医影在线
标题: CT4273:腹部CT请各位战友讨论,患者下午做手术。 [打印本页]
作者: nhrmyy 时间: 2006-8-6 20:31
标题: CT4273:腹部CT请各位战友讨论,患者下午做手术。
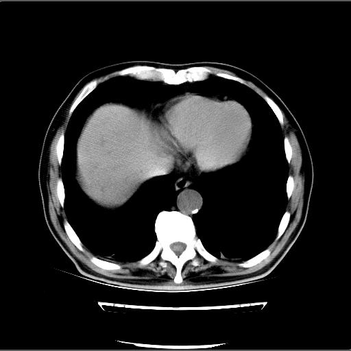
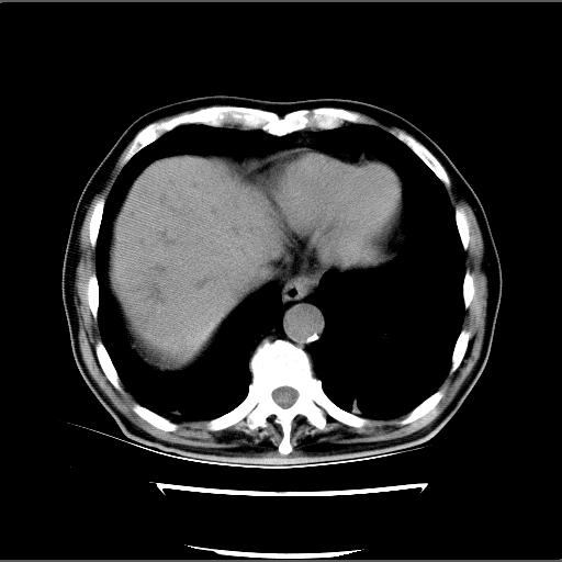
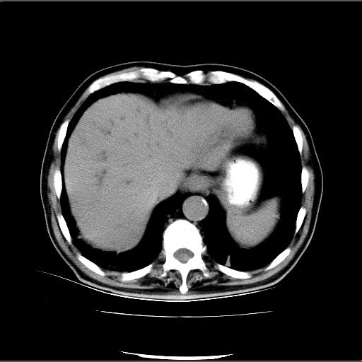
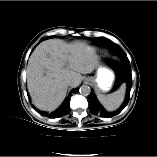
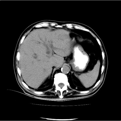
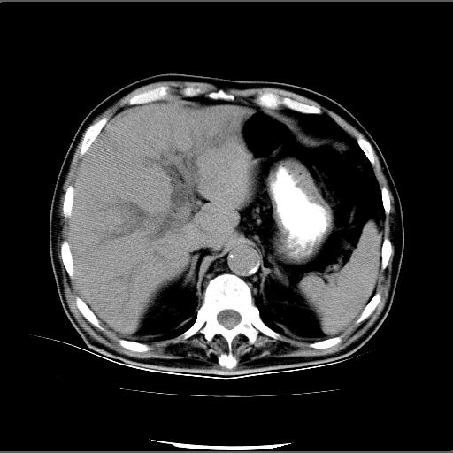
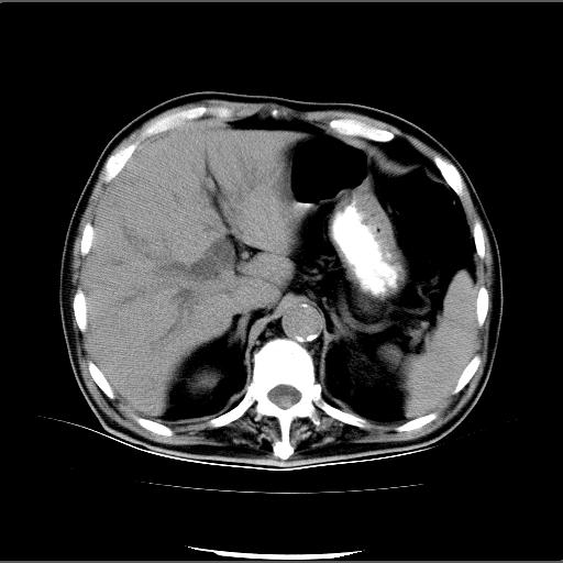
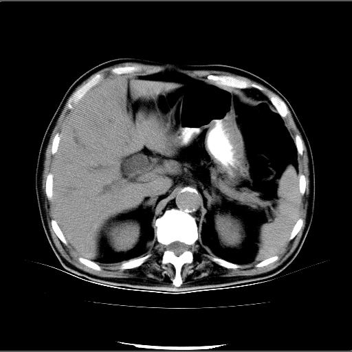
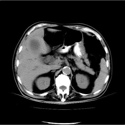
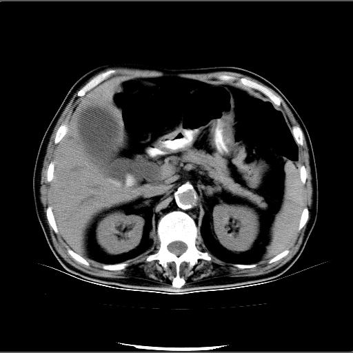
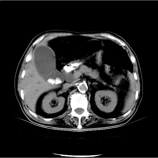
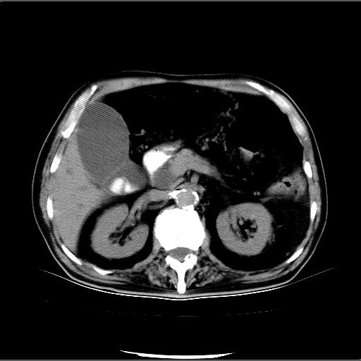
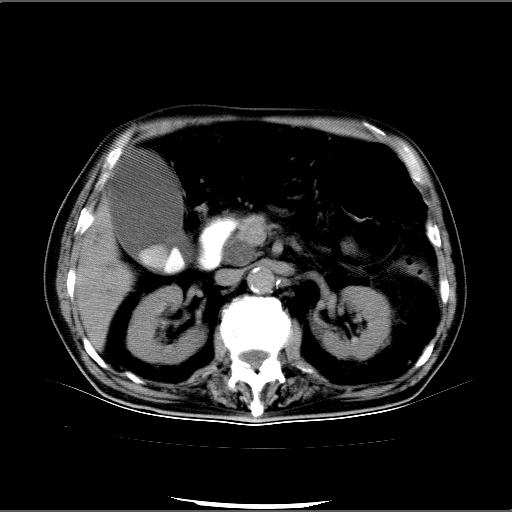
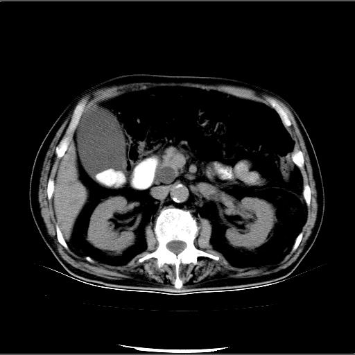
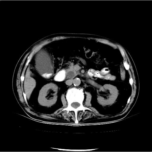
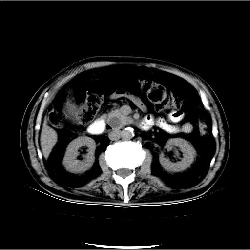
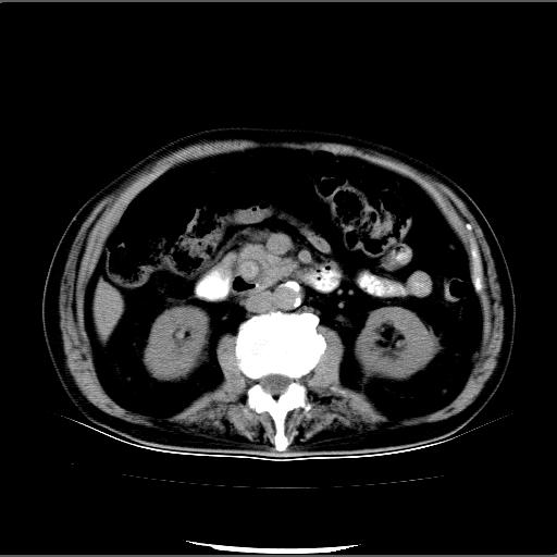
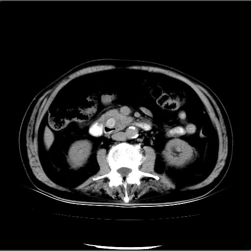
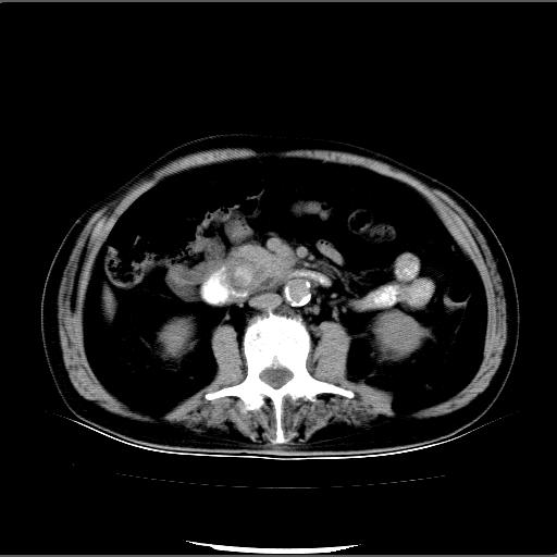
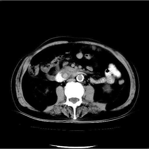
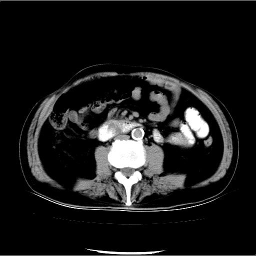
患者男82岁,黄染,发热10天,无腹痛。





















[本贴已被 jiajie 于 2006-8-6 14:09:30 修改过]
作者: 士兵 时间: 2006-8-6 21:26
胆囊结石,胆总管结右
作者: wangzhanshuang 时间: 2006-8-6 21:46
胆囊结石,胆总管结右
作者: liuyue 时间: 2006-8-6 21:54
1胆总管下端结石伴肝内外胆管扩张;2胆囊颈部结石伴胆囊积液
作者: liaoqiang 时间: 2006-8-6 21:56
胆囊结石,胆总管下段结石。
作者: yrj3222585 时间: 2006-8-6 22:17
胆囊多发结石,胆囊积液;胆总管中下段结石,中上段扩张。
作者: qian 时间: 2006-8-6 22:35
很典型,谢谢楼主!
作者: zhang_zb 时间: 2006-8-6 22:54
东芝ct图片很好,诊断明确
作者: 550S 时间: 2006-8-6 23:03
胆总管下段结石伴胆道系统扩张;胆囊炎伴胆囊结石.
有时胆总管下段结石的密度并不是均匀的高密度,而是以高密度为主的伴中心等密度的混合物,这与胆道结石的多样性有关,少数时候诊断困难时应结合临床病史,症状等,还有增强扫描都可以帮助明确诊断!!常与胆道蛔虫伴钙化鉴别!
顺便说说临床怀疑胆石症的病人ct检查前的肠道准备最好不要喝阳性对比剂!可以给予阴性对比剂,如水.这样可以避免干扰!
作者: 我爱影像 时间: 2006-8-6 23:09
胆囊结石,胆总管下段结石。
作者: mzh123 时间: 2006-8-6 23:48
标题: 回复:ct4273:腹部ct请各位战友讨论,患者下午做手术。
以下是引用我爱影像在2006-8-6 15:09:00的发言:[br]胆囊结石,胆总管下段结石。
支持,图像很清晰
作者: 阿黑 时间: 2006-8-7 00:05
胆总管下端结石伴肝内外胆管轻度扩张;胆囊结石伴胆囊积液
作者: songq179 时间: 2006-8-7 00:40
1、胆总管壶腹部结石并胆总管、胆囊及肝内胆管扩张。2、胆囊多发结石。3、两下胸膜局限性增厚。4、胃体部大弯侧胃壁稍厚,建议:多量饮水后增强ct扫描除外占位性病变。
作者: zhhy6410 时间: 2006-8-7 00:41
胆囊结石、胆总管结石并胆管扩张
作者: ILIKECT 时间: 2006-8-7 03:19
very good
作者: 乡医 时间: 2006-8-7 03:43
胆总管下端结石伴肝内外胆管轻度扩张;胆囊结石伴胆囊积液
作者: 430文华 时间: 2006-8-7 03:46
胆囊多发结石,胆囊积液;胆总管中下段结石,中上段扩张,肝内胆管扩张.
作者: kangkang0511 时间: 2006-8-7 03:47
很典型了,胆总管下段结石,并肝内外胆管扩张;
胆囊内结石,并胆囊积液。
谢谢!
作者: fxt2347 时间: 2006-8-7 04:19
胆总管下端结石伴肝内外胆管扩张;胆囊颈部结石伴胆囊炎
作者: 同 时间: 2006-8-7 04:26
胆囊结石及胆总管结石
作者: 501959462 时间: 2006-8-7 04:26
胆囊多发结石,胆囊积液;胆总管中下段结石,中上段扩张。
作者: stronger16 时间: 2006-8-7 04:27
胆总管下端结石伴肝内外胆管扩张;2胆囊颈部结石伴胆囊积液
作者: chenqiong 时间: 2006-8-7 04:44
十二指肠乳头旁憩室伴胆总管下段结石,胆囊结石
作者: 逸风 时间: 2006-8-7 06:07
标题: 回复:ct4273:腹部ct请各位战友讨论,患者下午做手术。
以下是引用qian在2006-8-6 14:35:00的发言:[br]很典型,谢谢楼主!
作者: 拾荒者 时间: 2006-8-7 06:46
胆囊结石、胆总管下端结石,胆囊积液扩大。另外胃壁增厚胃腔缩小,应进一步检查排除皮革胃。
作者: guzhongliangddd 时间: 2006-8-7 06:59
标题: 回复:ct4273:腹部ct请各位战友讨论,患者下午做手术。
以下是引用550s在2006-8-6 15:03:00的发言:[br]胆总管下段结石伴胆道系统扩张;胆囊炎伴胆囊结石.[br]有时胆总管下段结石的密度并不是均匀的高密度,而是以高密度为主的伴中心等密度的混合物,这与胆道结石的多样性有关,少数时候诊断困难时应结合临床病史,症状等,还有增强扫描都可以帮助明确诊断!!常与胆道蛔虫伴钙化鉴别![br][br][br]顺便说说临床怀疑胆石症的病人ct检查前的肠道准备最好不要喝阳性对比剂!可以给予阴性对比剂,如水.这样可以避免干扰!
作者: 左捌子 时间: 2006-8-7 07:11
胆囊结石,胆总管结石
作者: ysxyy 时间: 2006-8-7 07:25
真漂亮,可以作教学片,谢谢提供这么好的图片;
作者: SYFSZCW 时间: 2006-8-7 14:23
教科书式的病例!头像效果很好!
作者: 一点红 时间: 2006-8-7 16:37
胆囊结石胆囊炎伴胆管系统扩张
作者: HAHA215315 时间: 2006-8-7 16:46
标题: 回复:ct4273:腹部ct请各位战友讨论,患者下午做手术。
以下是引用liuyue在2006-8-6 13:54:00的发言:[br]1胆总管下端结石伴肝内外胆管扩张;2胆囊颈部结石伴胆囊积液
作者: sjing 时间: 2006-8-7 17:56
胆囊反折,胆囊结石,胆囊炎,胆总管结石,肝内胆管扩张.
作者: sjing 时间: 2006-8-7 18:08
标题: 回复:ct4273:腹部ct请各位战友讨论,患者下午做手术。
十二指肠乳头旁息室?能祥解吗?谢!
作者: lyfyf 时间: 2006-8-7 18:43
典型
作者: 卜一 时间: 2006-8-7 18:49
胆囊结石伴胆囊炎,胆总管结右,肝内胆管扩张。
作者: yemin92007 时间: 2006-8-7 22:02
胆总管下段结石伴胆道系统扩张;胆囊炎伴胆囊结石。
作者: nhrmyy 时间: 2006-8-8 16:26
标题: 病例有结果了
此病例有结果了:患者术后为:胆总管下段结石伴胆道系统扩张;胆囊炎伴胆囊结石。
各位战友分析的都很正确,是一个典型的病例。
[本贴已被 nhrmyy 于 2006-8-8 8:35:50 修改过]
作者: jone-baby 时间: 2006-8-8 18:31
胆囊结石,胆囊炎,胆总管下段结石.
作者: pj6789 时间: 2006-8-8 23:13
典型
作者: shibing 时间: 2015-6-18 09:08
胆囊结石,胆总管下段结石。
| 欢迎光临 医影在线 (http://bbs.radida.com/bbs/) |
Powered by Discuz! X3.2 |