医影在线

标题: CT4318:颈部包块,请大家看看 [打印本页]

作者: 漫步云端    时间: 2006-8-10 04:49
标题: CT4318:颈部包块,请大家看看
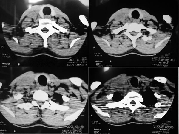
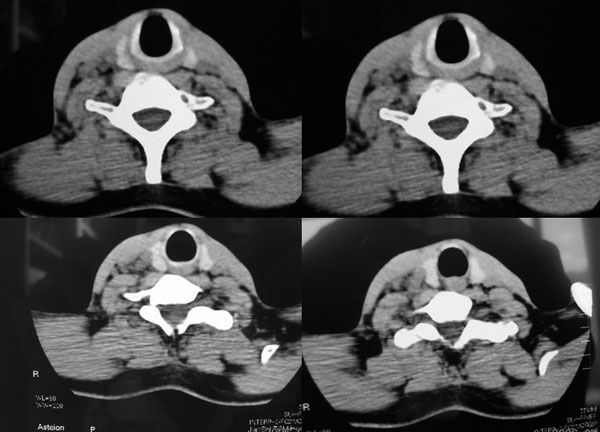
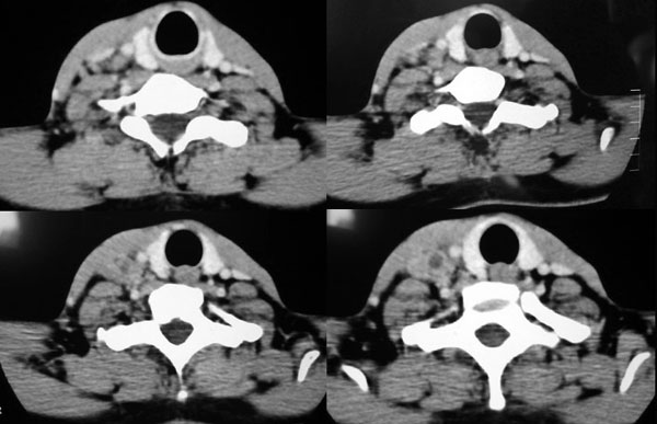
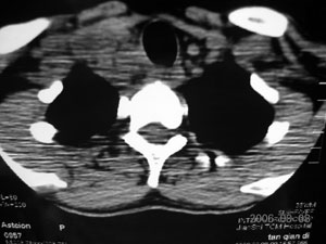
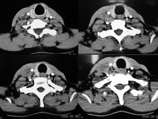
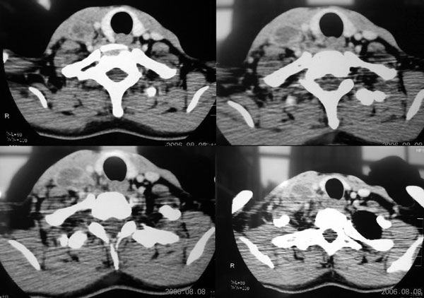
患者,谭××,男,35岁,右颈部肿痛一周,体温39度。增强待续,伪影大,对不起,请大家凑合……










[本贴已被 jiajie 于 2006-8-9 21:35:01 修改过]

作者: 江尾海头    时间: 2006-8-10 04:59
肿大淋巴结?
作者: 蓝天1号    时间: 2006-8-10 05:38
右侧颈动脉间隙神经鞘膜瘤考虑。
作者: 随缘    时间: 2006-8-10 05:43
肿大淋巴结?
作者: drzhang8888    时间: 2006-8-10 05:50
生长于颈部2血管之间多房样壁强化明显。
支持右侧颈动脉间隙神经鞘膜瘤诊断,炎性淋巴结肿大及炎性包块不完全除外。
作者: jiangjing    时间: 2006-8-10 06:35
生长于颈鞘部2血管之间的病灶,环状强化明显,见分隔。
考虑---右侧颈动脉间隙神经鞘膜瘤,炎性淋巴结肿大及炎性包块不完全除外
作者: ssmmxx    时间: 2006-8-10 07:16
考虑为炎性包块
作者: liuyue    时间: 2006-8-10 07:19
生长于颈部2血管之间多房样壁强化明显,结合临床右颈部肿痛一周,体温39度,
考虑:炎性淋巴结肿大及炎性包块可能性大.
作者: 卜一    时间: 2006-8-10 13:27
右侧颈部软组织肿块,边界清楚,中心坏死,与周边软组织同步强化,多考虑:肿大淋巴结.不除外神经鞘膜瘤.
作者: jiajie    时间: 2006-8-10 15:21
右颈部肌肉、血管间隙内可见不规则肿块,强化后呈多房性,间隔及壁线样强化,考虑颈部脓肿。
作者: 守望可可    时间: 2006-8-10 16:12
标题: 回复:ct4318:颈部包块,请大家看看
以下是引用jiajie在2006-8-10 7:21:00的发言:[br]右颈部肌肉、血管间隙内可见不规则肿块,强化后呈多房性,间隔及壁线样强化,考虑颈部脓肿。


   支持jiajie老师的分析、诊断。
   从临床症状来讲,首先考虑颈部局部脓肿形成,颈部淋巴管囊肿并感染我认为应列为第2考虑对象。
作者: 广西医四    时间: 2006-8-10 17:06
淋巴结核
作者: 医博云天    时间: 2006-8-10 18:29
考虑感染性病变,脓肿吧!
作者: wansheng    时间: 2006-8-10 19:14
标题: 回复:ct4318:颈部包块,请大家看看
以下是引用jiajie在2006-8-10 7:21:00的发言:[br]右颈部肌肉、血管间隙内可见不规则肿块,强化后呈多房性,间隔及壁线样强化,考虑颈部脓肿。

作者: 漫步云端    时间: 2006-8-10 22:19
标题: 结果
穿剌抽吸乳白色液体6ml,实验室检查为炎性细胞。谢谢大家精彩分析!
作者: 西北偏北    时间: 2006-8-11 00:17
多发肿大淋巴结,呈环形持续性较明显强化,部分相互融合,结合临床,考虑炎性.
作者: 拾荒者    时间: 2006-8-11 04:33
好快的结果。谢谢楼主。
  颈部血管间多房囊性肿块,边缘模糊,增强囊壁有强化,中间低密度区无强化。从强化特点支持颈部神经鞘瘤及淋巴性肿瘤。但病人病史较短,且有高热,病灶边缘模糊,又都不支持。神经鞘瘤及淋巴性肿瘤多边缘清楚。因此还是考虑炎症。
马后炮。勿见笑。
作者: 轻步雨幕    时间: 2006-8-11 06:26
右侧颈部软组织肿块,边界清楚,中心坏死,与周边软组织同步强化,多考虑:肿大淋巴结.不除外神经鞘膜瘤.
作者: 汪涛同志    时间: 2006-8-11 10:14
中心性坏死,环行强化支持:(1 淋巴结核)(2 脓肿) 临床高热,后者可能性更大 。神经鞘膜瘤不会广泛弥漫性的延续至上纵隔。
作者: shibing    时间: 2015-6-18 09:13
右颈部肌肉、血管间隙内可见不规则肿块,强化后呈多房性,间隔及壁线样强化,考虑颈部脓肿。




欢迎光临 医影在线 (http://bbs.radida.com/bbs/) Powered by Discuz! X3.2