医影在线

标题: CT4282:[原创] 胸部,女,33岁 [打印本页]

作者: yemin92007    时间: 2006-8-7 19:51
标题: CT4282:[原创] 胸部,女,33岁
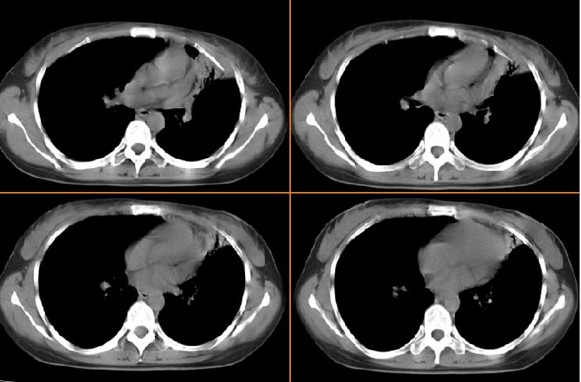
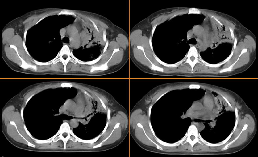
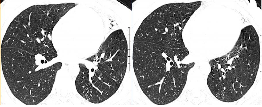
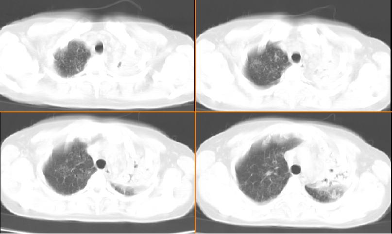
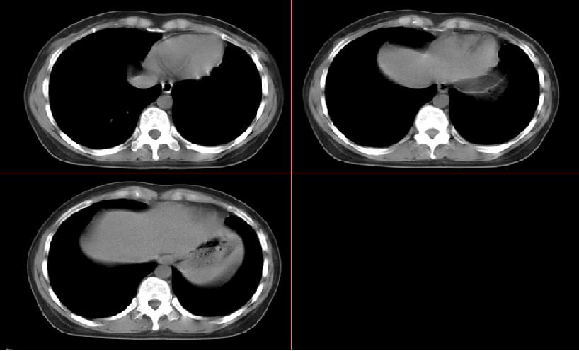
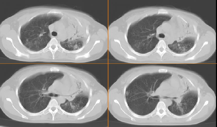
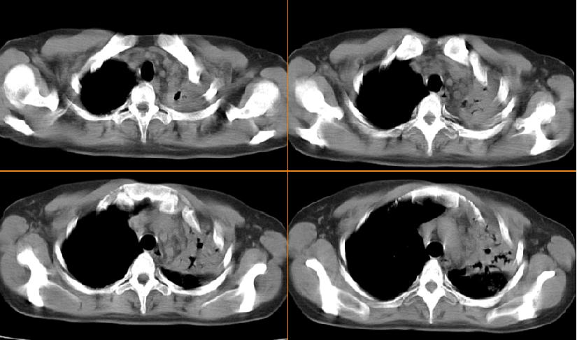
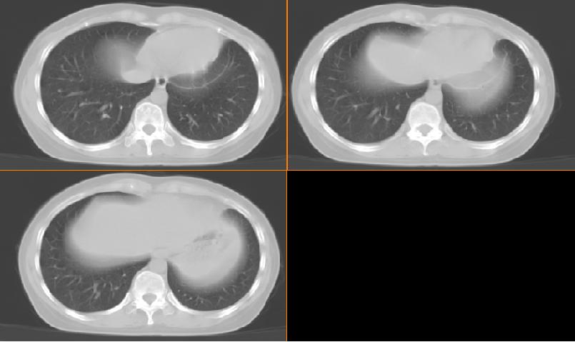
女,33岁,咳嗽5月。















[本贴已被 jiajie 于 2006-8-7 15:23:49 修改过]

作者: 扬仪    时间: 2006-8-7 20:10
首考:双上继发性肺结核(左上干酪病灶)。建议临床相关检查。
作者: gzx521th    时间: 2006-8-7 20:40
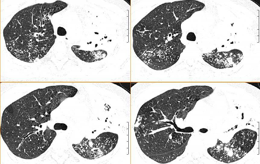
双肺炎性病变以左肺上叶为著. 建议治疗后复查,待排其他病变
作者: 1390528    时间: 2006-8-7 20:51
双上肺tb.伴左上胸膜增厚粘连
作者: liaoqiang    时间: 2006-8-7 22:46
考虑双肺上叶继发性肺结核。
作者: xuesheng85    时间: 2006-8-7 22:55
结核伴继发左上肺实变可能
作者: 卜一    时间: 2006-8-7 23:17
考虑双肺上叶继发性肺结核伴左侧上胸壁胸膜肥厚 粘连。
作者: xiaoniu    时间: 2006-8-8 00:40
标题: 回复:ct4282:[原创] 胸部,女,33岁
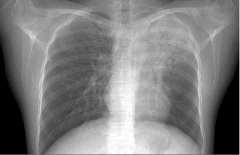
左肺上叶前段致密,内见空气支气管征,相应部位胸膜增厚粘连,双肺上其他肺叶不同程度斑片状播散病灶,结合咳嗽5月的病史,考虑:双肺上叶继发性肺结核。
作者: zhangweiqiang    时间: 2006-8-8 00:58
肺结核
作者: liuyue    时间: 2006-8-8 02:29
双上肺、左下肺背段肺结核,左上肺膨胀不全.
作者: pj6789    时间: 2006-8-8 03:26
标题: 回复:ct4282:[原创] 胸部,女,33岁
以下是引用liuyue在2006-8-7 18:29:00的发言:[br]双上肺、左下肺背段肺结核,左上肺膨胀不全.

作者: 蓝天1号    时间: 2006-8-8 04:11
考虑双肺上叶继发性肺结核伴左侧上胸壁胸膜肥厚 粘连。
作者: 拾荒者    时间: 2006-8-8 06:27
支持双上肺结核(左肺上叶干酪性肺炎)。
作者: 朱磊    时间: 2006-8-8 06:32
左肺上叶前段致密,内见空气支气管征,相应部位胸膜增厚粘连,双肺上其他肺叶不同程度斑片状播散病灶,结合咳嗽5月的病史,考虑:双肺上叶继发性肺结核伴左肺上叶肺含气不良。
作者: 蓝星    时间: 2006-8-8 07:20
考虑:双肺上叶继发性肺结核
作者: 狙击手    时间: 2006-8-8 07:35
应寻求临床tb证据
作者: 笑笑天    时间: 2006-8-8 17:32
标题: 回复:ct4282:[原创] 胸部,女,33岁
以下是引用xiaoniu在2006-8-7 16:40:00的发言:[br]左肺上叶前段致密,内见空气支气管征,相应部位胸膜增厚粘连,双肺上其他肺叶不同程度斑片状播散病灶,结合咳嗽5月的病史,考虑:双肺上叶继发性肺结核。

作者: shibing    时间: 2015-6-18 09:05
双上肺、左下肺背段肺结核,左上肺膨胀不全.




欢迎光临 医影在线 (http://bbs.radida.com/bbs/) Powered by Discuz! X3.2