医影在线

标题: CT4274:[原创]头部 [打印本页]

作者: jiajie    时间: 2006-8-7 03:01
标题: CT4274:[原创]头部
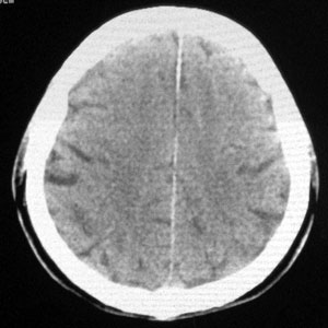
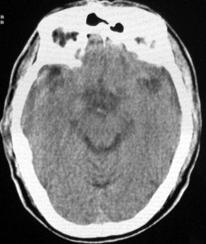
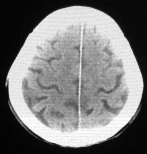
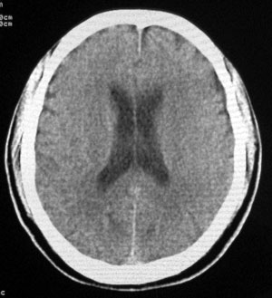
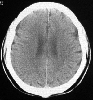
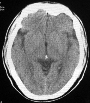
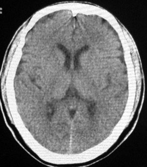
男性,65岁,头疼。 看看这大脑镰,ct值约83hu .







作者: ILIKECT    时间: 2006-8-7 03:17
no problem
作者: kangkang0511    时间: 2006-8-7 03:45
大脑镰密度高只是一个方面,如果两侧蛛网膜下腔密度及宽度无改变,则无异常。临床可除外蛛血。
作者: liuyue    时间: 2006-8-7 03:59
楼主的意思是让我们看大脑镰串珠样钙化,虽然ct值83hu ,也应该是钙化.(循环渐进).
作者: mzh123    时间: 2006-8-7 04:05
没什么临床意义吧
作者: stronger16    时间: 2006-8-7 04:08
no问题
作者: 乡医    时间: 2006-8-7 04:09
男性,65岁,头疼。 看看这大脑镰,ct值约83hu .考虑蛛血,应该结合临床
作者: drzhang8888    时间: 2006-8-7 04:14
no problem
作者: 同    时间: 2006-8-7 04:29
感觉应该是生理性钙化
作者: 江尾海头    时间: 2006-8-7 04:52
应该没问题
作者: 叶盟    时间: 2006-8-7 05:45
有什么问题?
作者: gypgyp    时间: 2006-8-7 05:54
没问题应该是钙化
作者: guzhongliangddd    时间: 2006-8-7 06:01
应该没有问题.
作者: 阿黑    时间: 2006-8-7 06:16
是生理性钙化
作者: 拾荒者    时间: 2006-8-7 06:32
头痛与大脑镰钙化应该关系不大。
作者: ysxyy    时间: 2006-8-7 06:44
有什么问题吗?看不出来。
作者: zj    时间: 2006-8-7 06:57
没什么问题
作者: SYFSZCW    时间: 2006-8-7 14:21
没有问题的!老年人!头痛的原因很多!大脑镰的钙化这样年龄的病人可以不提示!
作者: HAHA215315    时间: 2006-8-7 16:52
正常钙化的可能性大,结合临床。
作者: sjing    时间: 2006-8-7 17:57
大脑镰钙化,应该没有疑问吧
作者: 卜一    时间: 2006-8-7 18:45
生理性钙化
作者: wangzhanshuang    时间: 2006-8-7 19:04
no problem
作者: shibing    时间: 2015-6-18 09:08
生理性钙化




欢迎光临 医影在线 (http://bbs.radida.com/bbs/) Powered by Discuz! X3.2