医影在线
标题: X0977:下午的病人,明早要出报告,科里有人说是骨痂影。多 [打印本页]
作者: jslu503 时间: 2006-8-24 04:14
标题: X0977:下午的病人,明早要出报告,科里有人说是骨痂影。多
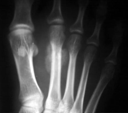
女,28岁,自觉右足局部疼痛近一月,局部肿大,皮温不高,无明确外伤史。


[本贴已被 jiajie 于 2006-8-23 20:45:16 修改过]
作者: drzhang8888 时间: 2006-8-24 04:25
多考虑第2足掌骨疲劳骨折伴修复骨枷或骨化性肌炎。
作者: renrong 时间: 2006-8-24 04:27
绝对不是骨加可能是软骨类肿瘤
作者: xiaoniu 时间: 2006-8-24 04:33
第2足掌骨行军骨折(即疲劳骨折)
作者: jiajie 时间: 2006-8-24 04:52
支持疲劳骨折。
特点:1、好发于第二跖骨骨干远端, 2、骨折后仍能行走, 3、常在骨折后2~3周后就诊, 4、骨折线多不明显,周围有小丘状骨膜新生骨。
作者: lvlifeng 时间: 2006-8-24 05:00
支持5楼
作者: 光线 时间: 2006-8-24 05:02
支持疲劳骨折!
作者: engrossing 时间: 2006-8-24 05:38
支持五楼
作者: tsxhfsk 时间: 2006-8-24 05:48
标题: 回复:x0977:下午的病人,明早要出报告,科里有人说是骨
以下是引用jiajie在2006-8-23 20:52:00的发言:[br]支持疲劳骨折。[br][br]特点:1、好发于第二跖骨骨干远端, 2、骨折后仍能行走, 3、常在骨折后2~3周后就诊, 4、骨折线多不明显,周围有小丘状骨膜新生骨。
作者: caihe 时间: 2006-8-24 06:14
标题: 回复
28岁的女性,那能走了这么多的路,认为疲劳性骨折可能极小。该病例软组织肿胀明显,结合病史考虑:皮质旁骨肉瘤或骨膜肉瘤。
[本贴已被 caihe 于 2006-8-24 23:00:29 修改过]
作者: 87204141 时间: 2006-8-24 06:27
支持
作者: 岩光蛋 时间: 2006-8-24 06:33
一定要追问病史,看有没有跟疲劳骨折有关的,。再议。
作者: 笑笑天 时间: 2006-8-24 07:11
疲劳骨折
作者: liuyue 时间: 2006-8-24 07:14
支持:结合病史考虑:皮质旁骨肉瘤或骨膜肉瘤。
作者: 晓方 时间: 2006-8-24 07:33
支持10楼
作者: lushijun 时间: 2006-8-24 14:13
支持2楼意意见!
作者: dyqct 时间: 2006-8-24 15:57
支持疲劳骨折.
作者: aiemiy 时间: 2006-8-24 16:36
考虑疲劳性骨折,请结合临床!
作者: 火中金 时间: 2006-8-24 17:45
第2跖骨中、远段交界处内、外侧均可见高密度,但未见骨质破坏,偶考虑疲劳性骨折,女性是否舞蹈爱好者?
作者: haha215315 时间: 2006-8-24 18:06
考虑骨肿瘤.
作者: guduchunmeng 时间: 2006-8-24 19:18
我也考虑为疲劳骨折。何不mri证实一下。
作者: wxl1107 时间: 2006-8-24 19:22
支持10楼。希望最终能有准确结果(比如病理)。
作者: 天边的云 时间: 2006-8-24 20:05
支持5楼
作者: 寻芳者 时间: 2006-8-24 20:44
疲劳性骨折-----------最可能!!!
作者: elity69 时间: 2006-8-24 21:27
皮质旁骨膜瘤或骨肉瘤
作者: luoshuilong 时间: 2006-8-24 23:30
足骨骨折,临床上一般都比较难愈合,有这么明显的骨痂,在我工作的八年中没见过,所以,我不赞成是疲劳性骨折,应考虑:皮质旁骨肉瘤或滑膜肉瘤。还是做个活检。
作者: OUCH2006 时间: 2006-8-24 23:46
支持28楼意见。
作者: 牟言科 时间: 2006-8-25 00:55
标题: 回复:x0977:下午的病人,明早要出报告,科里有人说是骨
以下是引用jiajie在2006-8-23 20:52:00的发言:[br]支持疲劳骨折。[br][br]特点:1、好发于第二跖骨骨干远端, 2、骨折后仍能行走, 3、常在骨折后2~3周后就诊, 4、骨折线多不明显,周围有小丘状骨膜新生骨。
支持以上的诊断:特定的好发部位,没有骨质结构的破坏,骨皮质完整,可以和肿瘤相鉴别。建议必要时行ct扫描可能发现隐秘的骨折线。
请见指骨骨折ct矢状面重建图象观察骨折细节:

[本贴已被 牟言科 于 2006-8-24 17:17:37 修改过]
作者: 潘建华 时间: 2006-8-25 01:19
不太符合疲劳骨折的征象,骨周围增高影不象骨痂,再做检查排除肿瘤。
作者: 潘建华 时间: 2006-8-25 01:22
报告缓发一下,检查明确后再发不迟。
作者: panjww 时间: 2006-8-25 01:47
个人认为,先要知道病人的职业史,然后结合病人的其他辅助检查来诊断:第2足掌骨疲劳骨折伴修复骨枷或骨化性肌炎.还是皮质旁骨肉瘤或骨膜肉瘤或者是骨髓炎等进行鉴别.
作者: panjww 时间: 2006-8-25 01:52
到时请楼主上传病理结果,谢谢!
作者: jiangjing 时间: 2006-8-25 02:48
如果考虑大量堆积的外骨痂,怎么以找不到疲劳骨折的硬化影或骨折部之骨内骨痂生长征象,当然不完全除外疲劳骨折。但应该考虑骨肿瘤可能支持caihe老师的分析
作者: 兰兰 时间: 2006-8-25 04:29
骨瘤?
作者: 向雪松 时间: 2006-8-25 05:50
考虑骨病.骨皮质稍增厚
作者: 清风无痕 时间: 2006-8-25 06:53
支持10楼的意见
作者: zhangxiangjun 时间: 2006-8-25 08:25
支持疲劳骨折。。。
作者: arm1998 时间: 2006-8-25 08:53
1.考虑骨旁骨骨肉瘤。
2。骨化性骨炎,建议做个ct,看骨化成熟程度,和骨化影与皮质的关系
作者: a13085518515 时间: 2006-8-25 19:27
支持骨肿瘤 恶性
作者: 晓方 时间: 2006-8-25 21:00
支持10楼的看法。
作者: 西北偏北 时间: 2006-8-26 02:17
支持疲劳骨折!
作者: chry3 时间: 2006-8-26 04:34
疲劳性骨折,骨膜反应,骨化性肌炎
作者: 未见异常 时间: 2006-8-26 06:01
支持疲劳骨折
作者: zhangkening 时间: 2006-8-26 19:31
可惜没拍足侧位片,我认为是软骨类恶性肿瘤,
作者: hyczy 时间: 2006-8-26 22:41
考虑皮质旁骨肉瘤或骨膜肉瘤。
作者: chenzhong16888 时间: 2006-8-26 22:51
支持5楼意见
作者: xingxiyue 时间: 2006-8-27 00:49
本人经验较少,5楼10楼说的都有理,李宁说的一切皆有可能,问病史吧,总感觉足部骨痂2-3周没这摩明显.
作者: wbs 时间: 2006-8-27 05:18
同志们说的都有道理,但结果只能有一个是正确的,询问职业.详细病史.ct检查,活检穿刺,这些工作都应该做一下.期待最后的正确结果!!!
作者: sdqzwyx 时间: 2006-8-27 06:56
第一眼的确很像疲劳骨折,但仔细观察发现:病变主要位于骨皮质周围,骨皮质、骨髓腔未见明显改变;疲劳骨折仔细观察一般骨皮质隐约可见透亮线影,透亮线周围骨质增生,形成与骨干垂直的横行致密带状影,一般较规则范围不太大;另外病史非常重要,病人年轻女性,劳累行走可能性不大;所以考虑皮质旁或软组织内病变可能性大。
作者: zjjnpcy 时间: 2006-8-27 07:25
疲劳骨折。
特点:1、好发于第二跖骨骨干远端, 2、骨折后仍能行走, 3、常在骨折后2~3周后就诊, 4、骨折线多不明显,周围有小丘状骨膜新生骨。
作者: johen699 时间: 2006-8-27 20:32
这个患者是干什么工作的?能不能详细点,有助于诊断啊!初步考虑是疲劳骨折,不排除皮质旁骨肉瘤或骨膜肉瘤。
作者: 机遇号 时间: 2006-8-29 17:51
此例改变为骨周包绕骨密度影,与骨干皮质间隐约示一透亮线影,骨皮质稍增厚。软组织未见明显肿胀。多考虑为表面骨肉瘤,又以皮质旁骨肉瘤可能性大;疲劳骨折后骨痂可能性极小。
作者: X战警 时间: 2006-8-30 21:55
支持10楼意见;
皮质旁骨肉瘤可能性大
作者: 刘明 时间: 2006-9-1 18:07
标题: 回复:x0977:下午的病人,明早要出报告,科里有人说是骨
以下是引用机遇号在2006-8-29 9:51:00的发言:[br]此例改变为骨周包绕骨密度影,与骨干皮质间隐约示一透亮线影,骨皮质稍增厚。软组织未见明显肿胀。多考虑为表面骨肉瘤,又以皮质旁骨肉瘤可能性大;疲劳骨折后骨痂可能性极小。
作者: ycj911 时间: 2006-9-2 03:33
支持疲劳骨折!
作者: 王立前 时间: 2006-9-19 22:06
皮质旁骨肉瘤或骨膜肉瘤。
作者: 朱磊 时间: 2006-9-20 02:02
支持疲劳骨折。
特点:1、好发于第二跖骨骨干远端, 2、骨折后仍能行走, 3、常在骨折后2~3周后就诊, 4、骨折线多不明显,周围有小丘状骨膜新生骨。
作者: 夏虫 时间: 2006-9-20 08:18
第2跖骨中段见骨皮质硬话,骨膜反应.外侧见稍高密度影.
建议进一步检查
作者: 遵义枫叶 时间: 2006-9-21 06:00
支持10楼,否认疲劳骨折,1、不像骨痂形态 2、软组织肿胀明显。
作者: 三人行必 时间: 2006-9-21 07:57
右足第二跖骨远段周围骨痂样密度阴影,边缘清楚,骨皮质边缘欠光滑,未见明显骨折线及硬化带,无明显软组织肿块。符合皮质旁骨肉瘤的影像学表现,该部位虽是疲劳骨折的好发部位,临床除应有明确过度活动史外,影像学应有骨折线或由内骨痂形成的硬化带。
作者: 杨正江 时间: 2006-9-21 21:09
支持五楼
作者: 李世军 时间: 2006-9-22 03:56
支持10楼,否认疲劳骨折,1、不像骨痂形态 2、软组织肿胀明显。
遵义枫叶说
作者: juwen73 时间: 2006-9-22 19:50
支持蔡医生,皮质旁骨肉瘤要考虑。
作者: sunnydxx2000 时间: 2006-9-24 06:17
28岁的女性,那能走了这么多的路,认为疲劳性骨折可能极小。该病例软组织肿胀明显,结合病史考虑:皮质旁骨肉瘤或骨膜肉瘤。
同意此诊断
作者: 逸风 时间: 2006-9-24 07:01
标题: 回复:x0977:下午的病人,明早要出报告,科里有人说是骨
以下是引用jiajie在2006-8-23 20:52:00的发言:[br]支持疲劳骨折。[br][br]特点:1、好发于第二跖骨骨干远端, 2、骨折后仍能行走, 3、常在骨折后2~3周后就诊, 4、骨折线多不明显,周围有小丘状骨膜新生骨。
作者: 遵义枫叶 时间: 2006-9-26 05:50
http://www.radida.com/radinet/read.php?tid=16089
我这例与此例有雷同之处。
请战友们关注!!!!!!!!!!!!
作者: kmt5421 时间: 2006-9-27 01:09
支持楼上兄弟的
考虑皮质旁骨肉瘤或骨膜肉瘤。
作者: 450344989 时间: 2006-9-27 02:16
支持疲劳骨折。
作者: 李士光 时间: 2006-9-28 07:35
大力支持10楼观点!!!!!到位!!!!风景不错啊!!!!!!
作者: 遵义枫叶 时间: 2006-10-23 01:50
此病例与:
http://www.radida.com/radinet/read.php?tid=16089
有点类似.希望楼主公布结果.我的这例近期公布病理结果.
作者: 一如我在 时间: 2006-10-23 02:08
标题: 回复:x0977:下午的病人,明早要出报告,科里有人说是骨
以下是引用caihe在2006-8-23 22:14:00的发言:[br]28岁的女性,那能走了这么多的路,认为疲劳性骨折可能极小。该病例软组织肿胀明显,结合病史考虑:皮质旁骨肉瘤或骨膜肉瘤。[br][br][本贴已被 caihe 于 2006-8-24 23:00:29 修改过]
作者: jinguoji 时间: 2006-11-19 00:13
不太符合疲劳骨折的征象,骨周围增高影不象骨痂,考虑骨肿瘤:皮质旁骨肉瘤或骨肉瘤.
作者: 碧水蓝天 时间: 2006-11-19 02:08
标题: 回复:x0977:下午的病人,明早要出报告,科里有人说是骨
以下是引用zjjnpcy在2006-8-26 23:25:00的发言:[br]疲劳骨折。[br][br]特点:1、好发于第二跖骨骨干远端, 2、骨折后仍能行走, 3、常在骨折后2~3周后就诊, 4、骨折线多不明显,周围有小丘状骨膜新生骨。 [br] [br] [br]
这个片子看过多次了
作者: 上饶小李 时间: 2006-11-19 04:42
支持5楼前辈
作者: ljg95 时间: 2006-11-19 22:19
支持10楼
作者: songdw67v 时间: 2006-11-20 00:53
皮质旁骨肉瘤或骨膜肉瘤。骨折可能小。
作者: 遵义枫叶 时间: 2006-11-20 03:31
此例毫无疑问同:;
http://www.radida.com/radinet/read.php?tid=16089类似
骨纤维异常增殖症
作者: 忧郁王子 时间: 2006-11-30 19:24
我觉得现在疲劳性骨折小,现在不像以前那样艰苦吧,我认为是软骨瘤,皮质膀肿瘤。
作者: 下雨 时间: 2009-1-4 03:06
考虑骨肿瘤
作者: pzj 时间: 2009-1-4 04:15
第2足掌骨行军骨折(即疲劳骨折)
作者: 战神金刚 时间: 2009-1-4 16:06
支持疲劳骨折
作者: xiazhuzhu 时间: 2009-1-4 17:59
标题: 回复:x0977:下午的病人,明早要出报告,科里有人说是骨
以下是引用xiaoniu在2006-8-23 20:33:00的发言:[br]第2足掌骨行军骨折(即疲劳骨折)
作者: zyyzzy 时间: 2009-1-5 08:11
感觉骨髓腔硬化的厉害呀,而且软组织肿胀明显,考虑皮质旁骨肉瘤或骨膜肉瘤。建议mri检查。期待
结果
作者: 吴医师 时间: 2009-12-31 19:48
考虑皮质旁骨肉瘤或骨膜肉瘤。
| 欢迎光临 医影在线 (http://bbs.radida.com/bbs/) |
Powered by Discuz! X3.2 |