医影在线

标题: CT4285:头部病变,女 21岁 [打印本页]

作者: zlg    时间: 2006-8-7 20:09
标题: CT4285:头部病变,女 21岁
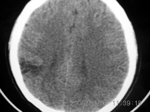
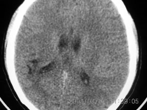
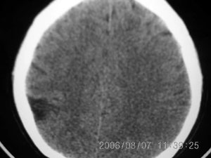
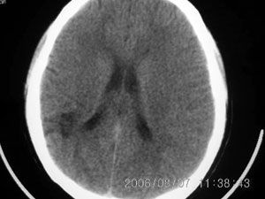
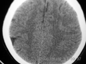
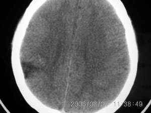
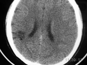
女 21岁 发作性面色发白一年,每次发作仅数秒钟









[本贴已被 jiajie 于 2006-8-7 16:09:50 修改过]

作者: 扬仪    时间: 2006-8-7 20:19
女 21岁 发作性面色发白一年,每次发作仅数秒钟!、
癫痫小发作?没有其他临床表现?
作者: zhangweiqiang    时间: 2006-8-8 01:11
脑血管畸形,建议做增强
作者: liuyue    时间: 2006-8-8 02:20
脑软化灶可能性大.
作者: jiajie    时间: 2006-8-8 03:20
局限性脑软化灶、脑萎缩,考虑动静脉畸形。
作者: 蓝天1号    时间: 2006-8-8 04:17
建议mri增强检查,不排除dnt可能。
作者: fs    时间: 2006-8-8 05:44
没有其他临床表现
作者: lgm660927    时间: 2006-8-8 16:03
脑软化灶。
作者: 笑笑天    时间: 2006-8-8 17:34
局部软化灶,脑沟增宽加深,考虑为脑血管畸形可能,建议增强或mri检查.
作者: yemin92007    时间: 2006-8-8 18:39
脑软化灶可能性大。
作者: 豫章    时间: 2006-8-8 18:46
左颞顶叶不规则低迷度影边界尚清楚,岁数年轻,应考虑脑血管畸形。建议强化或核磁,进一步检查。
作者: 深海    时间: 2006-8-8 20:09
考虑脑血管畸形可能,建议mr
作者: pj6789    时间: 2006-8-8 22:59
标题: 回复:ct4285:头部病变,女 21岁
以下是引用深海在2006-8-8 12:09:00的发言:[br]考虑脑血管畸形可能,建议mr

作者: 守望可可    时间: 2006-8-8 23:10
局限性脑软化灶,右侧侧脑室后角受吸引,略有拉伸。考虑动静脉畸形。
作者: 拾荒者    时间: 2006-8-10 00:24
首先考虑avm,但脑囊虫病有没有可能?
作者: wqgui    时间: 2006-8-10 01:36
脑软化灶
作者: shibing    时间: 2015-6-18 09:05
脑软化灶可能性大。




欢迎光临 医影在线 (http://bbs.radida.com/bbs/) Powered by Discuz! X3.2