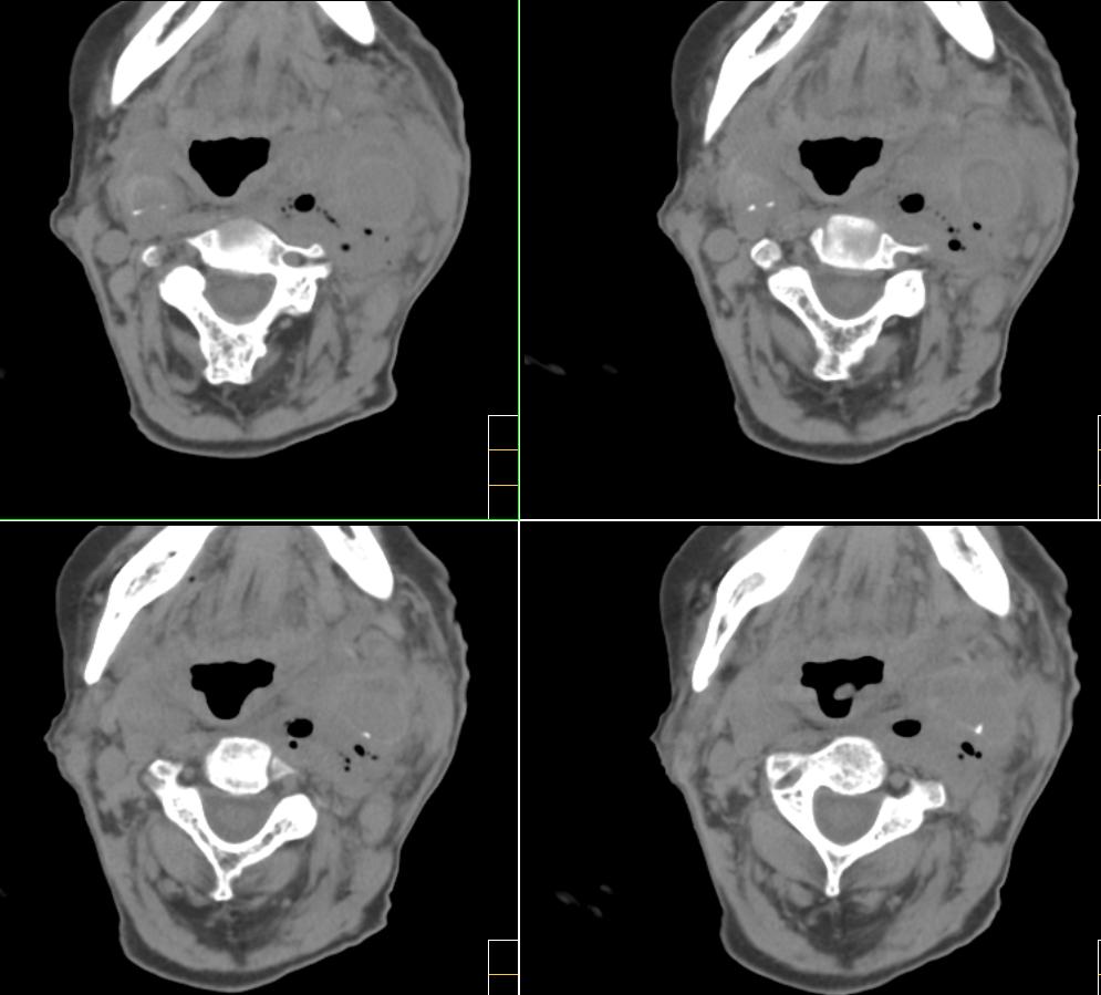
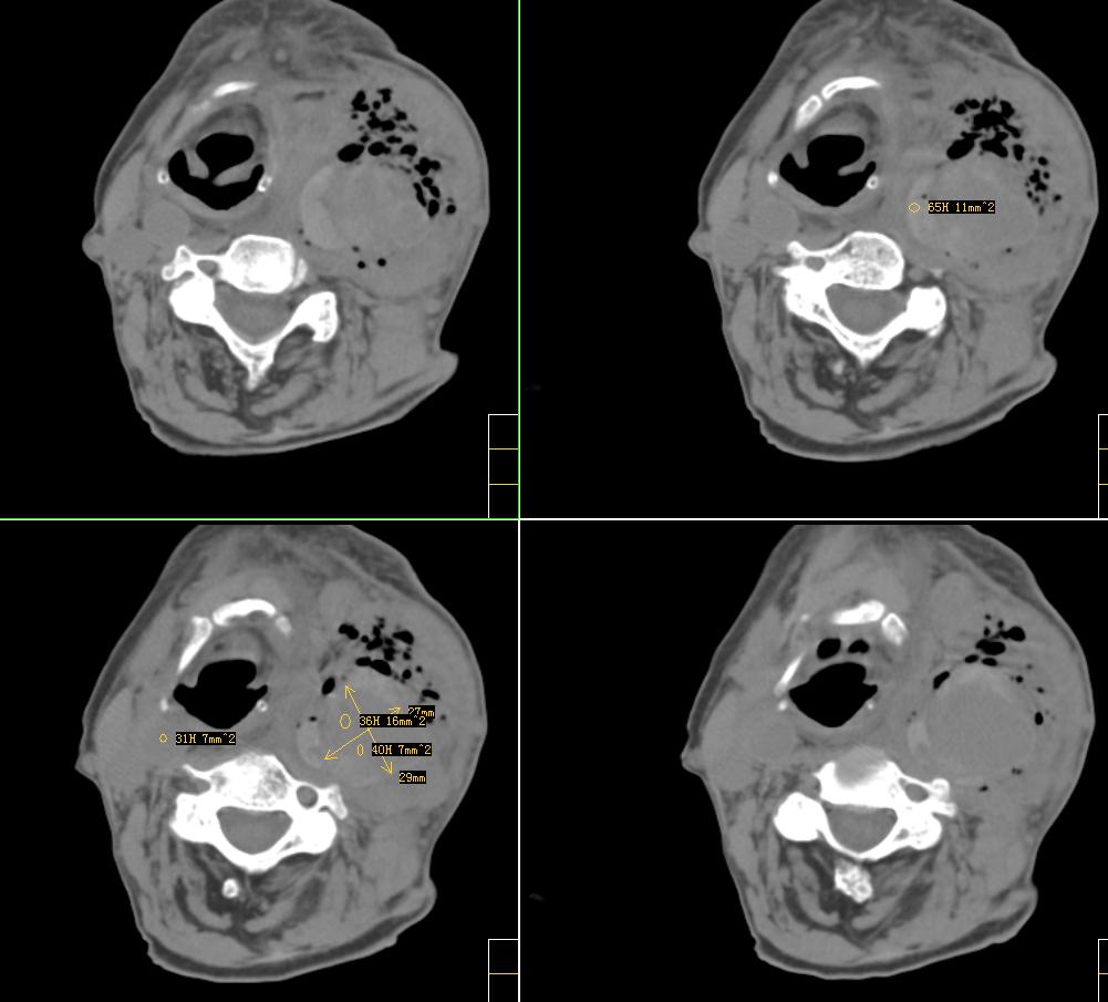
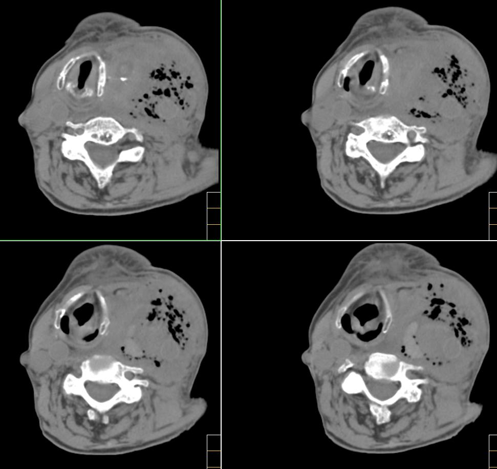
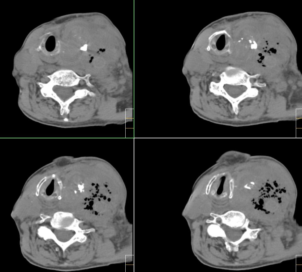
f、72y,左侧颈部发现包块及疼痛1周,彩超提示颈部血管破裂?







[本贴已被 jiajie 于 2006-8-6 12:14:22 修改过]
作者: guandong 时间: 2006-8-6 19:10
考虑血管破裂没什么问题,但颈部这么多积气哪来的?有外伤吗?或颈部脓肿腐蚀血管?
作者: zylcq608 时间: 2006-8-6 19:32
或颈部脓肿侵蚀血管可能性大
作者: pp 时间: 2006-8-6 20:04
标题: 回复:求助!颈部血管瘤破裂?
以下是引用zylcq608在2006-8-6 11:32:00的发言:[br]或颈部脓肿侵蚀血管可能性大[br]
和zylcq608兄看法一样,考虑颈部脓肿侵蚀血管后伴动脉瘤形成的可能性大,左侧甲状腺肿瘤!
做个增强会有很大帮助!
作者: 士兵 时间: 2006-8-6 20:24
同意
作者: 1390528 时间: 2006-8-6 20:39
没见过.请各位老师指教.特别是软组织内积气来源
作者: liaoqiang 时间: 2006-8-6 22:03
考虑1颈部脓肿侵蚀血管致血管瘤形成。2甲状腺左叶占位。
作者: liuyue 时间: 2006-8-6 22:32
考虑颈部脓肿,并侵蚀血管后形成动脉瘤的可能性大;左侧甲状腺肿瘤.
软组织内积气来源为颈部产气菌感染所致.
作者: zhang_zb 时间: 2006-8-6 23:31
做个增强吧
作者: LWZ 时间: 2006-8-7 00:59
应增强。
作者: 550S 时间: 2006-8-7 01:20
来源于食管的病变?
作者: 守望可可 时间: 2006-8-7 01:22
标题: 回复:ct4272:求助!颈部血管瘤破裂?
以下是引用liuyue在2006-8-6 14:32:00的发言:[br]考虑颈部脓肿,并侵蚀血管后形成动脉瘤的可能性大;左侧甲状腺肿瘤.[br]软组织内积气来源为颈部产气菌感染所致.
除上诉考虑外,那么多而且不规则、不定形的钙化还应该想到有颈部畸胎瘤的可能性。顺着思路继续,颈部畸胎瘤继发产气菌感染,并在颈总动脉局部形成小脓肿且浸蚀到血管壁。
作者: yuhe6013981 时间: 2006-8-7 03:48
做个增强吧
作者: 拾荒者 时间: 2006-8-7 04:00
左颈部血管增粗,周围软组织肿胀模糊,内有蜂窝状积气影,左侧甲状腺增大,气管受压右移,气管软骨环未受侵。结合病史较短考虑:左颈部脓肿破裂并血管瘤形成,左甲状腺瘤。
作者: 同 时间: 2006-8-7 04:23
标题: 回复:ct4272:求助!颈部血管瘤破裂?
以下是引用liuyue在2006-8-6 14:32:00的发言:[br]考虑颈部脓肿,并侵蚀血管后形成动脉瘤的可能性大;左侧甲状腺肿瘤.[br]软组织内积气来源为颈部产气菌感染所致.
作者: 逸风 时间: 2006-8-7 05:22
标题: 回复:ct4272:求助!颈部血管瘤破裂?

f、72y,左侧颈部发现包块及疼痛1周,彩超提示颈部血管破裂?
结合病史考虑:左颈部脓肿.建议增强扫描.
作者: gypgyp 时间: 2006-8-7 05:34
完全同意16楼意见!!!
左颈部脓肿.颈部血管破裂,建议增强扫描.
作者: abzzys 时间: 2006-8-7 19:23
标题: 回复“颈动脉血管瘤破裂?”
很遗憾,因患者高龄,高血压,肺心病、心衰,身体虚弱,未能进一步做增强扫描,临床上穿刺为动脉血,考虑颈动脉血管破裂(我觉得气体影不好解释),家属放弃治疗出院。[emb10]
[本贴已被 abzzys 于 2006-8-7 11:26:40 修改过]
作者: jiajie 时间: 2006-8-8 00:40
考虑左侧甲状腺癌破坏气管,并颈部积气、淋巴结肿大。
作者: shibing 时间: 2015-6-18 09:08
增强。
| 欢迎光临 医影在线 (http://bbs.radida.com/bbs/) |
Powered by Discuz! X3.2 |