医影在线
标题: V0079:小儿头颅,请大家帮忙! [打印本页]
作者: 医博云天 时间: 2006-8-12 23:00
标题: V0079:小儿头颅,请大家帮忙!
女,2岁。生后以来智力低下,长期易感冒,发烧,身体差。孕史,用药史不详!
请教各位朋友要考虑些什么?需要做些什么其他辅助检查。谢了!





就这些资料,大家帮忙看看吧!

[本贴已被 jiajie 于 2006-8-13 6:45:29 修改过]
作者: jiangjing 时间: 2006-8-13 07:12
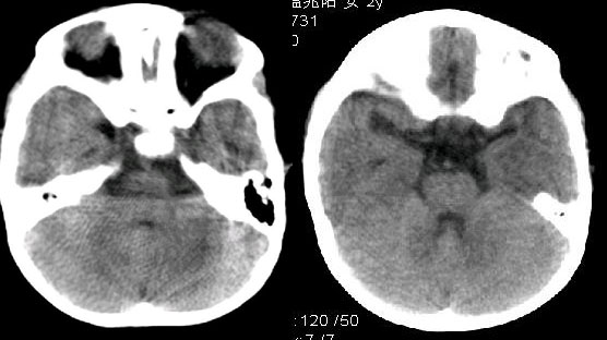
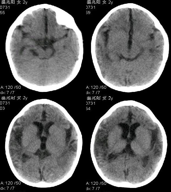
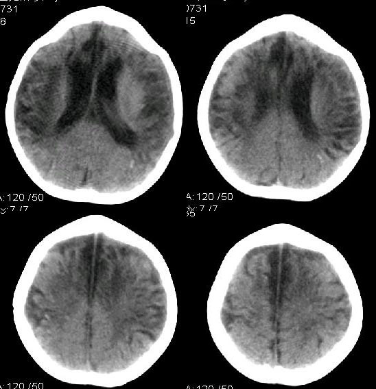
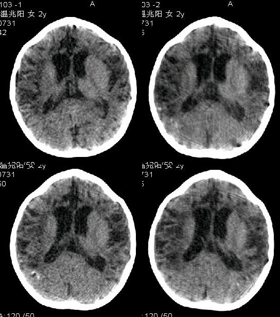
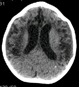
三脑室、侧脑室扩大,脑沟裂增宽明显,尤以大脑半球为甚。胼胝体压部及膝部狭小便薄。考虑1脑小畸形
2脑萎缩[发育不全所致可能或hie]
作者: xiaoniu 时间: 2006-8-14 05:49
标题: 回复:v0079:小儿头颅,请大家帮忙!
双侧大脑大部分半球虫蚀样密度减低,脑实质呈负占位效应,脑室扩大,低密度边缘散在钙化影阴,长期易感冒,发烧,身体差,请详细询问有无发热时的抽搐病史。我觉得像是:脑炎后遗症。
作者: 卜一 时间: 2006-8-21 21:09
本例特点:1 脑室扩大.以三脑室,四脑室扩大为主.2 脑沟 脑裂增宽,以纵裂增宽为主.3 脑实质内大量低密度影,(提示缺血及脱髓鞘变性).4 双侧顶枕部点状钙化.
结合临床考虑:1 神经皮肤综合征_结节性硬化.2 胼胝体发育不良.
作者: 影子天使 时间: 2006-9-26 06:43
标题: [讨论]
2岁智低体弱女婴脑部ct平扫示
额、颞、顶叶
皮质变薄(脑沟裂增宽)伴灶性梗死(小灶脑脊液样低密度影)、
白质减少(脑室增大)并变性(脱髓鞘所致的较对称分布的灶性近似脑脊液密度的低密度灶,个别与脑室穿通)、
颞枕叶交界脑质近凸面点索样钙化灶
考虑多为
化脑后遗改变(脑萎缩、灶性脑软化形成)
——婴幼儿脑组织尚处于继续发育阶段,单纯说脑萎缩不确切,我觉得说脑萎缩伴发育不良更好些。
这种脑萎缩及脑软化灶形成不可逆转,所以此婴预后不良。
鉴别:1、重度hie后遗改变 hie一般不会出现点索样钙化灶;
2、结脑后遗改变 结脑出现钙化的机会更多,呈斑片状,且往往在脑底部,脑质改变往往不如脑室改变(交通性脑积水)更显著
[本贴已被 影子天使 于 2006-9-26 22:28:35 修改过]
作者: zjh196425 时间: 2006-10-10 00:58
诊断:1脑发育不良,2脑炎性病变可能。3建议mri检查
注意:以脑发育不良诊断较好些,诊断先天病变,官司较小,诊断后者,恐怕要惹官司。向这样的病例诊断什么病,结果都不好。在诊断的同时,要注意保护好自己,也要保护好同行(妇产科医生)。也别把自己扯进去。
作者: sunhuimiao 时间: 2006-11-1 01:53
脑小畸形
作者: yuhongjun 时间: 2010-11-7 06:01
我觉得像是:脑炎后遗症。
| 欢迎光临 医影在线 (http://bbs.radida.com/bbs/) |
Powered by Discuz! X3.2 |