医影在线

标题: X0954:[贴图]上消造影(有结果)请详细描述 [打印本页]

作者: geminim    时间: 2006-8-15 06:08
标题: X0954:[贴图]上消造影(有结果)请详细描述
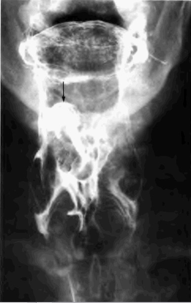
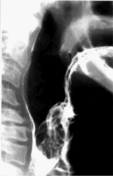
请大家详细描述,本人有些疑惑





[本贴已被 jiajie 于 2006-8-15 7:56:21 修改过]

作者: dyqct    时间: 2006-8-15 22:39
片子不错,应该是会厌癌,有条件的话做个ct
作者: liuyue    时间: 2006-8-16 13:47
同意会厌癌的诊断.
作者: 摄像头    时间: 2006-8-16 17:01
同意
作者: zhangkening    时间: 2006-8-16 17:39
同意会厌癌
作者: 清风无痕    时间: 2006-8-17 03:33
同意会厌癌ct
作者: 撒谎的肚    时间: 2006-8-17 05:24
看不懂,有没有灼伤啊??
作者: 实习医生    时间: 2006-8-17 06:47
会厌癌
作者: lvlifeng    时间: 2006-8-18 06:13
支持2楼
作者: jinguoji    时间: 2007-4-7 06:14
同意会厌癌的诊断.
作者: jinning    时间: 2007-4-8 01:35
同意会厌癌的诊断
作者: qc80012345    时间: 2007-4-8 10:56
会厌癌,点片子的时机抓得很好;正位加粘膜像就更好了。
作者: 鱼生片    时间: 2007-4-9 03:13
同意会厌癌的诊断.
作者: shibing    时间: 2013-2-2 15:12
会厌癌




欢迎光临 医影在线 (http://bbs.radida.com/bbs/) Powered by Discuz! X3.2