医影在线

标题: X0965:胫腓骨片, [打印本页]

作者: kingismy    时间: 2006-8-18 21:53
标题: X0965:胫腓骨片,
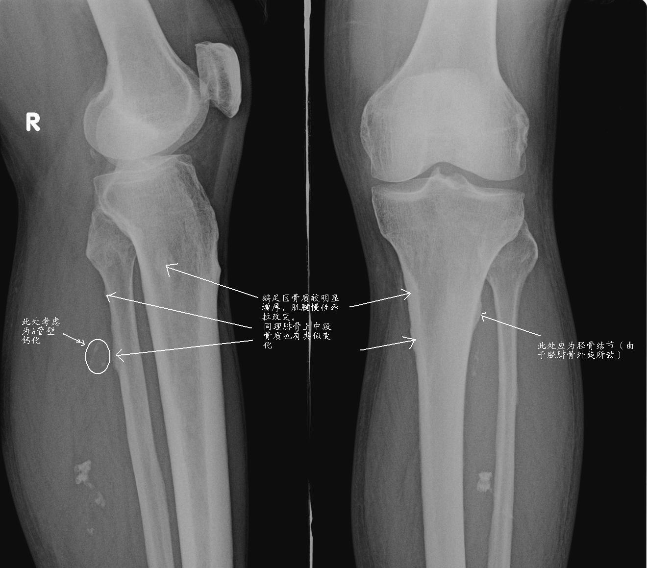
男 70y,腿部不适,前来就诊




[本贴已被 jiajie 于 2006-8-18 17:52:49 修改过]

作者: dyqct    时间: 2006-8-18 22:56
软组织内血管瘤或avm。
作者: lushijun    时间: 2006-8-19 00:21
支持2楼意见,骨关节退变。
作者: 笑笑天    时间: 2006-8-19 00:32
软组织内考虑为淋巴结钙化,因其形态不规则,斑片状.而血管钙化多呈同心圆样
作者: 西北偏北    时间: 2006-8-19 01:15
软组织内血管瘤可能,作个mr吧!
作者: jiangjing    时间: 2006-8-19 01:26
考虑小腿软组织血管瘤或avm伴胫腓骨中上段局限性骨皮质增生,右膝关节退变。
作者: yz    时间: 2006-8-19 02:21
1、右小腿软组织海绵状血管瘤。
2、右膝关节轻度退行性变。
作者: shilong    时间: 2006-8-19 03:16
软组织血管瘤,胫骨,腓骨骨瘤
作者: 喜之郎    时间: 2006-8-19 05:27
tongyi
作者: 清风无痕    时间: 2006-8-19 06:05
考虑1右膝关节退行性变。2软组织钙化。
作者: liuyue    时间: 2006-8-19 15:12
考虑小腿软组织血管瘤或avm
作者: wrj0324    时间: 2006-8-19 22:13
膝关节退行性变,左小腿软组织不规则钙化影(血管瘤?)建议进一步确诊
作者: wbs    时间: 2006-8-19 23:50
软组织内海绵状血管瘤,可以做一个下肢血管造影看看
作者: phsdyx    时间: 2006-8-20 00:56
1、软组织内钙化,多考虑血管源性,血管瘤或avm;2、右膝关节退变.
作者: chenzhong16888    时间: 2006-8-20 01:20
骨化性肌炎
作者: zhhy6410    时间: 2006-8-20 04:33
软组织血管瘤
作者: 扬仪    时间: 2006-8-20 21:12
标题: 回复:x0965:胫腓骨片,
以下是引用jiangjing在2006-8-18 17:26:00的发言:[br]考虑小腿软组织血管瘤或avm伴胫腓骨中上段局限性骨皮质增生,右膝关节退变。


作者: elity69    时间: 2006-8-20 22:00
膝关节退行性变,左小腿软组织不规则钙化影(血管瘤?)建议进一步确诊
作者: 漫步云端    时间: 2006-8-20 22:07
1、右小腿软组织海绵状血管瘤。
2、右膝关节轻度退行性变。
作者: zhangxiangjun    时间: 2006-8-21 02:03
软组织内海绵状血管瘤,可以做一个下肢血管造影或mri
作者: zhangkening    时间: 2006-8-21 03:46
软组织内血管瘤,膝关节退行性变
作者: lvlifeng    时间: 2006-8-21 05:39
支持4楼
作者: drzhang8888    时间: 2006-8-21 06:12
回复扬仪
增生处应为肌腱附着点应该是正常的。
作者: yaozhimin    时间: 2006-8-22 02:34
就是 血管钙化,稍上方可看到轨道样钙化。
作者: wansheng    时间: 2006-8-22 05:03
软组织内血管瘤,膝关节退行性变
作者: jinguoji    时间: 2006-11-17 22:54
1右膝关节退行性变。2软组织钙化。
作者: mujianbao    时间: 2012-11-2 17:25
软组织血管瘤
作者: liangjingijn    时间: 2012-11-3 14:28
右膝关节轻度退行性变。
软组织钙化




欢迎光临 医影在线 (http://bbs.radida.com/bbs/) Powered by Discuz! X3.2