医影在线

标题: CT4298:[原创]甲状腺肿物 [打印本页]

作者: 豫章    时间: 2006-8-8 18:07
标题: CT4298:[原创]甲状腺肿物
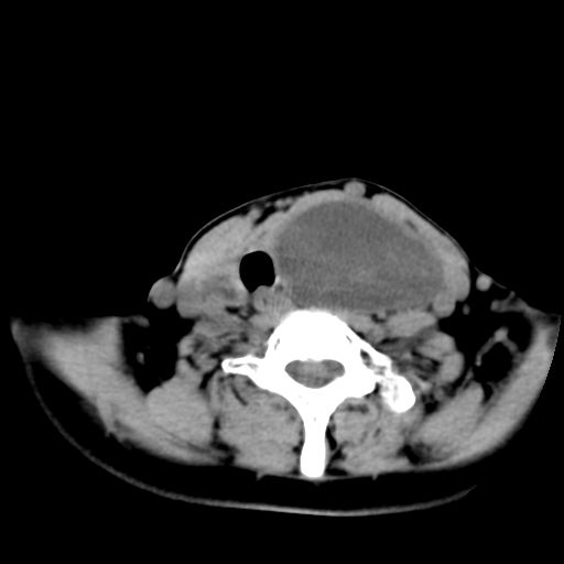
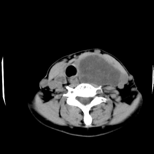
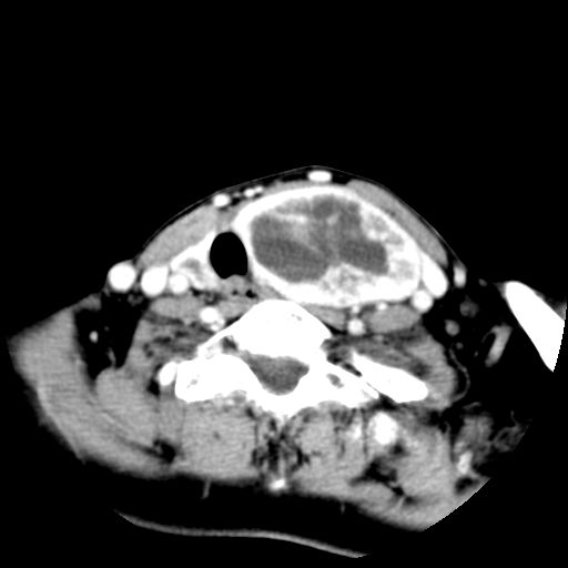
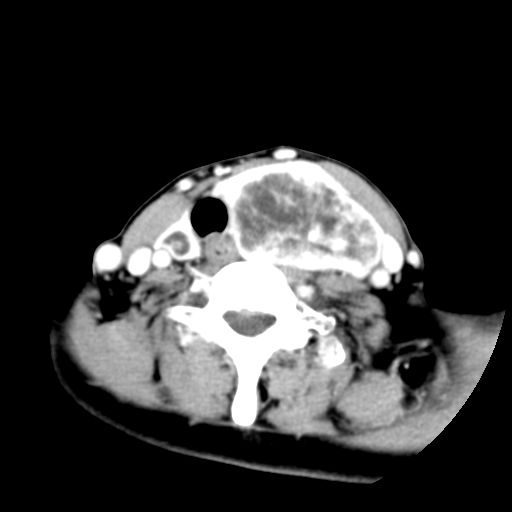
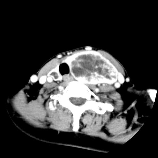
女  53岁  左侧甲状腺肿物3年,近2月明显增大。病理稍后发。










[本贴已被 jiajie 于 2006-8-8 12:42:55 修改过]

作者: qian    时间: 2006-8-8 18:38
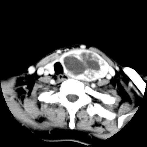
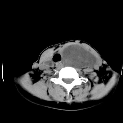
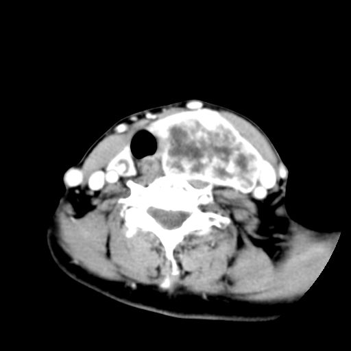
左侧甲状腺内见有一较大类圆形低密度区,边缘清楚光整,增强有一定强化,但仍较正常甲状腺组织强化弱,左侧甲状腺周围组织明显受压移位,且周围组织界限存在,周围组织间隙内未见肿大淋巴结,结合病史考虑为良性病变,左侧甲状腺腺瘤可能大。
作者: xn2ylwg    时间: 2006-8-8 19:01
考虑甲状腺囊腺癌.
作者: chenqiong    时间: 2006-8-8 20:06
考虑甲状腺腺瘤恶变
作者: 晓杰    时间: 2006-8-8 20:37
左侧甲状腺内见有一较大类圆形低密度区,边缘清楚光整,增强有一定强化,但仍较正常甲状腺组织强化弱,左侧甲状腺周围组织明显受压移位,且周围组织界限存在,周围组织间隙内未见肿大淋巴结。
考虑:甲状腺囊腺瘤
作者: pj6789    时间: 2006-8-8 22:55
甲状腺囊腺癌
作者: winter    时间: 2006-8-8 23:39
右侧也有一个低密度灶,甲状腺ct定性不是强项,我考虑为甲状腺的良性病变。
作者: guzhongliangddd    时间: 2006-8-9 00:15
双侧都有,最大病灶在左侧,其包膜和灶内部都有明显的强化,提示其血供丰富。我首先考虑是良性占位,以腺瘤可能性大。
作者: kbzyycm    时间: 2006-8-9 01:59
考虑甲状腺囊腺癌.
作者: ysxyy    时间: 2006-8-9 03:49
考虑恶变可能;
作者: stronger16    时间: 2006-8-9 04:29
左侧甲状腺内见有一较大类圆形低密度区,边缘清楚光整,增强有一定强化,但仍较正常甲状腺组织强化弱,左侧甲状腺周围组织明显受压移位,且周围组织界限存在,考虑甲状腺腺瘤恶变!
作者: 拾荒者    时间: 2006-8-10 04:53
病灶虽未突破正常甲状腺组织,但边缘欠规整,且有近期明显增大史,考虑:甲状腺瘤恶变。
作者: 豫章    时间: 2006-8-17 05:14
左侧甲状腺内见有一类圆形低密度区,边缘清楚光整,可见明显增强,间隔亦可见增强,且与周围组织分解清晰,周围组织间隙内未见肿大淋巴结。右侧亦可见类似表现。考虑甲状腺腺瘤。
手术病理证实:双侧腺瘤样甲状腺肿。
作者: 拾荒者    时间: 2006-8-17 06:10
收到,谢谢!
作者: zylcq608    时间: 2006-8-18 03:51
考虑甲状腺腺瘤恶变
作者: kangkang0511    时间: 2006-8-18 05:52
考虑甲状腺癌或甲状腺腺瘤恶变。
作者: hexue    时间: 2009-8-9 04:28
谢谢 学习了
作者: 王敏敏6    时间: 2009-9-12 22:07
我考虑甲状腺囊腺留可能性大




欢迎光临 医影在线 (http://bbs.radida.com/bbs/) Powered by Discuz! X3.2