医影在线
标题: CT4403:少见病例,请讨论,一直随访关注中 [打印本页]
作者: hong630104 时间: 2006-8-19 00:29
标题: CT4403:少见病例,请讨论,一直随访关注中
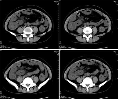
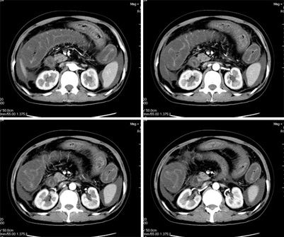
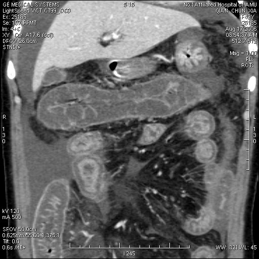
女,42岁,既往体健,近一月来无明显诱因下出现恶心呕吐,同时出现腹泻,否认有结核病,糖尿病史,入院后检查,胸片未见明显异常,ppd阴性,肝转氨酶正常,腹水检查,在漏出液与渗出液之间,胃镜慢性浅表性胃炎,盆腔b超.盆腔积液.
平扫一部分图片

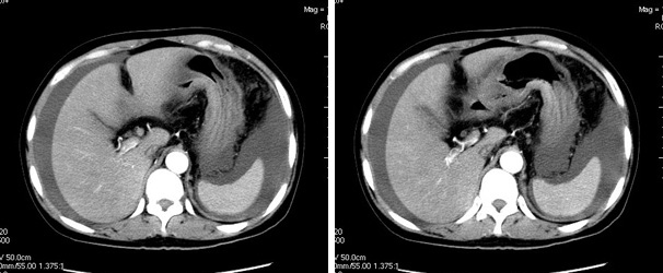
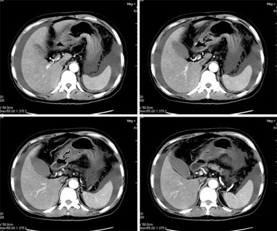
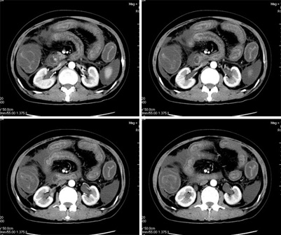
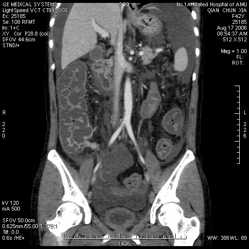
增强















[本贴已被 jiajie 于 2006-8-18 17:45:45 修改过]
作者: winter 时间: 2006-8-19 01:00
真是少见!至少本人从未见过!整个消化道除了胃壁以外整套小肠及结肠肠壁均不同程度增厚水肿,肠壁间未见积气,亦未见明显的血运障碍(肠细膜上动静脉均显示很好)。盆腹腔积液。
考虑为肠道的感染性病变,如果是结核性腹膜炎的话肠道不应该是这种表现,所以还是肠道病变优先考虑。
作者: zsj943006 时间: 2006-8-19 01:50
病人电解质查了没有?有无中毒病史及近期服药史
作者: hucl 时间: 2006-8-19 01:59
标题: 回复:ct4403:少见病例,请讨论,一直随访关注中
[quote]以下是引用winter在2006-8-18 17:00:00的发言:[br]真是少见!至少本人从未见过!整个消化道除了胃壁以外整套小肠及结肠肠壁均不同程度增厚水肿,肠壁间未见积气,亦未见明显的血运障碍(肠细膜上动静脉均显示很好)。盆腹腔积液。[br]考虑为肠道的感染性病变,如果是结核性腹膜炎的话肠道不应该是这种表现,所以还是肠道病变优先考虑。且是比较特殊内型感染。有没有寄生虫类疾病可能性。
作者: jiangjing 时间: 2006-8-19 02:42
真是少见!至少本人从未见过!整个消化道除了胃壁以外整套小肠及结肠肠壁均不同程度增厚水肿,增强明显分层[粘膜层及浆膜层明显强化,粘膜下层强化轻]。结合病史考虑肠道缺血改变[病因待查--血管炎,结缔组织疾病等]
作者: dyqct 时间: 2006-8-19 03:01
标题: 回复:ct4403:少见病例,请讨论,一直随访关注中
以下是引用jiangjing在2006-8-18 18:42:00的发言:[br]真是少见!至少本人从未见过!整个消化道除了胃壁以外整套小肠及结肠肠壁均不同程度增厚水肿,增强明显分层[粘膜层及浆膜层明显强化,粘膜下层强化轻]。结合病史考虑肠道缺血改变[病因待查--血管炎,结缔组织疾病等]
作者: 逸风 时间: 2006-8-19 03:05
好漂亮的图象!!羡慕!!!
我也没有见过!
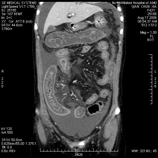
肠管全程水肿,向心性狭窄,冠状面重建显示门脉好象相对粗一些,增强扫描没有上传静脉期图象,不知道腔静脉肝段和肝静脉是否正常?是否有静脉回流异常??
期待结果~~~
作者: ILIKECT 时间: 2006-8-19 03:41
图片太漂亮了,羡慕啊
作者: caihe 时间: 2006-8-19 04:51
标题: 回复
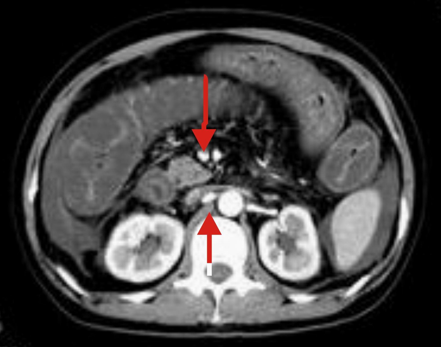
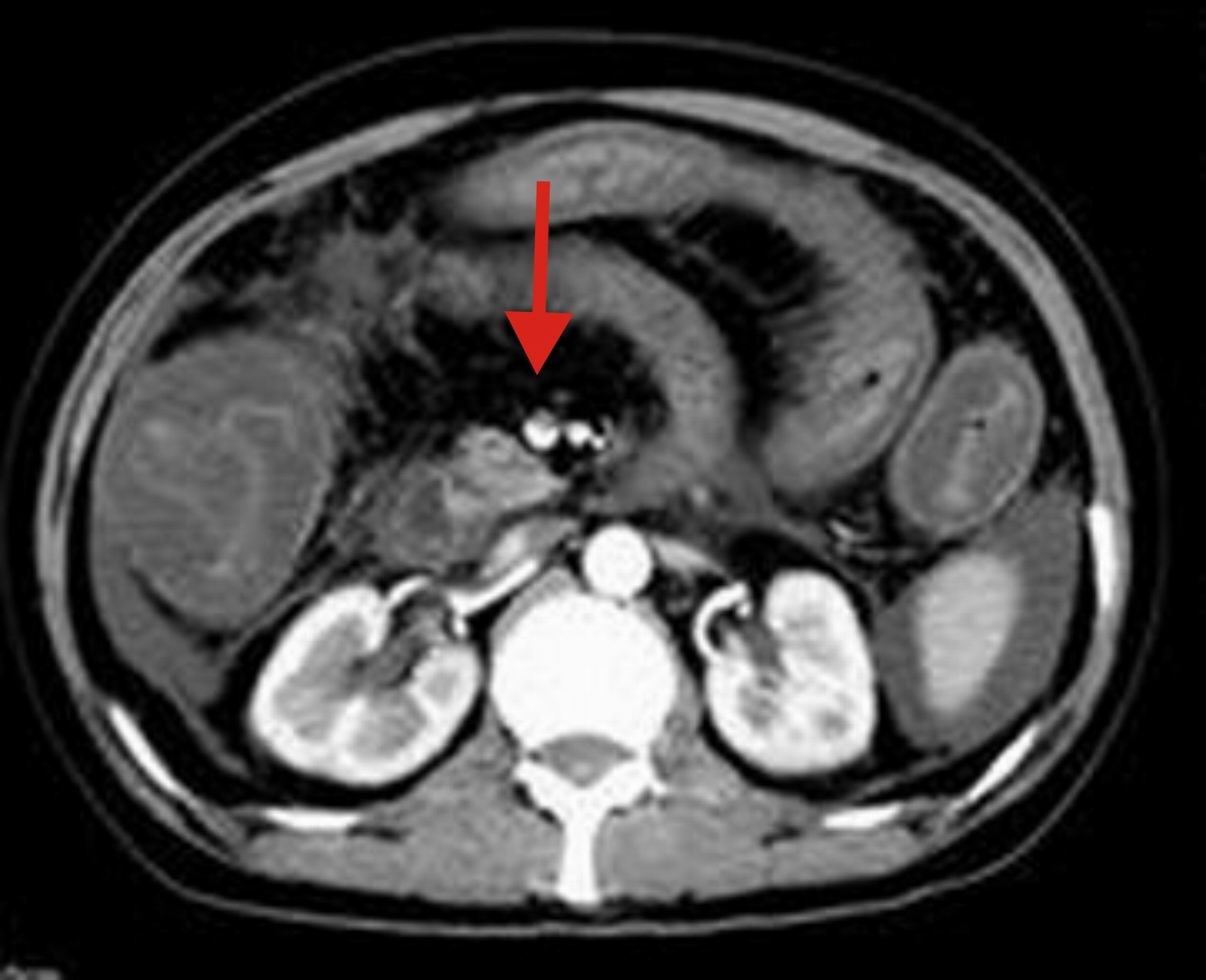
楼主上传图像很漂亮。把每幅图像放大,增强扫描,发现肠系膜上静脉管腔变形,其内见半圆形等密度影,结合病史,考虑肠系膜上静脉栓塞并肠壁间水肿,腹水。(这是首次发的话题)
今天这病例虽然公布了结果,但什么原因造成的肠道广泛性肠壁水肿还未知。今天,我特意把该病例的肠系膜上静脉的半圆形“充盈缺损”的图片做了图示,请网友们看。 在网上下载了一些资料,请大家分析。
红斑狼疮的胃肠道表现
(上海仁济医院 江尧湖)
系统性红斑狼疮(sle)是累及全身各脏器的自身免疫性疾病,临床表现多种多样,其中一部分病人可表现为胃肠道症状,如上消化道出血、便血、腹水、麻痹性肠梗阻等,这是由于胃肠道的血管炎所致,如肠系膜血管炎。肠系膜血管的动、静脉伴行,支配胃肠营养和功能,如发生病变,则所支配的部位产生相应症状,严重时累及生命,必须引起我们的重视。
肠系膜血管炎可以导致胃肠道粘膜溃疡、小肠和结肠水肿、梗阻、出血、腹水等,出现腹痛、腹胀、腹泻、便血和黑粪、麻痹性肠梗阻等临床表现。如不及时诊断、治疗,可致肠坏死、穿孔,造成严重后果。
我认为是sle所致的血管炎而形成的肠系膜上静脉吸附的“半圆形”栓子,造成肠系膜血管内的血液回流受阻或通而不畅所致肠道广泛性肠壁间水肿、腹水。



[本贴已被 caihe 于 2006-9-3 22:38:34 修改过]
作者: 拾荒者 时间: 2006-8-19 04:52
标题: [原创]回复:ct4403:少见病例,请讨论,一直随访关注中
真是少见!至少本人从未见过!整个消化道除了胃壁以外整套小肠及结肠肠壁均不同程度环形增厚,肠壁密度均匀呈“晕圈”样改变,粘膜下层低密度,粘膜层和外层为相对高密度。增强强化不明显。结合病史考虑肠道急性缺血改变。腹水。形成原因肠系膜动脉栓塞、还是静脉血栓形成看不懂。
图像太漂亮了,真羡慕!!可惜我的诊断水平差,有些东西视而不见,请高手指点。
[本贴已被 拾荒者 于 2006-8-18 20:58:00 修改过]
作者: 乡医 时间: 2006-8-19 05:06
我没见过,看不懂,请高手指点!
作者: jinguoji 时间: 2006-8-19 05:15
标题: 回复:ct4403:少见病例,请讨论,一直随访关注中
以下是引用winter在2006-8-18 17:00:00的发言:[br]真是少见!至少本人从未见过!整个消化道除了胃壁以外整套小肠及结肠肠壁均不同程度增厚水肿,肠壁间未见积气,亦未见明显的血运障碍(肠细膜上动静脉均显示很好)。盆腹腔积液。[br]考虑为肠道的感染性病变,如果是结核性腹膜炎的话肠道不应该是这种表现,所以还是肠道病变优先考虑。
作者: drzhang8888 时间: 2006-8-19 05:36
我没见过,看不懂,请高手指点。
真羡慕你的机器。
作者: 同 时间: 2006-8-19 05:38
标题: 回复:ct4403:少见病例,请讨论,一直随访关注中
以下是引用拾荒者在2006-8-18 20:52:00的发言:[br]真是少见!至少本人从未见过!整个消化道除了胃壁以外整套小肠及结肠肠壁均不同程度环形增厚,肠壁密度均匀呈“晕圈”样改变,粘膜下层低密度,粘膜层和外层为相对高密度。增强强化不明显。结合病史考虑肠道急性缺血改变。腹水。形成原因肠系膜动脉栓塞、还是静脉血栓形成看不懂。 [br]图像太漂亮了,真羡慕!!可惜我的诊断水平差,有些东西视而不见,请高手指点。[br][br][本贴已被 拾荒者 于 2006-8-18 20:58:00 修改过]
作者: ssmmxx 时间: 2006-8-19 06:34
考虑肠系膜上静脉栓塞并肠壁间水肿,腹水。
作者: lushijun 时间: 2006-8-19 14:03
同意9楼看法
作者: hong630104 时间: 2006-8-19 14:44
我们仔细看了三期增强的动静脉血管,未看见血栓的形成,因为三期的片子太多有168张,无法全部上传,在动脉期及静脉期看到下腔静脉及门静脉内密度不均匀在平衡期均显示均匀,所以不考虑血栓形成引起的回流障碍.刚才老公在电脑边走过(他是外行),发表意见说这人是不是吃了什么东西引起肠子中毒.我想了一下似乎有道理,但是是什么东西会引起这样的改变,并且从病程上来看有一个多月的病史,又不是急性发作,网上高手们给予指点,如需要更多的另两期的图片,我将上传.
作者: zhangweiqiang 时间: 2006-8-19 17:38
肠系膜上静脉栓塞,肠壁缺血水肿
作者: 蓝天1号 时间: 2006-8-19 18:04
考虑肠系膜上静脉栓塞并肠壁间水肿,腹水。
作者: c_zhen_2005 时间: 2006-8-19 18:23
肝周、脾脏周围可见腹水,盆腔可见积液;肠管壁广泛的增厚,密度减低,可见液体积聚在粘膜下层里面,首先还是考虑血管引起的。感染放在后面吧。
作者: mmg94 时间: 2006-8-19 18:59
支持肠道血管栓塞引起腹腔积液。
作者: jiajie 时间: 2006-8-19 19:15
病变以结肠粘膜充血水肿为主,未见明显狭窄、肿块,考虑结肠血吸虫病可能。
作者: xiaoniu 时间: 2006-8-19 19:28
标题: 回复:ct4403:少见病例,请讨论,一直随访关注中
真是少见!我也从未见过!整个消化道除了胃壁以外整套小肠及结肠肠壁均不同程度同心圆样增厚,肠壁密度均匀呈“晕圈”样改变,粘膜下层低密度,粘膜层和外层为相对高密度;增强强化不明显。腹腔各个间隙内液性密度积液影,结合病史考虑:肠道慢性中毒性改变(药物性中毒可能性大)。腹水形成原因?
[本贴已被 xiaoniu 于 2006-8-20 16:09:17 修改过]
作者: heyucheng01 时间: 2006-8-19 23:51
中毒了没呀,要不就是血管的问题吗,但是mpr和平扫又没有看到血管的问题,不知道怎么高了,反正我首先是考虑炎性的病变,没什么好高的,肿瘤是不考虑的
作者: 水过无痕 时间: 2006-8-20 04:44
从没看过,请高手指点。静待佳音!
作者: wbs 时间: 2006-8-20 06:05
水肿范围这么大,增强又没有看到明显的血管阻塞,应该考虑是炎性病变引起的肠壁水肿,是不是对什么东西过敏?中毒?
作者: wuyiyunwu 时间: 2006-8-20 07:49
肠管壁增厚,以升结肠、横结肠明显,肠袋变浅,cta显示肠系膜上动、静脉显影清楚,管腔未见狭窄,同时大量腹水,考虑:肠麻痹水肿?食物中毒?
作者: yuhg 时间: 2006-8-20 18:39
肠淤积考虑肠系膜静脉血栓可能.
作者: sbb 时间: 2006-8-20 19:47
请高手指点///??????????????
作者: 守望可可 时间: 2006-8-20 23:49
标题: 1
再次站在老师们的肩膀上说两句,嘿嘿。
本例ct表现是肠道的整体性充血、水肿,以结肠特别是横结肠、升结肠、盲肠为显著,横结肠一眼粗略看过去,极似极度水肿之胰腺。回肠末段亦呈明显近似结肠改变,小肠则以充血为主,水肿相对轻微。诸段肠管无明显如溃疡、出血等局部损害,重度腹水。肝脏体积变小,肝裂增宽,以肝圆韧带为明显。肝脏各部比例尚正常,无局部外突或内凹,密度均匀一致。胆囊增大,所给图片及楼主已经仔细观察过,肝段下腔静脉肠系膜静脉均正常。
首先可以排除血吸虫病。“急性血吸虫病一般见于初次大量感染1个月以后,相当于虫体成熟并大量产卵时期。大量虫卵沉积于肠壁和肝脏;同时由于虫卵毒素和组织破坏时产生的代谢产物,引起机体的过敏与中毒反应。发热是本期的主要症状,一般在38~40℃ 之间,热型以间歇热、弛张热多见,多数病人可见皮疹,并伴有腹痛、腹泻,肝脾肿大。此时大便镜检易找到虫卵。急性期一般不超过6个月,多数轻型病人可于短期内症状消退,而病情隐匿发展,如未治疗,则进入慢性期。 ”本例病史、ct表现均不支持。
从ct表现分析,病人腹泻物应该是肠道渗出液,无肠道局部损害、大量腹水,再加上临床病史应该可以排除急或慢性菌痢。
那么,是否可以考虑肝硬化失代偿期改变?我认为也可以排除。尽管有腹水、肝脏体积变小、肝裂增宽的改变,但依据肝密度均匀、比例正常、无门静脉高压、转氨酶正常、既往体健等也可以排除。正是基于此,肝硬化晚期自发性腹膜炎也可以排除。
“急性腹膜炎早期为腹膜刺激症状如(腹痛、压痛、腹肌紧张和反跳痛等)。后期由于感染和毒素吸收,主要表现为全身感染中毒症状。腹腔积液穿刺化验李凡他试验阳性,腹部ct表现可见肠腔普遍胀气并有多个小气液面等肠麻痹征象。”腹膜炎本例也可以排除。
血管炎,结缔组织疾病等会有临床其他症状发生,一般不会有本例的临床表现。再者,所给图片加上楼主已经仔细观察过,肝段下腔静脉肠系膜静脉均正常。腹主动脉也无明显异常,暂不考虑血管炎及结缔组织疾病。
急性重度药物或食物中毒也暂不考虑。临床病史已经一个多月了,如果是急性中毒较重,治疗不及时或病情太过凶险,病情会日趋严重乃至死亡。这显然也可以排除。
患者病史已经一个多月了,现在小肠以充血为主,水肿相对轻微。而大肠却以水肿为主,充血相对轻微。同时,回肠末段、盲肠、升结肠及横结肠表现明显,是不是可以这样理解:患者是某种食物或药物急性轻度中毒或慢性中毒,现在致病因素已经下行至回肠末段、盲肠、升结肠及横结肠,并将继续逐步下移。而该处肠管的表现既有毒素直接吸收、刺激所致,又有局部过敏反应所致。那么,腹腔积液将理解为肠壁渗出液堆积(不支持点:肠管外壁光整,周围无液体聚集,所以此推理可能性较小)。这样看来,在积极治疗下,病人恐怕会逐渐康复的。
这只是我良好的希望而已,具体是什么病,还希望楼主姐妹继续追踪并及时告知,在此抱拳行礼了!
[本贴已被 jiajie 于 2006-8-21 9:45:00 修改过]
作者: pj6789 时间: 2006-8-21 02:05
太少见了!期待结果.
图象真漂亮!!
作者: cxc1971101 时间: 2006-8-21 05:11
太少见了!期待结果.
图象真漂亮!!
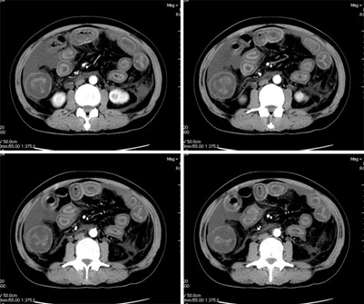
作者: hong630104 时间: 2006-9-1 23:23
标题: 回复:ct4403:少见病例,请讨论,一直随访关注中
网站的病例实在太丰富太多了,今天得到这个病例的随访结果,兴冲冲的到网上来发,怎么也找不到自已发过的这个病例,后来在会员中心查自己发的帖子才找到.
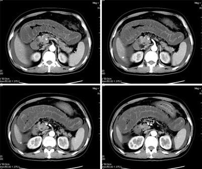
这个病例有脱发的病史,后转到风湿科,确诊为sle,经过一段时间的激素治疗,病情好转,以下是今日复查的ct





作者: 奕帆 时间: 2006-9-3 20:57
影像和最后结果只能用一个字来形容,那就是:绝。
作者: 13081830109 时间: 2006-9-4 01:31
大开眼界
作者: 天天快乐 时间: 2006-9-4 01:44
谢谢楼主,大开眼界。
作者: anbo5502 时间: 2006-9-4 04:47
标题: 回复:ct4403:少见病例,请讨论,一直随访关注中
以下是引用奕帆在2006-9-3 12:57:00的发言:[br]影像和最后结果只能用一个字来形容,那就是:绝。
作者: 守望可可 时间: 2006-9-4 06:06
系统性红斑狼疮(sle)是一种累及多系统多器官,临床表现复杂,病程迁延反复的自身免疫性疾病。 sle的临床表现无固定模式,病程迁延,反复发作,间有长短不等的缓解期,起病可为暴发性、急性或隐匿性。
其中,消化系统症状:可出现恶心、呕吐、腹痛、腹膜炎、肠系膜血管炎、肝酶增高等。
糖皮质激素治疗,能抑制炎症细胞聚集,具有抗增殖和免疫抑制作用,是最强力的抗炎剂,是治疗sle的最主要药物,是sle的基本疗法。
谢谢楼主的好病例,并向jiangjing老师致敬、学习!不管是临床还是ct表现,均是真的很绝!
作者: xhsmx 时间: 2006-9-4 17:46
无论图像还是病例讨论,真叫绝!
作者: yemin92007 时间: 2006-9-4 21:04
标题: [分享]
没见过,学习,谢谢楼主![emb2]
[本贴已被 yemin92007 于 2006-9-4 13:10:34 修改过]
作者: dushiguo2006 时间: 2006-9-4 21:33
无论图像还是病例讨论,真叫绝!
作者: 西北偏北 时间: 2006-9-5 03:13
真是少见!谢谢楼主!
作者: guandong 时间: 2006-9-5 04:19
好病例,谢谢!
作者: nhrmyy 时间: 2006-9-7 18:36
好久不上网了,今天看到楼主发的这麽好的病例,又看到各位战友精辟的讨论,我学到了很多,在此向各位问候向各位学习
作者: 乡医 时间: 2006-9-8 06:21
收到结果了,开眼了。想必楼主的病例是不少的,请多多上传供我们基层医师多多学习。谢谢了!
作者: swyyy2006 时间: 2006-9-8 20:39
真是大开眼界,绝了.
作者: ping2 时间: 2006-9-9 01:27
少见!图象也好。
作者: hexue 时间: 2009-8-9 06:22
谢谢 学习了
作者: hexue 时间: 2009-8-9 06:23
谢谢 学习了
| 欢迎光临 医影在线 (http://bbs.radida.com/bbs/) |
Powered by Discuz! X3.2 |