医影在线
标题: CT4275:[讨论]头颅会诊 [打印本页]
作者: zmyoo8 时间: 2006-8-7 03:18
标题: CT4275:[讨论]头颅会诊
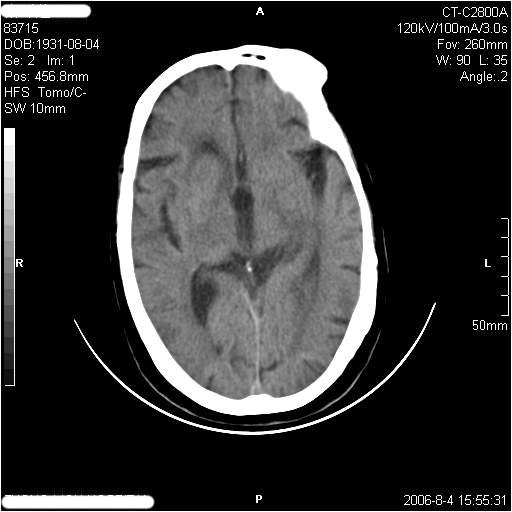
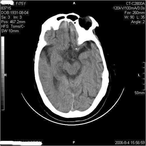
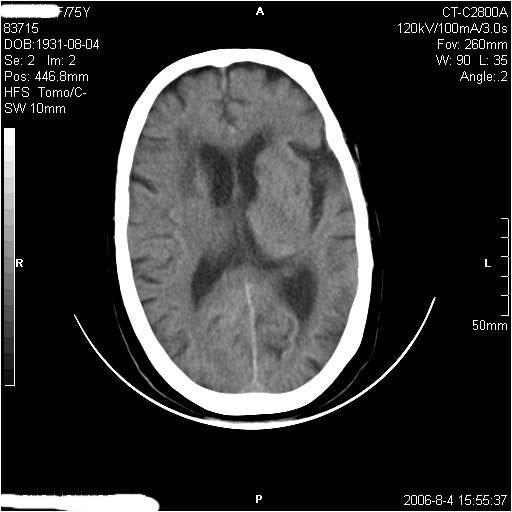
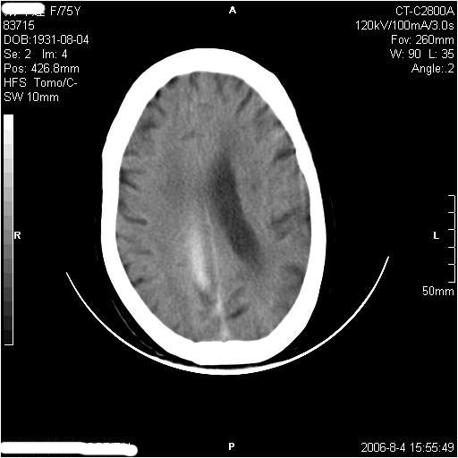
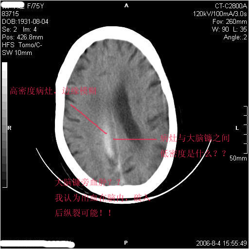
左侧偏瘫3天.







[本贴已被 jiajie 于 2006-8-6 19:19:09 修改过]
[本贴已被 zmyoo8 于 2006-8-6 19:21:10 修改过]
作者: liuyue 时间: 2006-8-7 03:44
1纵裂硬膜下血肿,2双基底节脑软化灶.
作者: chenqiong 时间: 2006-8-7 04:05
1、纵裂硬膜下血肿,2、右侧室前角旁梗塞;3、双基底节脑软化灶.
作者: drzhang8888 时间: 2006-8-7 04:11
镰旁慢性硬膜下出血?双侧多发腔梗。
作者: stronger16 时间: 2006-8-7 04:12
1纵裂硬膜下血肿,2双基底节脑软化灶.
作者: zmyoo8 时间: 2006-8-7 04:19
有摔倒外伤史,另看右侧灰白质界限.
作者: 乡医 时间: 2006-8-7 04:21
请祥解:纵裂硬膜下血肿
作者: 同 时间: 2006-8-7 04:32
纵裂硬膜下血肿 双侧基底节腔梗
作者: 逸风 时间: 2006-8-7 05:41
标题: 回复:ct4275:[讨论]头颅会诊

双侧基底节区多发性腔梗.引起临床症状的主要原因是右侧侧脑室旁的梗塞病灶.
作者: 拾荒者 时间: 2006-8-7 06:12
应该是右侧大脑镰旁的血肿,右侧基底节区脑梗塞。
作者: xiaoniu 时间: 2006-8-7 06:29
标题: 回复:ct4275:[讨论]头颅会诊
1、该患者从脑实质表现情况看应该年龄较大了,双侧基底节区多发斑片状低密度灶,侧脑室旁白质密度减低,各脑室腔扩大,脑沟裂增宽加深,以上改变符合:皮层下动脉硬化性脑病。
2、上纵裂右侧梭形条状高密度影阴,边缘模糊,周围水肿带环绕,右侧脑室受压变形,有摔倒外伤史,多考虑:纵裂硬膜下血肿。
[本贴已被 xiaoniu 于 2006-8-6 22:32:40 修改过]
作者: ysxyy 时间: 2006-8-7 06:53
支持小牛的意见。
作者: sjing 时间: 2006-8-7 17:51
支持纵裂硬膜下血肿,应该是慢性,或是再出血.
作者: 守望可可 时间: 2006-8-7 18:15
纵裂硬膜下血肿 双侧基底节腔梗
作者: 卜一 时间: 2006-8-7 18:52
1纵裂硬膜下血肿,2双基底节脑软化灶.
作者: wangzhanshuang 时间: 2006-8-7 19:02
标题: 回复:ct4275:[讨论]头颅会诊
以下是引用xiaoniu在2006-8-6 22:29:00的发言:[br]1、该患者从脑实质表现情况看应该年龄较大了,双侧基底节区多发斑片状低密度灶,侧脑室旁白质密度减低,各脑室腔扩大,脑沟裂增宽加深,以上改变符合:皮层下动脉硬化性脑病。[br]2、上纵裂右侧梭形条状高密度影阴,边缘模糊,周围水肿带环绕,右侧脑室受压变形,有摔倒外伤史,多考虑:纵裂硬膜下血肿。[br][br][本贴已被 xiaoniu 于 2006-8-6 22:32:40 修改过]
作者: gzx521th 时间: 2006-8-7 21:01
该是右侧大脑镰旁的血肿,双侧基底节区脑梗塞
作者: 江尾海头 时间: 2006-8-8 04:30
这是第一次看到,好好学习.呵呵
作者: shibing 时间: 2015-6-18 09:07
右侧大脑镰旁的血肿,右侧基底节区脑梗塞。
| 欢迎光临 医影在线 (http://bbs.radida.com/bbs/) |
Powered by Discuz! X3.2 |