医影在线

标题: X0972:[求助]双髋关节片 [打印本页]

作者: 潘X    时间: 2006-8-21 19:49
标题: X0972:[求助]双髋关节片
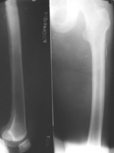
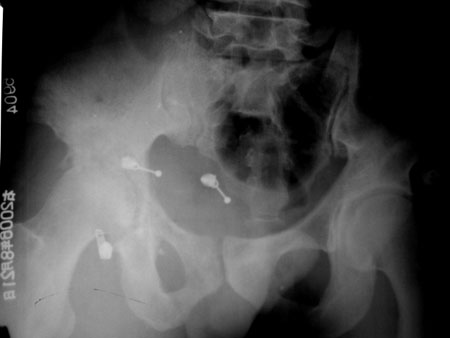
患者,男,48岁,右大腿及右膝关节功能障碍就诊,病人入院时,由家属背入,消瘦,右膝及右髋关节活动障碍,不能伸直,以下是右股骨和双髋关节平片.




[本贴已被 jiajie 于 2006-8-21 12:28:31 修改过]

作者: drzhang8888    时间: 2006-8-21 23:00
看不清呀。软组织肿胀明显,见点样死骨。
考虑结核可能吧先。
作者: dyqct    时间: 2006-8-21 23:18
右侧股骨头及髋臼相邻关节面骨质见明显破坏,边界不清,关节面皮质缘大部消失,无明显骨质增生,间隙变窄,周围软组织明显肿胀.(图像不理想)
考虑:右髋关节结核可能性大.
作者: luoshuilong    时间: 2006-8-22 00:04
看不太清楚,以前是否有外伤史,髋臼缘似可见骨质增生,不能完全排除退行性变。
作者: shilong    时间: 2006-8-22 02:42
从本片看右髋关节周缘骨质增生,本片似乎没有骨质破坏及骨疏,关节间隙变窄,病人年龄较小,与症状结合病人病程应很长,关节僵硬可能是由长期不活动发生关节纤维性强直,而且软组织内有异物,考虑应为创伤性骨关节炎,结核待排,慢性化脓性关节炎亦考虑
作者: 潘X    时间: 2006-8-22 03:27
该病人无外伤史,至于异物,没有的,那是短裤上的拉链,短裤没有完全退下来,该患者家中有结核病人,现该患者病程为一个多月左右,该患者照是强迫体位,右膝关节不能伸直,所以只有照了一个蛙式位,但不是很标准.
作者: 光线    时间: 2006-8-22 04:25
考虑结核
作者: tzw136    时间: 2006-8-22 04:38
考虑右髋关节结核.理由:
1.右髋关节邻近骨质疏讼;
2.关节间隙狭窄;
3.髋臼及股骨头的骨质破坏.
建议ct并增强.
作者: jinguoji    时间: 2006-8-22 04:42
结核可能吧
作者: 清风无痕    时间: 2006-8-22 04:45
考虑右髋关节结核。
作者: wansheng    时间: 2006-8-22 05:06
支持结核!
作者: shilong    时间: 2006-8-22 05:33
请照一个标准位看一看,关节间隙是否变窄,这对诊断结核性关节炎亦有帮助
作者: lvlifeng    时间: 2006-8-22 06:13
考虑是髋关节结核
作者: lwx1995    时间: 2006-8-22 06:13
结核可能性大.
作者: liuyue    时间: 2006-8-22 06:32
考虑右髋关节结核.
作者: jiangjing    时间: 2006-8-22 07:29
支持----右侧股骨头及髋臼相邻关节面骨质见明显破坏,边界不清,关节面皮质缘大部消失,无明显骨质增生,间隙变窄,周围软组织明显肿胀.(图像不理想)
考虑:右髋关节结核可能性大.
作者: haha215315    时间: 2006-8-22 18:33
标题: 回复:x0972:[求助]双髋关节片
以下是引用清风无痕在2006-8-21 20:45:00的发言:[br]考虑右髋关节结核。

作者: zhangkening    时间: 2006-8-23 04:57
首先考虑髋关节结核.因为髋骨呈虫噬样破坏,并且右大腿软组织内见斑点状钙化.
作者: 87204141    时间: 2006-8-23 07:29
我认为结核不怎么象..现在的这个病人病程短以骨质硬化和软组织肿胀为主.而结核一般以骨质疏松为主.我个人认为骨髓炎也是很应该考虑的.
作者: 晓方    时间: 2006-8-24 02:46
支持19楼的看法。tb应该有较长的病史 病人应该会察觉并就诊的。
作者: elity69    时间: 2006-8-24 20:17
右侧股骨头及髋臼相邻关节面骨质见明显破坏,边界不清,关节面皮质缘大部消失,无明显骨质增生,间隙变窄,周围软组织明显肿胀.(图像不理想)
考虑:右髋关节结核可能性大.
作者: 向雪松    时间: 2006-8-25 05:53
片子不太清晰
作者: zhangxiangjun    时间: 2006-8-25 07:58
考虑tb吧
~但是片子实在不好看   而且投照的也一点不标准 ~
作者: marco    时间: 2006-11-4 08:05
右髋关节结核
作者: zhw974247    时间: 2006-11-4 22:14
右侧股骨头及髋臼相邻关节面骨质见明显破坏,边界不清,关节面皮质缘大部消失,无明显骨质增生,间隙变窄,周围软组织明显肿胀.(图像不理想)结合病人家属有结核史
考虑:右髋关节结核
作者: yrjw    时间: 2007-8-14 04:12
右髋关节结核。
作者: ml2007    时间: 2007-8-14 04:20
有无外伤上史,考虑创伤性骨关节炎,
作者: 雪山飞狐    时间: 2007-8-23 05:55
标题: 回复:x0972:[求助]双髋关节片
以下是引用dyqct在2006-8-21 15:18:00的发言:[br]右侧股骨头及髋臼相邻关节面骨质见明显破坏,边界不清,关节面皮质缘大部消失,无明显骨质增生,间隙变窄,周围软组织明显肿胀.(图像不理想)[br]考虑:右髋关节结核可能性大.

作者: shibing    时间: 2013-4-29 18:04
右侧股骨头及髋臼相邻关节面骨质见明显破坏,边界不清,关节面皮质缘大部消失,无明显骨质增生,间隙变窄,周围软组织明显肿胀.(图像不理想)
考虑:右髋关节结核可能性大.




欢迎光临 医影在线 (http://bbs.radida.com/bbs/) Powered by Discuz! X3.2