医影在线

标题: 3D后处理中组织分割及MMPR图像 [打印本页]

作者: maggiehe    时间: 2006-8-25 22:15
标题: 3D后处理中组织分割及MMPR图像
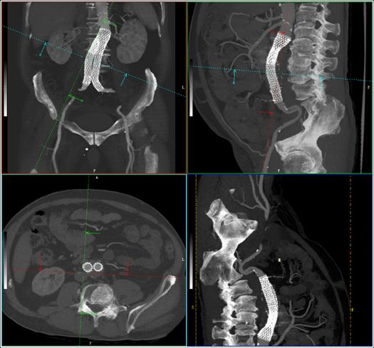
西安盈谷科技accuradpro 3d高级图像处理系统的增强功能,体数据下的组织分割功能,用于感兴趣区域血管自动/半自动交互提取。
多斜位mpr是完全基于容积数据处理(volume data processing,简称vdp)的处理方式,医生可以对容积扫描的数据在完整的体数据下,按照任意厚度、任意角度和任意曲面下,做平均值、最大/最小密度、容积重建、积分图像处理。
pc运行,国内自主研发的软件.重建速度500层一秒.
请各路前辈指教.

作者: 张耀森    时间: 2006-8-28 07:26
很不错的软件,值得推广,谢谢。




欢迎光临 医影在线 (http://bbs.radida.com/bbs/) Powered by Discuz! X3.2