医影在线
标题: CT4278:l求助!各位老师请帮忙分析一个片子--胸部占位。 [打印本页]
作者: 入门小生    时间: 2006-8-7 03:58
标题: CT4278:l求助!各位老师请帮忙分析一个片子--胸部占位。
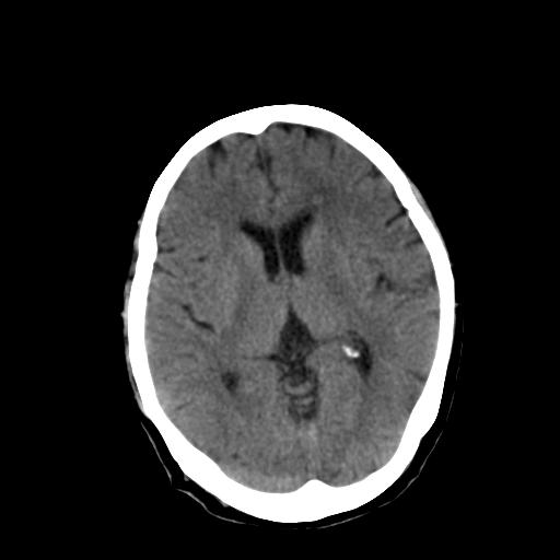
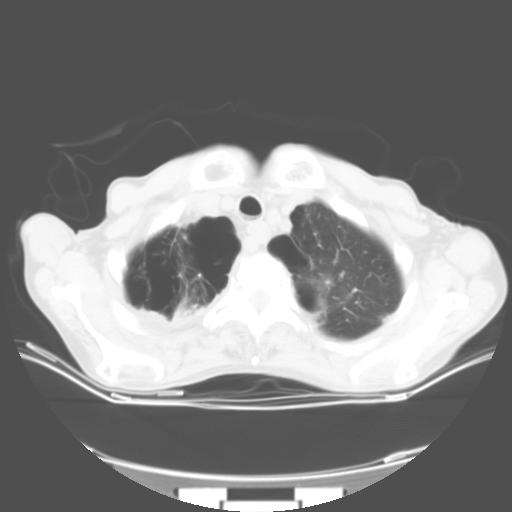
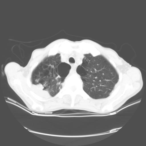
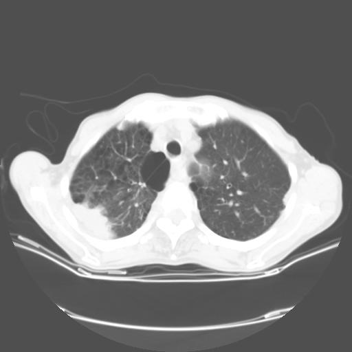
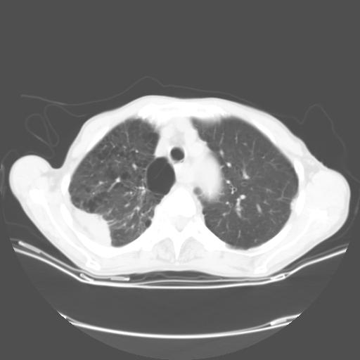
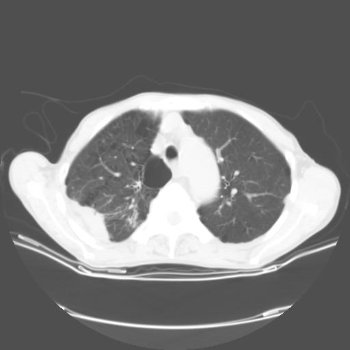
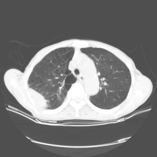
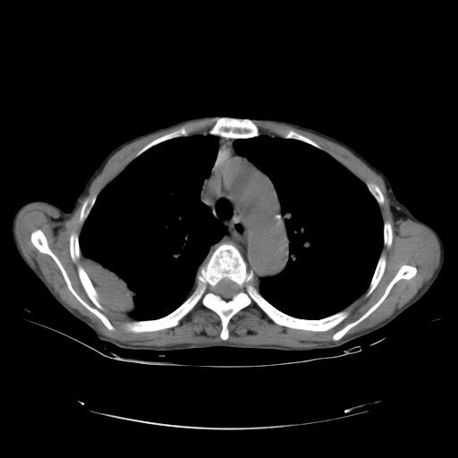
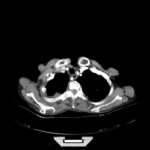
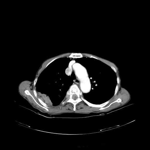
女,72岁,咳嗽一周余,突发右下肢无力二天。
pe:bp-140、80mmhg,精神可,伸舌居中,右上肢肌力正常,右下肢肌力0级,巴氏征+
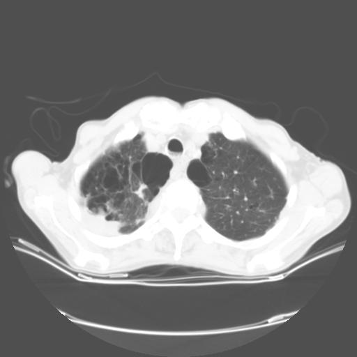
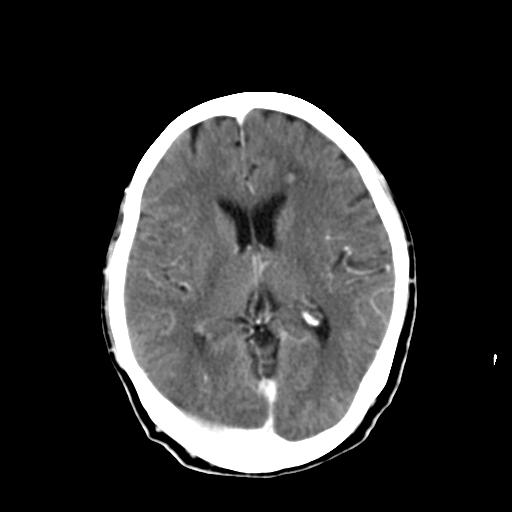
来院做头颅+胸部ct平扫

















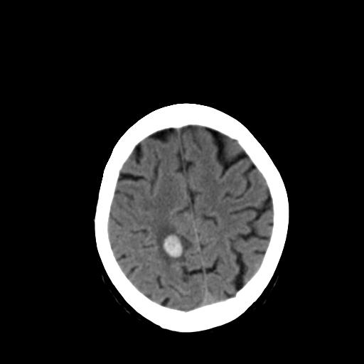
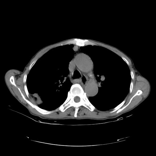
遂加作增强:










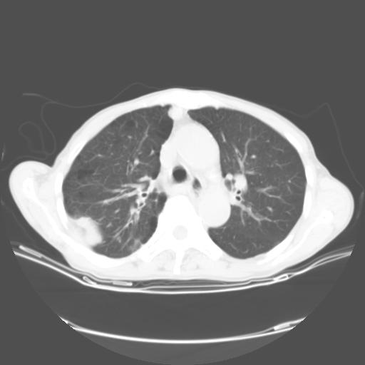
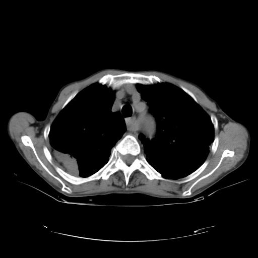
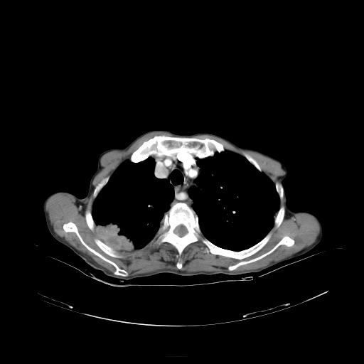
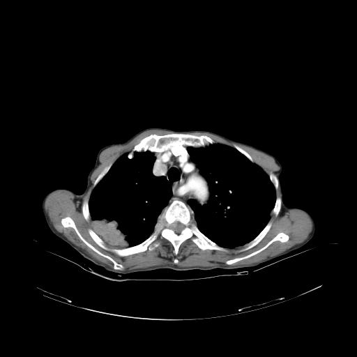
胸部病变平扫35hu,增强强化至70hu
[本贴已被 入门小生 于 2006-8-6 20:00:10 修改过]
[本贴已被 jiajie 于 2006-8-7 6:38:22 修改过]
作者: mzh123    时间: 2006-8-7 04:22
外围性肺癌伴脑转移灶!两上肺大泡。
作者: 乡医    时间: 2006-8-7 04:32
肺癌伴脑转移
作者: 江尾海头    时间: 2006-8-7 04:38
同意肺肿瘤脑转移伴出血看法.还是肺内转移.
作者: 同    时间: 2006-8-7 04:38
支持肺癌脑转移
作者: stronger16    时间: 2006-8-7 04:41
第二个头颅图像不是增强吧!怎么不考虑脑出血呢?右肺占位病变广基底与胸膜相连我觉得胸膜间皮瘤可能性较大。所以我认为是两个独立的病灶!我考虑右侧胸膜间皮瘤,两上肺大泡,顶叶出血。
作者: 入门小生    时间: 2006-8-7 04:44
前两张头颅片子是平扫,请问能否考虑机化性肺炎或者间皮瘤?
作者: lkc8963    时间: 2006-8-7 05:35
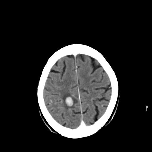
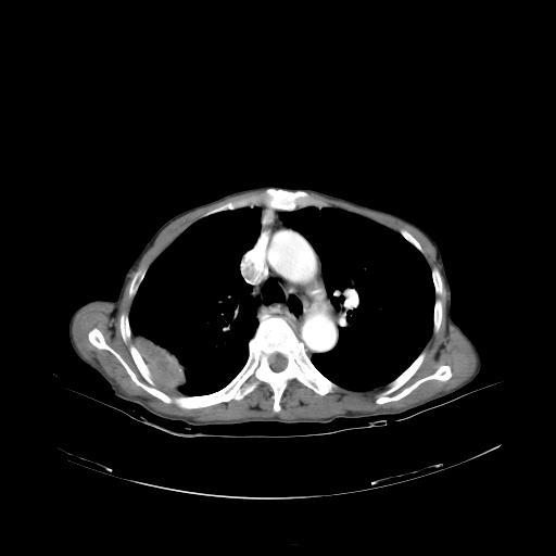
这个病人首先是胸部病变的定位到底是肺内还是肺外。仔细观察块影位于胸膜下,与胸膜间有透亮带,且近端血管未见明显推移而是引流样改变,形态分叶,说明这个病灶位于肺内胸膜下。很可能是腺癌,腺癌最易致颅内高密度转移灶。局部胸膜有侵犯。
本例颅内见多发大小不等高密度灶,有强化及水肿;另外,胸锁关节层面可能是第四胸椎及右侧肋骨起始部骨质欠连续,椎旁软组织肿胀,建议调骨窗观察。
基于以上原因,所以炎性肿块或胸膜间皮瘤不考虑。
诊断:右下肺癌伴颅内、胸椎、肋骨转移可能性最大。
作者: 拾荒者    时间: 2006-8-7 05:45
右侧胸膜间皮瘤,双肺大泡,颅内多发转移(右顶叶、左侧侧脑室前角放射冠区)并出血。
作者: gypgyp    时间: 2006-8-7 05:48
右肺周围型肺癌并脑转移,肺气肿.肺大泡。
作者: 1390528    时间: 2006-8-7 06:14
支持10楼
作者: guzhongliangddd    时间: 2006-8-7 06:45
左侧额叶及右顶叶实质内病灶首先应该考虑是转移性肿瘤伴出血{结合胸部强化}.
8楼版主所提的问题横好:此病例的讨论焦点应该是\"病灶的位置\".我认为其实质是“局限性胸膜间皮瘤与肺内肿块的鉴别诊断!”
 我的诊断意见:肺内占位”病灶。片内骨质未见异常。
建议楼主提供强化的肺窗及双窗位图象{病灶边缘血管和支气管是否在病灶边缘突然中断换进入病灶内,如有可提示是肺内灶,如周围血管支气管有移位可提示是肺外病灶,如胸膜间皮瘤。胸膜间皮瘤的胸膜外脂肪层一般较清晰}。
作者: ysxyy    时间: 2006-8-7 07:22
支持肺癌并脑内多发转移并出血;
作者: liuyue    时间: 2006-8-7 15:38
1右侧肺癌伴颅内转移2双上肺肺大泡.
作者: 一点红    时间: 2006-8-7 16:30
周围型肺癌伴脑转移,两上肺肺大泡
作者: 卜一    时间: 2006-8-7 17:08
标题: 回复:ct4278:l求助!各位老师请帮忙分析一个片子--胸部
本病灶定位是关键,我觉得从其特点分析,多考虑肺内病灶.首先应考率:肺内腺癌伴颅内转移伴出血
作者: HAHA215315    时间: 2006-8-7 17:22
标题: 回复:ct4278:l求助!各位老师请帮忙分析一个片子--胸部
以下是引用mzh123在2006-8-6 20:22:00的发言:[br]外围性肺癌伴脑转移灶!两上肺大泡。
作者: sjing    时间: 2006-8-7 17:47
肺癌脑转移,纵隔旁型肺气肿
作者: 守望可可    时间: 2006-8-7 17:52
  支持lkc8963以及guzhongliangddd、卜一等多位大佬的意见,考虑右上肺周围型肺癌并颅内转移。
作者: gzx521th    时间: 2006-8-7 20:57
右肺周围型肺癌并脑转移,肺气肿.肺大泡。
作者: zhangweiqiang    时间: 2006-8-7 21:33
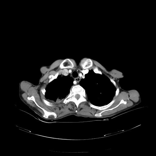
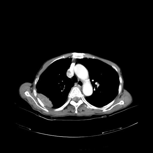
肺癌伴脑内转移(顶叶\\额叶),异位右锁骨下动脉
作者: 入门小生    时间: 2006-8-8 04:29
谢谢各位老师的精彩分析,可惜是外院病人,未接受ct引导下穿刺的建议,亦未住院。如果以后随访有结果,我会在此公布结果。再次感谢
作者: shibing    时间: 2015-6-18 09:06
右肺周围型肺癌
| 欢迎光临 医影在线 (http://bbs.radida.com/bbs/) | 
Powered by Discuz! X3.2 |