医影在线
标题: CT4386:NO请会诊此病是否为1:骨软骨炎.2:骨骺滑脱. [打印本页]
作者: zhiqiang 时间: 2006-8-18 04:12
标题: CT4386:NO请会诊此病是否为1:骨软骨炎.2:骨骺滑脱.
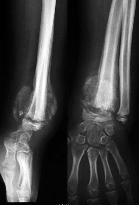
患者 男 14岁 无意中发现左碗肿胀\畸形\无疼痛\无压痛\活动正常3月余.
2006-5-29照平片图07
2006-7-12照平片图06
2006-7-18照平片图05
2006-7-18做ct图04/03/02/01







[本贴已被 jiajie 于 2006-8-17 21:01:35 修改过]
[本贴已被 翁志蓬 于 2008-1-23 23:16:22 修改过]
作者: 乡医 时间: 2006-8-18 04:25
呵呵,高难度的。得请向主任发表高见了。
作者: pj6789 时间: 2006-8-18 04:30
没见过,请高手赐教!!
作者: tzw136 时间: 2006-8-18 04:34
左桡骨干骺端骨质破坏加成骨,周围有骨膜反应及骨膜三角,并可见软组织肿块及其内的瘤骨.并累及骨骺引起骨骺骨折移位.而且进展较快.男 14岁 无意中发现左碗肿胀\\畸形\\无疼痛\\无压痛\\活动正常3月余.无外伤史.
综合考虑左桡骨干骺端骨肉瘤并骨骺骨折.建议活检.
作者: qinwei260 时间: 2006-8-18 05:02
考虑陈旧性桡骨骨骺骨折!!
作者: 拾荒者 时间: 2006-8-18 05:08
左桡骨干骺端虫蚀状骨质破坏,边缘欠清,周围软组织肿块有环状钙化,骨干侧有层状骨膜反应,骨骺向外侧移位,考虑:左桡骨干骺端软骨肉瘤并骨骺移位。
作者: helianzhi5206 时间: 2006-8-18 05:12
左桡骨干骺端骨质破坏加成骨,周围有骨膜反应及骨膜三角,并可见软组织肿块及其内的瘤骨.并累及骨骺引起骨骺骨折移位.而且进展较快.男 14岁 无意中发现左碗肿胀\\畸形\\无疼痛\\无压痛\\活动正常3月余.无外伤史.
综合考虑左桡骨干骺端骨肉瘤并骨骺骨折.建议活检.
作者: huangsg 时间: 2006-8-18 05:18
注意不能神经性关节病的可能
作者: 岩光蛋 时间: 2006-8-18 06:11
典型的恶性骨肿瘤,骨肉瘤。
作者: 逸风 时间: 2006-8-18 06:27
标题: 回复:ct4386:请会诊此病是否为1:骨软骨炎.2:骨骺滑脱.
以下是引用拾荒者在2006-8-17 21:08:00的发言:[br]左桡骨干骺端虫蚀状骨质破坏,边缘欠清,周围软组织肿块有环状钙化,骨干侧有层状骨膜反应,骨骺向外侧移位,考虑:左桡骨干骺端软骨肉瘤并骨骺移位。
作者: ssmmxx 时间: 2006-8-18 06:46
左桡骨干骺端软骨肉瘤并骨骺移位
作者: drzhang8888 时间: 2006-8-18 07:55
不考虑恶性,病感觉骨膜反映与病变同步原片骺线略宽干骺端有骨片撕脱。
拟诊:骨骺分离伴干骺端撕脱,继发退行性骨关节病伴感染。
作者: 朱磊 时间: 2006-8-18 08:11
男 14岁 无意中发现左碗肿胀\\畸形\\无疼痛\\无压痛\\活动正常3月余.无外伤史. 左桡骨干骺端骨质破坏加成骨,周围有骨膜反应及骨膜三角,并可见软组织肿块及其内的瘤骨.并累及骨骺引起骨骺骨折移位.而且进展太快.考虑左桡骨干骺端骨肉瘤并骨骺骨折.建议活检.原1:骨软骨炎.2:骨骺滑脱.不予考虑。
作者: binbin 时间: 2006-8-18 08:37
典型骨肉瘤改变
作者: binbin 时间: 2006-8-18 08:39
典型骨肉瘤改变
作者: lushijun 时间: 2006-8-18 13:46
同意11楼意见
作者: dyqct 时间: 2006-8-18 15:46
标题: 回复:ct4386:请会诊此病是否为1:骨软骨炎.2:骨骺滑脱.
以下是引用tzw136在2006-8-17 20:34:00的发言:[br]左桡骨干骺端骨质破坏加成骨,周围有骨膜反应及骨膜三角,并可见软组织肿块及其内的瘤骨.并累及骨骺引起骨骺骨折移位.而且进展较快.男 14岁 无意中发现左碗肿胀\\畸形\\无疼痛\\无压痛\\活动正常3月余.无外伤史.[br]综合考虑左桡骨干骺端骨肉瘤并骨骺骨折.建议活检.
作者: HAHA215315 时间: 2006-8-18 16:45
2个月时间病变进展迅速,骨恶性病变的可能性大。
作者: piao001 时间: 2006-8-18 17:15
考虑恶性骨肿瘤,以尤文肉瘤。
作者: phsdyx 时间: 2006-8-18 17:25
首先考虑骨骺分离伴干骺端撕脱,继发退行性骨关节病,骨恶性肿瘤不能排外
作者: lizhjie 时间: 2006-8-19 13:29
有疑点1骨肉瘤应有较明显疼痛,功能障碍,此患均无,2尺挠远端骨肉瘤几乎不发生.此患症状很象夏科关节.
作者: zhangweiqiang 时间: 2006-8-19 18:10
局部血肿后机化,钙化,在形成过程中刺激桡骨下端骨骺相对增大
作者: zwz 时间: 2006-8-19 22:25
左桡骨干骺端软骨肉瘤伴骨骺移位
作者: xhsmx 时间: 2006-8-19 22:45
第一片看似无问题,仅相隔2月即有显著骨改变,而且无明显症状,恶性骨肿瘤暂不考虑。夏科氏关节以关节面的变形及关节游离体为特征。该例应考虑1) 血友病2) 骨骺分离并软组织血肿。
作者: zhiqiang 时间: 2006-8-21 20:04
有病理几天后发给大家
作者: jiajie 时间: 2006-8-21 21:25
干骺端骨质明显破坏溶解缩短,肿块及大量瘤骨形成,骺线赠宽,周围软组织明显肿胀,骨膜反应呈层状。
考虑恶性骨肿瘤,1、骨肉瘤,2、干骺周围型尤文肉瘤。
作者: zhiqiang 时间: 2006-8-27 23:54
标题: 1

病理:左桡骨远端新生骨质及少量软骨,横纹肌组织,未见死骨及结核.
[本贴已被 jiajie 于 2006-8-27 17:39:53 修改过]
作者: wqs571018 时间: 2006-8-28 00:35
标题: 回复:ct4386:请会诊此病是否为1:骨软骨炎.2:骨骺滑脱.
以下是引用拾荒者在2006-8-17 21:08:00的发言:[br]左桡骨干骺端虫蚀状骨质破坏,边缘欠清,周围软组织肿块有环状钙化,骨干侧有层状骨膜反应,骨骺向外侧移位,考虑:左桡骨干骺端软骨肉瘤并骨骺移位。
作者: yang4132 时间: 2006-8-28 00:48
夏科氏关节。
作者: yemin92007 时间: 2006-8-28 03:32
标题: [乱弹]
同意21楼的观点!病理结果让人不知所云,可否会诊一下?请楼主将会诊病理结果通报一下?[emb5][emb5]
[本贴已被 yemin92007 于 2006-8-31 15:50:17 修改过]
作者: hurb 时间: 2006-8-28 06:01
病理:左桡骨远端新生骨质及少量软骨,横纹肌组织,未见死骨及结核.能不能请那位战友帮助分析一下,我还不清楚机理.
作者: dyqct 时间: 2006-8-28 07:06
取的组织准确吗?
作者: 天地睹狭 时间: 2006-8-28 18:55
这个病理结果说明是何病?不说我们,给临床何以指导?从何治疗?单丛影象film来说,若是我以片写诊断,我一定会考虑骨肉瘤,真的很象,骨破坏,肿瘤骨,骨膜反应及软组只肿胀,还有年青,部位,临床进展快,症状轻,如若真的病理否认的话,那真的又将\"同病异影及同影异病\"的话,来一次实例演练和证实.
作者: xhsmx 时间: 2006-8-28 19:24
究竟是何病啊?我怎么还是不明白!
作者: 晓方 时间: 2006-8-28 21:48
左桡骨干骺端虫蚀状骨质破坏,有层状骨膜反应,考虑骨软骨肉瘤并骨骺骨折。
作者: tzw136 时间: 2006-8-29 00:01
究竟是何病啊?我怎么还是不明白!请作者解释一下.
作者: drzhang8888 时间: 2006-8-29 03:57
看到这样的结果我是否可以认为我的诊断对了?不解不解?
作者: zhangyubin1977 时间: 2006-8-31 17:45
这个病理报得很艺术啊,只描写征象不下意见,呵呵,不明白阿!
作者: dushiguo2006 时间: 2006-8-31 19:30
这个病理报得很艺术啊,只描写征象不下意见,呵呵,不明白阿!
作者: 奕帆 时间: 2006-8-31 22:07
如果下次再拍片,影像诊断报告的结论应该怎么写。
总有个临床诊断吧。
本例非常值得学习和总结呀!实在应该请真正的专家进行点评一下。
难道说一个“新病”出现了不成。
作者: whero1 时间: 2006-10-1 00:39
夏科关节?
作者: klw 时间: 2006-10-1 01:37
这个病理报得很艺术啊,只描写征象不下意见,呵呵,不明白阿!
作者: cal362 时间: 2006-10-1 02:08
半路出家,没学过普放,综合来看,恶性骨肿瘤比较明确。骨肉瘤?尤文氏瘤?盼结果。
作者: hexue 时间: 2009-8-9 07:44
谢谢 学习了
| 欢迎光临 医影在线 (http://bbs.radida.com/bbs/) |
Powered by Discuz! X3.2 |