医影在线

标题: V0076B:[抗炎10天复查] [打印本页]

作者: zhuxinli    时间: 2006-8-12 00:15
标题: V0076B:[抗炎10天复查]






















[本贴已被 jiajie 于 2006-8-13 6:31:35 修改过]

作者: 刘明    时间: 2006-8-12 17:03
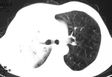
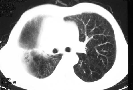
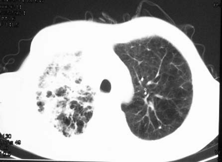
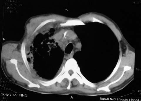
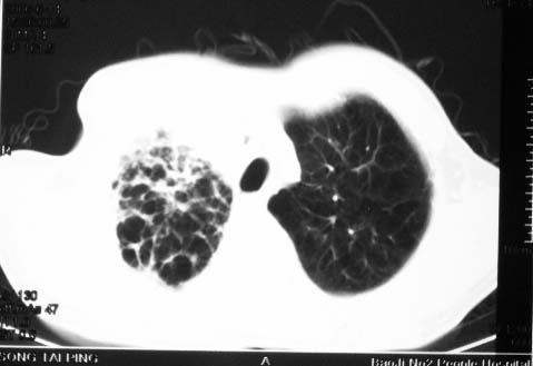
病史:男,64岁,咳血,咳痰,发热3天,wbc---1.2万
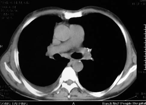
影象表现:右肺上叶大片状、网格状及索条致密影,蜂窝影,其内参杂斑点状小结节,密度不均匀,内见含气支气管像,纵隔内见肿大淋巴结.
抗炎10天后无好转出现胸水,考虑:肺结核合并间质纤维化
作者: jiangjing    时间: 2006-8-13 07:29
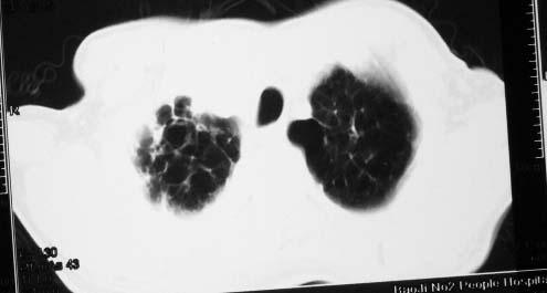
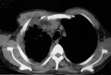
抗感染病变无明显改善,右上叶大片状增弥不均匀病灶,夹杂网状及支气管充气像,肺门纵隔淋巴结肿大,右侧胸腔积液。考虑1混合感染伴肺间质改变[警惕特殊感染,如真菌]。2细支气管肺泡癌。建议结合临床及进一步检查[如痰,胸水脱落细胞检查及支气管镜检灌洗或穿刺活检
作者: dyqct    时间: 2006-8-19 23:30
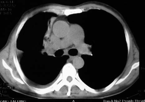
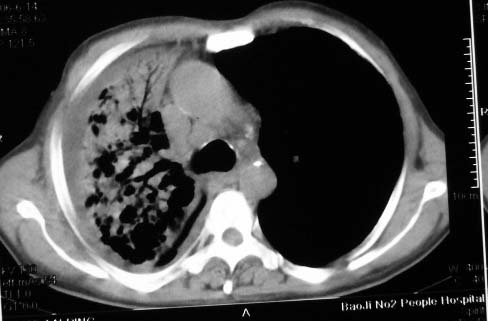
右肺上叶见大片状及索条致密影,密度不均,内见含气支气管症,纵隔内见肿大淋巴结.
考虑:右肺上叶干络性肺炎.
作者: ruoyuli    时间: 2006-8-24 16:57
病史:男,64岁,咳血,咳痰,发热3天,wbc---1.2万
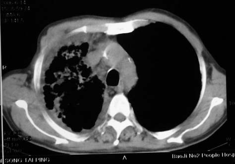
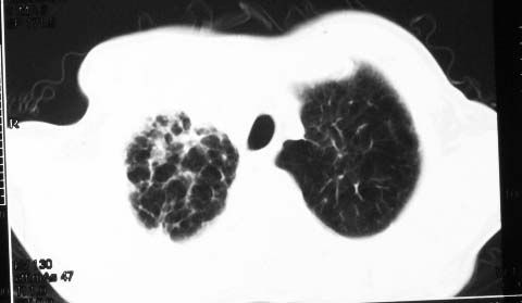
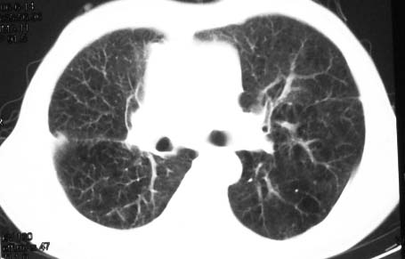
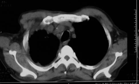
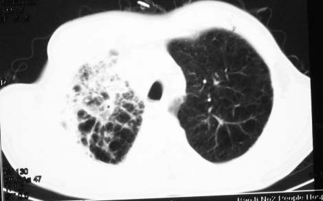
影象表现:右肺上叶大片状、网格状及索条致密影,蜂窝影,其内参杂斑点状小结节,密度不均匀,内见枯枝样含气支气管像,纵隔内见肿大淋巴结.胸膜广泛增厚,前胸壁似受累.少量胸腔积液.纵隔内淋巴结的直径>1.5cm.右侧胸廓体积缩小.考虑:1 肺结核合并间质纤维化 2 细支气管肺泡癌
作者: JUDY160954    时间: 2006-9-15 00:28
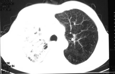
右肺上叶大片状、网格状及索条致密影,蜂窝影,其内参杂斑点状小结节,密度不均匀,内见枯枝样含气支气管像,纵隔内见肿大淋巴结.胸膜广泛增厚,前胸壁受累增厚.少量胸腔积液.纵隔内淋巴结的直径>1.5cm.右侧胸廓体积缩小.考虑: 细支气管肺泡癌并肺内癌性淋巴管炎。
作者: shibing    时间: 2015-6-18 09:35
右肺上叶大片状、网格状及索条致密影,蜂窝影,其内参杂斑点状小结节,密度不均匀,内见枯枝样含气支气管像,纵隔内见肿大淋巴结.胸膜广泛增厚,前胸壁受累增厚.少量胸腔积液.纵隔内淋巴结的直径>1.5cm.右侧胸廓体积缩小.考虑: 细支气管肺泡癌并肺内癌性淋巴管炎。




欢迎光临 医影在线 (http://bbs.radida.com/bbs/) Powered by Discuz! X3.2