医影在线

标题: CT0563:病历讨论,胸膜间皮瘤? [打印本页]

作者: deyuanlee    时间: 2004-8-27 03:06
标题: CT0563:病历讨论,胸膜间皮瘤?



















[本贴已被 翁志蓬 于 2004-8-26 22:12:37 修改过]

作者: deyuanlee    时间: 2004-8-27 03:10
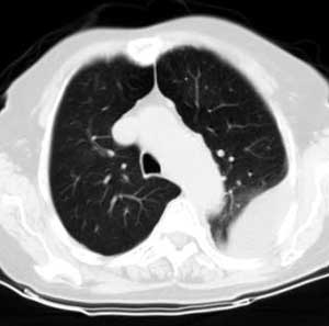
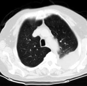
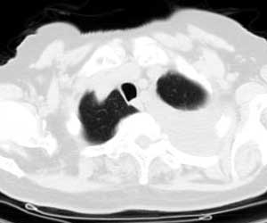
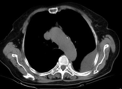
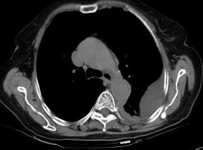
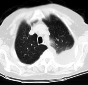
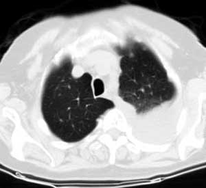
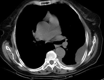
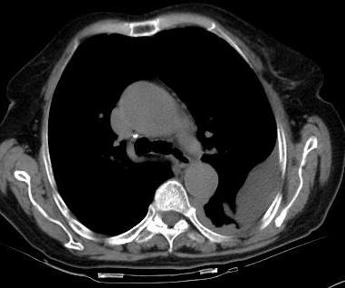
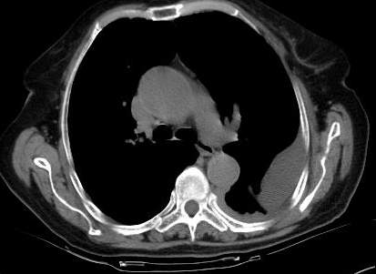
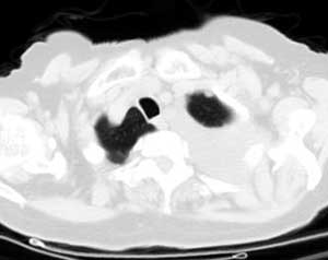
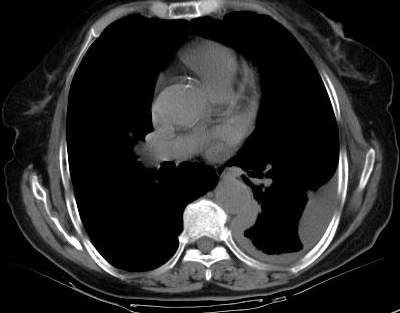
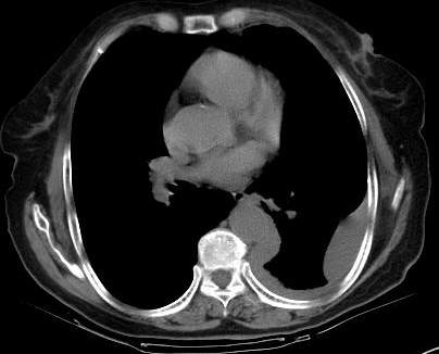
测ct值3-6hu,
作者: chongsuzhi    时间: 2004-8-27 03:21
既然ct值是3-6hu,还不如考虑包裹性积液。
作者: jiajie    时间: 2004-8-27 03:45
支持包裹性胸腔积液。
作者: 曼一拍    时间: 2004-8-27 04:05
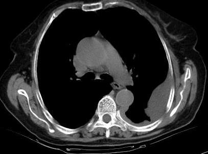
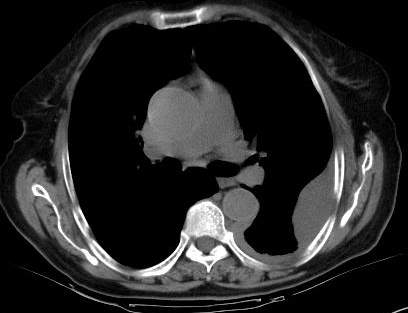
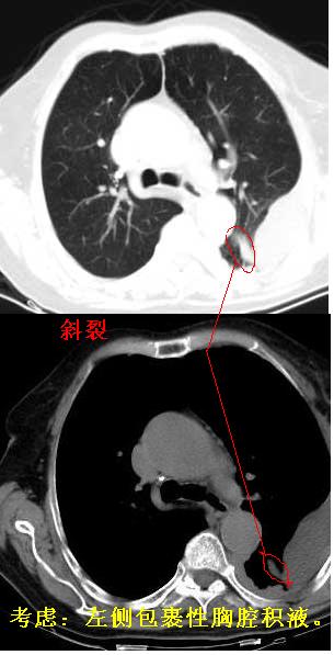
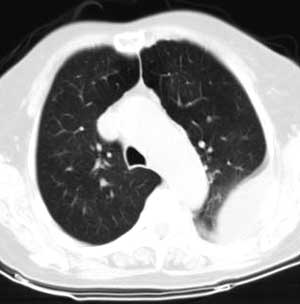
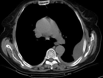
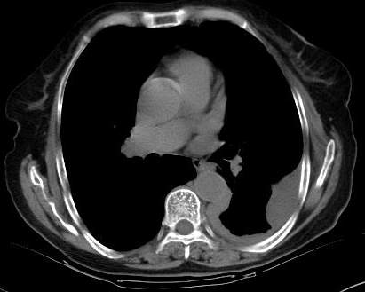
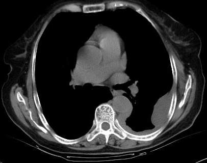
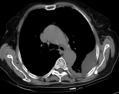
请上传纵隔窗。目前还是支技包裹性积液(明显梭形),即使是间皮瘤并积液也少梭形的。
作者: Huxuelong    时间: 2004-8-27 05:31
标题: 回复:病历讨论,胸膜间皮瘤?
以下是引用曼一拍在2004-8-26 20:05:47的发言:[br]请上传纵隔窗。目前还是支技包裹性积液(明显梭形),即使是间皮瘤并积液也少梭形的。

作者: sxdongfang    时间: 2004-8-27 05:33
标题: 回复:病历讨论,胸膜间皮瘤?(是同一个病人吧)














作者: sxdongfang    时间: 2004-8-27 05:39
从图片看,包裹性积液好象更合理,梭形,ct值3-5hu(在哪看到的?);胸膜间皮瘤如此规则,不多见。
多少给点病史吧。谢谢!
作者: long128    时间: 2004-8-27 05:44
积液
作者: 寻芳者    时间: 2004-8-27 06:45
无意见———— [从图片看,包裹性积液好象更合理,梭形,ct值3-5hu(在哪看到的?);胸膜间皮瘤如此规则,不多见。
多少给点病史吧。谢谢!  
   

sxdongfang说]
作者: 魔镜    时间: 2004-8-27 07:04
我看没人同意间皮瘤吧!
作者: 叶子    时间: 2004-8-27 08:51
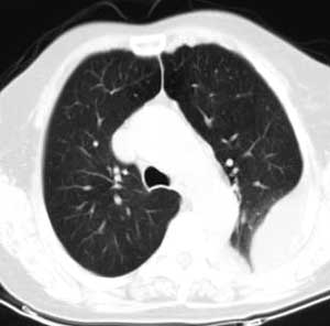
左侧背部胸膜肥厚,伴包裹性积液,不考虑间皮瘤.
作者: 吕军浩    时间: 2004-8-27 22:22
支持大多数。
作者: 3288161    时间: 2004-8-27 23:00
[emb6]胸腔积液并包裹!
作者: wchgh    时间: 2004-8-27 23:05
标题: 回复:ct563:病历讨论,胸膜间皮瘤?

作者: dandanly    时间: 2004-8-28 02:11
[emb6]
作者: 寻芳者    时间: 2004-8-28 03:38
咦咦,-----太没新意了!!!
作者: pangsj    时间: 2004-8-28 06:35
同意以上各位的高见,首先考虑包裹性积液,1.胸膜间皮瘤积液量一般较大,以游离性积液更为常见,2.可以看到增厚的胸膜结节
作者: songying    时间: 2004-8-28 07:51
首先考虑包裹性积液[emb6]
作者: njzdw    时间: 2004-8-28 07:57
胸腔包裹性积液[emb6]
作者: sqz-163    时间: 2004-8-28 15:00
这个病例讨论意义不大。
作者: liuxin007    时间: 2004-8-28 17:12
常规胸水检测
作者: 蓝色的云    时间: 2004-8-29 07:27
[emb6][em12]
作者: 至尊宝    时间: 2004-8-29 21:36
没意思,即使病检是间皮瘤,这个病例也没意思拿出来讨论!
作者: jinguoji    时间: 2007-4-23 20:46
考虑包裹性积液.
作者: 润泉    时间: 2007-4-23 22:45
支持包裹性积液。
作者: shibing    时间: 2015-5-10 10:06
积液




欢迎光临 医影在线 (http://bbs.radida.com/bbs/) Powered by Discuz! X3.2