

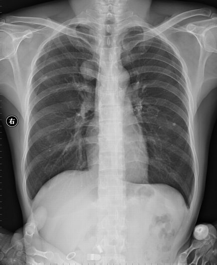
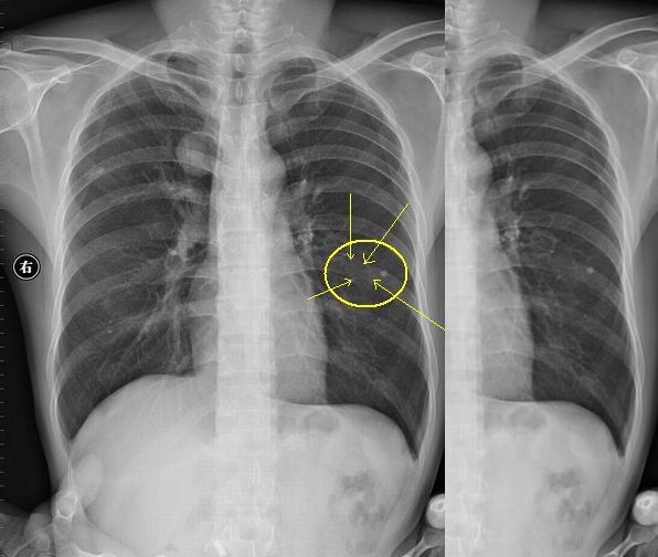
以下是引用sdqzwyx在2006-8-13 8:29:00的发言:[br][br]右上纵隔旁示类圆形密度增高影,边缘光整。[br]可以考虑:[br]1 首先排除体外异物:胸坠、衣服上的印花、口袋内圆形物件等。[br]2 肺内:若为肺内病变,肯定是良性的,肺结核球、囊肿、错构瘤等。[br]3 来源于纵隔、胸膜、或附近骨骼,病变与纵隔呈锐角,周围骨骼联系不太密切(见过一例来源于骨骼的骨软骨瘤重叠肺内),所以可能性不是太大。[br][br][本贴已被 sdqzwyx 于 2006-8-13 12:35:54 修改过]
| 欢迎光临 医影在线 (http://bbs.radida.com/bbs/) | Powered by Discuz! X3.2 |