医影在线
标题: CT4372:[原创]右股骨下端肿瘤? [打印本页]
作者: tzw136 时间: 2006-8-16 19:08
标题: CT4372:[原创]右股骨下端肿瘤?
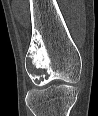
患者,女,32岁,因外伤后右膝疼痛而做ct检查.请大家讨论.有手术病检结果








[本贴已被 jiajie 于 2006-8-16 12:41:40 修改过]
作者: 向武昌 时间: 2006-8-16 21:33
考虑:软骨粘液纤维瘤.
作者: lgm660927 时间: 2006-8-16 22:27
标题: 回复:ct4372:[原创]右股骨下端肿瘤?
以下是引用向武昌在2006-8-16 13:33:00的发言:[br]考虑:软骨粘液纤维瘤.
作者: dyqct 时间: 2006-8-16 22:30
股骨下端跨越骨骺、干骺端破坏性病变,内上方见多数斑片状钙化,并可见宽窄不一房隔,边缘硬化,无明显膨胀,关节面皮质连续,软组织内无肿块及钙化影。
考虑:软骨粘液样纤维瘤可能性大。
鉴别:1、巨细胞瘤:也发生在干骺端,明显膨胀,皂泡状分隔,皮质易断裂。
2、动脉瘤样骨囊肿:明显膨胀,无钙化。
3、骨母细胞瘤:主要发生在骨骺,可钙化,一般无膨胀。
作者: tzw136 时间: 2006-8-16 22:31
补充说明:患者受伤前右膝无明显不适及疼痛.
作者: 550s 时间: 2006-8-17 00:01
首先考虑动脉瘤样骨囊肿.
图像很完美!!! ^_^
多少排的?
作者: 乡医 时间: 2006-8-17 00:33
患者,女,32岁,因外伤后右膝疼痛而做ct检查
结合临床考虑动脉瘤样骨囊肿(图象不典型,典型的是表现为吹气球样表现,有膨胀感,青少年多见)。其内部可见有环行粗大骨嵴,不排除骨巨的可能。
作者: jiangjing 时间: 2006-8-17 02:00
股骨下端跨越骨骺、干骺端破坏性病变,内上方见多数斑片状钙化或骨化,并可见宽窄不一房隔,边缘硬化,无明显膨胀,关节面皮质连续,无骨膜反应,软组织内无肿块及钙化影。
考虑:骨良性肿瘤病变----1成骨细胞瘤。2成软骨细胞瘤。3软骨粘液样纤维瘤。
作者: pj6789 时间: 2006-8-17 02:12
支持1楼
作者: 余辉 时间: 2006-8-17 02:30
股骨下端跨越骨骺、干骺端破坏性病变,内上方见多数斑片状钙化,并可见宽窄不一房隔,边缘硬化,无明显膨胀,关节面皮质连续,软组织内无肿块及钙化影。
考虑骨化性纤维瘤
鉴别1 软骨粘液样纤维瘤
: 2、巨细胞瘤
3、动脉瘤样骨囊肿
4、骨母细胞瘤
作者: chenqiong 时间: 2006-8-17 03:18
支持软骨黏液样纤维瘤;骨巨细胞瘤待排.
作者: 晓杰 时间: 2006-8-17 03:19
考虑动脉瘤样骨囊肿
作者: tzw136 时间: 2006-8-17 05:44
是西门子16层螺旋ct,大家继续猜,一周后上传病检结果.
作者: wxy7406 时间: 2006-8-17 06:16
软骨母细胞瘤。
作者: drzhang8888 时间: 2006-8-17 06:29
考虑:成骨细胞瘤或成软骨细胞瘤可能性要大。软骨粘液样纤维瘤次之。
作者: lizhjie 时间: 2006-8-17 13:26
1动脉瘤样骨囊肿,2软骨粘液纤维瘤.(破坏区密度较低)
作者: HAHA215315 时间: 2006-8-17 17:02
成软骨细胞瘤。
作者: 守望可可 时间: 2006-8-17 18:05
考虑本病例为:软骨粘液性纤维瘤。
软骨粘液性纤维瘤(chondromyxoid fibroma of bone)为一不常见的良性肿瘤。起源于形成软骨的结缔组织,易与软骨肉瘤或软骨粘液肉瘤相混淆。虽从组织形态学看,在肿瘤内既有软骨样组织,又在小圆细胞间形成的粘液样物质中存在巨核或细胞核形状奇特的细胞酷似恶性,但肿瘤的发展缓慢,表现为良性过程,临床上症状轻微,彻底术后一般不复发,更少有转移情况。
该病好发于青少年,男女无差异,80%的病例见于30岁以下,而10岁以下儿童少见。多见于下肢,尤以胫骨上端、股骨和腓骨下端常见,也有一些发生于蹠骨、跟骨、肋骨和髋骨,个别病例亦有累及脊柱。病变多位于近干骺端处。在长骨中肿瘤多呈偏心生长,并可侵袭破坏局部骨皮质。在短的管状骨,肿瘤完全占据髓腔,并引起局部膨胀改变。
临床症状轻微,主要为局部疼痛、肿胀,有些病员原无不适,可在外伤后,经摄片方发现肿瘤。
x线表现
在长骨中典型的表现系位于骨端偏心部位的圆形椭圆形透亮区,有时成分叶状,或蜂窝状。外周轮廓不规则,出现波浪状或有向中心突出的三角形骨嵴影,与正常骨分界清楚,病骨可有轻度或中度膨大,邻近的骨组织均有硬化现象,组织中亦可有斑点状钙化影。局部皮质变薄,大多无骨膜反应,附近软组织内亦无肿块阴影。小的管状骨的软骨粘液样纤维瘤,常位于髓腔中央,可侵犯骨的大部或全部。
鉴别诊断:
1.骨巨细胞瘤 位于骨端,有特征性x线征象及病理表现。
2.假性动脉瘤样骨囊肿 偏生受累,皮质骨肥皂泡样膨胀,生长迅速是其特征。两种疾病可并发。
3..软骨母细胞瘤 位于骨骺,很少见于干骺端。病变钙化和骨膜反应在软骨母细胞瘤中常见,而软组织粘液样纤维瘤少见。
4.纤维结构不良 如无病理性骨折很少产生症状,病变四周有硬化边缘,病变内常有钙化和骨化。
5.成软骨细胞瘤 病人年龄略低于软骨粘液样纤维瘤,位于骨干骺端与骺线相连。x线显示中心局限性溶骨改变,
作者: 拾荒者 时间: 2006-8-18 00:20
楼上说的精彩,支持软骨粘液样纤维瘤。
作者: piao001 时间: 2006-8-18 17:44
考虑:骨良性肿瘤病变----1成骨细胞瘤。2成软骨细胞瘤。
作者: tzw136 时间: 2006-8-18 23:59
还没人猜中,大家继续猜.
作者: 逸风 时间: 2006-8-19 03:57
标题: 回复:ct4372:[原创]右股骨下端肿瘤?
右侧股骨下段良性骨肿瘤或肿瘤样病变!
楼主说要继续猜,看来结果不在战友们的诊断之内.我猜多房性骨囊肿.
作者: whero1 时间: 2006-8-21 00:46
标题: 回复:ct4372:[原创]右股骨下端肿瘤?
以下是引用余辉在2006-8-16 18:30:00的发言:[br][br] 股骨下端跨越骨骺、干骺端破坏性病变,内上方见多数斑片状钙化,并可见宽窄不一房隔,边缘硬化,无明显膨胀,关节面皮质连续,软组织内无肿块及钙化影。 [br]考虑骨化性纤维瘤[br] 鉴别1 软骨粘液样纤维瘤[br]: 2、巨细胞瘤[br] 3、动脉瘤样骨囊肿 [br] 4、骨母细胞瘤
作者: tzw136 时间: 2006-8-22 00:09
标题: 结果
手术病理结果为“骨良性纤维组织细胞瘤”。
良性纤维组织细胞瘤:又称黄色纤维瘤或纤维黄色瘤。临床症状:主要是疼痛。发病年龄为15~60岁。部位:常在骨干或长骨的关节端,也可在骨盆和肋骨。病程长,可持续数年。
影像学表现:常发生在长骨的两端,均系成年患者。平片和ct为边缘清楚的骨质破坏,可有轻度膨胀,有硬化边缘,病变可呈中心性或偏心性生长,一般无骨膜反应和软组织肿块;mri为等t1、长t2信号。
dd:(1)软骨黏液样纤维瘤:年龄大多在10~30岁。好发于长骨干骺端偏心性膨胀性病变,肿瘤呈分叶状,内侧缘多有明显硬化,外缘骨皮质变薄,病灶内可见环行钙化。膨胀较良性纤维组织细胞瘤明显。
(2)非骨化性纤维瘤:好发于儿童和青年,单囊或多囊骨质破坏,多囊时似一串葡萄,有薄层硬化缘。
(3)骨巨细胞瘤:很少有硬化边缘。
(4)骨内腱鞘囊肿:病变较小。
我们开始也考虑软骨黏液样纤维瘤,该病例确实不典型。特别是肿瘤内侧的多量硬化容易引起误诊。但该病例可能有两点不支持软骨黏液样纤维瘤:(1)年龄偏大,软骨黏液样纤维瘤一般是10~30岁,但无特异性;(2)病变膨胀不明显。水平有限,还请高手指点。
[本贴已被 jiajie 于 2006-8-21 16:30:44 修改过]
作者: tzw136 时间: 2006-8-22 00:18
成软骨细胞瘤就是软骨母细胞瘤啊,老兄别搞混了啊.
作者: dushiguo2006 时间: 2006-8-22 03:04
软骨粘液纤维瘤.
作者: 小草迎风 时间: 2006-8-22 05:33
软粘纤
作者: drzhang8888 时间: 2006-8-22 05:35
收到谢谢!
作者: 守望可可 时间: 2006-8-22 16:38
谢谢楼主,结果收到,良性纤维组织细胞瘤的确少见,学习了。骨病真难啃。
作者: 张长存 时间: 2006-8-22 17:34
又学
作者: wm933100 时间: 2006-8-22 19:30
考虑良性软骨类肿瘤,单发内生软骨瘤可能大.
作者: wbs 时间: 2006-8-24 06:15
收到,谢谢提供结果
作者: gzzyyxw 时间: 2006-9-6 02:48
考虑:骨巨细胞瘤:理由是1 年龄符合巨细胞瘤年龄 2 部位符合巨细胞瘤好发部位 3 肿瘤与关节仅一纸之隔、骨皮质完整、巨细胞瘤其中有一型为溶骨型。
作者: kangxiaobing 时间: 2006-9-6 05:16
除良性骨肿瘤要考虑外,骨梗死也有可能
作者: swyyy2006 时间: 2006-9-9 04:55
看来都是这几种病变
作者: 如醉卧风 时间: 2006-9-9 07:09
1、软骨黏液纤维瘤。2、成软骨细胞瘤?3、软骨瘤?
作者: yuhg 时间: 2006-9-13 06:50
良性病变 骨化性纤维瘤可能
作者: hexue 时间: 2009-8-9 04:06
谢谢 学习了
| 欢迎光临 医影在线 (http://bbs.radida.com/bbs/) |
Powered by Discuz! X3.2 |