医影在线
标题: CT4323:[原创]胸部 强化+局部5毫米薄扫!请讨论!随访病例! [打印本页]
作者: guzhongliangddd 时间: 2006-8-10 20:30
标题: CT4323:[原创]胸部 强化+局部5毫米薄扫!请讨论!随访病例!



























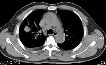
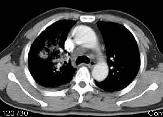
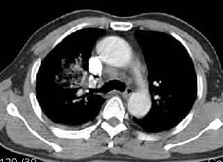
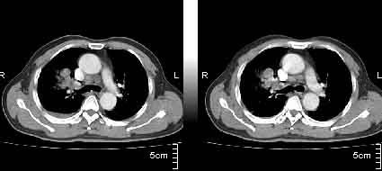
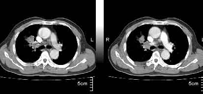
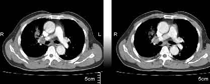
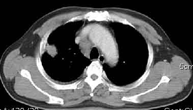
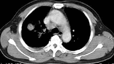
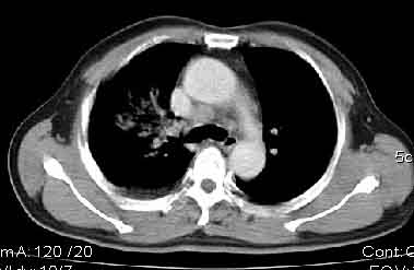
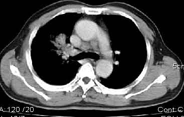
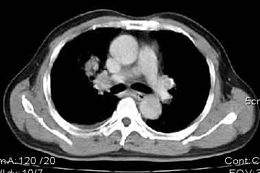
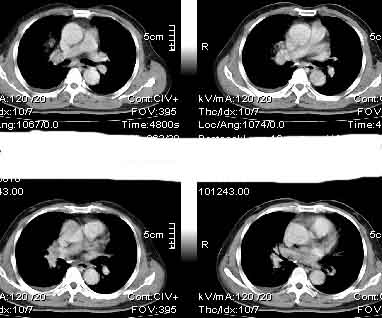
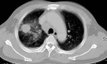
该病例我的诊断意见:右肺上叶周围型肺癌伴纵隔和右肺门淋巴结增大和右肺上叶阻塞性肺炎{病灶周围致密影以近肺门侧明显!}。右侧少量胸腔积液。
[本贴已被 guzhongliangddd 于 2006-8-10 12:31:12 修改过]
[本贴已被 jiajie 于 2006-8-10 13:16:06 修改过]
作者: duguo 时间: 2006-8-10 20:51
癌.
作者: HLJnianLG 时间: 2006-8-10 21:16
支持楼主的意见。
作者: hucl 时间: 2006-8-10 21:50
一. 1)症状有无发热及慢性过程.2)化验室检查?3)有无tb接触史?二.右肺上叶见片团状影,边界欠清,外侧方见一结节状软组织影,密度欠均匀,内可见低密度坏死区.周围强化明显,肺内见纤维索条影,局部胸膜增厚,但无明确胸膜凹陷.上叶支气管壁增厚,肺门及纵隔淋巴结增大.右侧胸腔少量积液.诊断意见:1右肺上叶慢性感染性疾病(肺tb?)伴肺门,纵隔淋巴结大.右胸少量积液.右肺上叶结节影多为tb球?2右肺上叶周围型肺ca伴肺门,纵隔淋巴结转移待排.右肺上叶炎变(肺门及纵隔淋巴结压迫).右胸少量积液.等待随返结果.
作者: qian 时间: 2006-8-10 22:10
右肺内肿块+纵隔内肿大淋巴结+咳嗽、痰中带血=右侧周围型肺癌
作者: guzhongliangddd 时间: 2006-8-10 22:22
4楼战友分析得有道理.
作者: 卜一 时间: 2006-8-10 22:38
非常支持楼主诊断意见!
作者: winter 时间: 2006-8-10 22:45
我的意见和楼主的一致。
作者: 守望可可 时间: 2006-8-10 22:52
右肺上叶周围型肺癌,纵隔和右肺门淋巴结转移并致右肺上叶阻塞性肺炎。支持楼主意见。
作者: wangzhanshuang 时间: 2006-8-10 23:25
右肺上叶周围型肺癌,纵隔和右肺门淋巴结转移并致右肺上叶阻塞性肺炎。支持楼主意见。
作者: jone-baby 时间: 2006-8-11 01:13
右肺上叶周围型肺癌,纵隔和右肺门淋巴结转移并致右肺上叶阻塞性肺炎。支持楼主意见。
作者: gypgyp 时间: 2006-8-11 01:16
右肺上叶周围型肺癌,纵隔和右肺门淋巴结转移并致右肺上叶阻塞性肺炎。支持楼主意见!!!
作者: d5d6x7111 时间: 2006-8-11 02:43
支持楼主!!!!!!!!!!!!
作者: pj6789 时间: 2006-8-11 04:04
支持楼主
作者: 同 时间: 2006-8-11 04:19
支持肺癌诊断
作者: liuyue 时间: 2006-8-11 04:21
右肺上叶周围型肺癌,纵隔和右肺门淋巴结转移并致右肺上叶阻塞性肺炎。支持楼主意见。
作者: wxy7406 时间: 2006-8-11 04:56
右上肺周围性肺癌,阻塞性肺炎考虑为肿大淋巴结压迫上叶支气管引起。
作者: jiangjing 时间: 2006-8-11 05:24
右肺上叶周围型肺癌,纵隔和右肺门淋巴结转移并致右肺上叶阻塞性肺炎。支持楼主意见。
作者: ysxyy 时间: 2006-8-11 06:07
支持楼主,右肺上叶周围型肺癌,纵隔和右肺门淋巴结转移并致右肺上叶阻塞性肺炎;
作者: 拾荒者 时间: 2006-8-11 06:22
同意楼主诊断:右肺上叶周围性肺癌,纵隔和右肺门淋巴结转移并压迫致右肺上叶阻塞性肺炎。
作者: shiqingfa 时间: 2006-8-11 06:25
支持楼主意见
作者: 笑笑天 时间: 2006-8-11 07:02
标题: 回复:ct4323:[原创]胸部 强化+局部5毫米薄扫!请讨论!随
以下是引用hucl在2006-8-10 13:50:00的发言:[br]一. 1)症状有无发热及慢性过程.2)化验室检查?3)有无tb接触史?二.右肺上叶见片团状影,边界欠清,外侧方见一结节状软组织影,密度欠均匀,内可见低密度坏死区.周围强化明显,肺内见纤维索条影,局部胸膜增厚,但无明确胸膜凹陷.上叶支气管壁增厚,肺门及纵隔淋巴结增大.右侧胸腔少量积液.诊断意见:1右肺上叶慢性感染性疾病(肺tb?)伴肺门,纵隔淋巴结大.右胸少量积液.右肺上叶结节影多为tb球?2右肺上叶周围型肺ca伴肺门,纵隔淋巴结转移待排.右肺上叶炎变(肺门及纵隔淋巴结压迫).右胸少量积液.等待随返结果.
作者: HAHA215315 时间: 2006-8-11 16:44
标题: 回复:ct4323:[原创]胸部 强化+局部5毫米薄扫!请讨论!随
以下是引用wxy7406在2006-8-10 20:56:00的发言:[br]右上肺周围性肺癌,阻塞性肺炎考虑为肿大淋巴结压迫上叶支气管引起。
作者: guzhongliangddd 时间: 2006-8-11 20:28
谢谢各位战友的精彩分析.患者以转上级医院.有结果我将及时公布!!.
作者: 漫步云端 时间: 2006-8-11 20:47
标题: 回复:ct4323:[原创]胸部 强化+局部5毫米薄扫!请讨论!随
以下是引用hucl在2006-8-10 13:50:00的发言:[br]一. 1)症状有无发热及慢性过程.2)化验室检查?3)有无tb接触史?二.右肺上叶见片团状影,边界欠清,外侧方见一结节状软组织影,密度欠均匀,内可见低密度坏死区.周围强化明显,肺内见纤维索条影,局部胸膜增厚,但无明确胸膜凹陷.上叶支气管壁增厚,肺门及纵隔淋巴结增大.右侧胸腔少量积液.诊断意见:1右肺上叶慢性感染性疾病(肺tb?)伴肺门,纵隔淋巴结大.右胸少量积液.右肺上叶结节影多为tb球?2右肺上叶周围型肺ca伴肺门,纵隔淋巴结转移待排.右肺上叶炎变(肺门及纵隔淋巴结压迫).右胸少量积液.等待随返结果.
支持!
作者: phsdyx 时间: 2006-8-11 21:58
支持4楼的分析
作者: 178915175 时间: 2006-8-12 17:01
我支持4楼,希望完善各项检查,有条件做支纤镜或穿刺活检
作者: yytbzjw 时间: 2006-8-12 18:27
同意肺癌的分析诊断
作者: drzhang8888 时间: 2006-8-22 05:50
很少见癌症这样拖泥带水的。。。。还是支持hucl在2006-8-10 13:50:00的发言:
中轴间质增粗可以用癌局部淋巴侵润解释。近肺门侧片影用肺门淋巴结增大解释并压迫支气管引起近端炎症?
作者: lolo84 时间: 2006-8-22 06:11
明确
作者: hexue 时间: 2009-8-9 04:09
谢谢 学习了
| 欢迎光临 医影在线 (http://bbs.radida.com/bbs/) |
Powered by Discuz! X3.2 |